ISO 9001:2015 Certified
Live Customer Support
4.5/5 on Trustpilot
100% Quality Guarantee

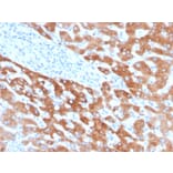
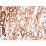
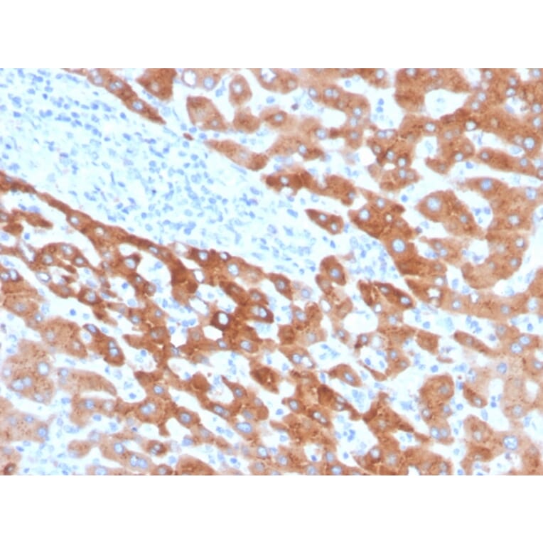
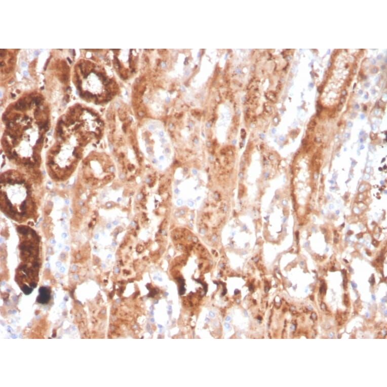
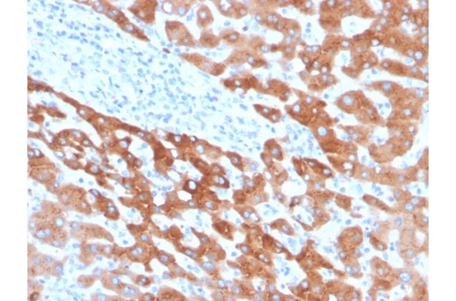
Anti-RBP4 Antibody [RBP4/4041] - BSA and Azide free (A253026)

Mouse monoclonal [RBP4/4041] antibody to RBP4 for IHC-P.

Alternative Formats and ConjugatesAlternative Formats

Shipping Information

$40
Dispatched from St. Louis, MO.
Lead Time: 5-8 business days.
Name
Anti-RBP4 Antibody [RBP4/4041] - BSA and Azide free
Description
Mouse monoclonal [RBP4/4041] antibody to RBP4.
Specificity
Retinol (Vitamin A) is transported in the blood bound to its carrier protein, retinol-binding protein (RBP), also designated plasma retinol-binding protein (PRBP) or RBP4. A member of the lipocalin family, RBP conveys retinol from stores in the liver to peripheral tissues. In plasma, RBP binds transthyretin (TTR, formerly called prealbumin) to prevent glomerular filtration of low molecular weight RBP in the kidneys. The stability of this complex holds diagnostic importance because the molar ratio of RBP:TTR provides an indirect way to indicate marginal Vitamin A deficiency. Vitamin A deficiency blocks the secretion of RBP, resulting in defective delivery and supply to epidermal cells. Originally identified solely as a transporter protein, recent studies correlating increased levels of RBP expression in adipose tissue with Insulin resistance have generated research into the possible roles the protein may play in the pathogenesis of type 2 diabetes and obesity.
Applications
IHC-P
Dilutions
IHC-P: 1-2 µg/ml
Reactivity
Human
Immunogen
Recombinant fragment, around amino acids 29-148, of human RBP4 protein. The exact sequence is proprietary.
Host
Mouse
Clonality
Monoclonal
Clone ID
RBP4/4041
Isotype
IgG2b
Light Chains
kappa
Conjugate

Unconjugated

Purification
Protein A/G chromatography.
Concentration
1 mg/ml
Molecular Weight
25 kDa
Product Form
Liquid
Formulation
Supplied in 10mM Phosphate Buffered Saline; without Sodium Azide and carrier free.
Storage
Shipped at 4°C. Upon delivery aliquot and store at -20°C. Avoid freeze / thaw cycles.
General Notes
This monoclonal antibody is also available in a different formulation with BSA and Sodium Azide - Anti-RBP4 Antibody [RBP4/4041] (A249846).
Synonyms
Plasma retinol-binding protein, PRBP, RBP, Retinol-binding protein 4
Disclaimer
This product is for research use only. It is not intended for diagnostic or therapeutic use.
Publishing research using Anti-RBP4 Antibody [RBP4/4041] - BSA and Azide free (A253026)? Please let us know so that we can list the citation on this page.

Alternative products to Anti-RBP4 Antibody [RBP4/4041] - BSA and Azide free (A253026)

Proteins predicted to interact with RBP4

Predicted protein interactions based upon String database. Revelancy score correlates with probability of interaction.
99.9% Relevancy Score
99.8% Relevancy Score
91% Relevancy Score
81.4% Relevancy Score
79.9% Relevancy Score
79.7% Relevancy Score
78.5% Relevancy Score
77.5% Relevancy Score
76.3% Relevancy Score