Primary Antibodies
Secondary Antibodies
Proteins & Peptides
ELISA Kits
About Us
Contact Us
Sign In/Register
0
ISO 9001:2015 Certified
Live Customer Support
4.5/5 on Trustpilot
100% Quality Guarantee
Home
Primary Antibodies
RBPJ Antibodies
Anti-RBPJ Antibody (A38552)
Anti-RBPJ Antibody (A38552)
Overview
Specifications
Images
Enlarge Image
Enlarge Image
Enlarge Image
$415
Product Datasheet
Rabbit polyclonal antibody to RBPJ for WB and IHC.
100% Guarantee
Price Match Guarantee
Product Size:
50µl
100µl
Quantity:
1
2
3
4
5
6
7
8
9
10
Add To Cart
Request a Quotation
Custom or Bulk Request
Shipping Information
Freight/Packing Charges:
$40
Dispatched from St. Louis, MO.
Lead Time: 6-9 business days.
Tags:
Dendritic Cell Marker
Specifications
Name
Anti-RBPJ Antibody
Description
Rabbit polyclonal antibody to RBPJ
Specificity
The antibody detects endogenous level of total RBPJ protein.
Applications
WB
,
IHC
Reactivity
Human, Mouse, Rat
Immunogen
Recombinant protein of human RBPJ.
Host
Rabbit
Clonality
Polyclonal
Conjugate
Unconjugated
Purification
Antibodies were purified by affinity purification using immunogen.
Concentration
1.0 mg/mL
Formulation
Supplied in phosphate-buffered saline (without Mg²? and Ca²?), pH 7.4, containing 150 mM NaCl, 0.02% sodium azide, and 50% glycerol.
Storage
Shipped at 4°C. Upon delivery aliquot and store at -20°C. Avoid freeze/thaw cycles.
Synonyms
CBF-1, IGKJRB, IGKJRB1, J kappa-recombination signal-binding protein, RBP-J, RBP-J kappa, RBP-JK, RBPJK, RBPSUH, Recombining binding protein suppressor of hairless, Renal carcinoma antigen NY-REN-30
Suitable Secondaries
Goat Anti-Rabbit IgG H&L Antibody (AP) (A294874)
Goat Anti-Rabbit IgG H&L Antibody (Biotin) (A294795)
Goat Anti-Rabbit IgG H&L Antibody (FITC) (A294887)
Goat Anti-Rabbit IgG H&L Antibody (HRP) (A294888)
See all Anti-Rabbit IgG Secondaries →
Disclaimer
This product is for research use only. It is not intended for diagnostic or therapeutic use.
Scientific Validation Data
Validation Data
(3)
Enlarge Image
Anti-RBPJ Antibody (A38552)
Western blot analysis of extracts of mouse lung, using RBPJ antibody.
Enlarge Image
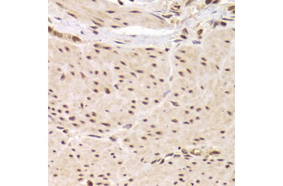
Immunohistochemistry - Anti-RBPJ Antibody (A38552)
Immunohistochemistry of paraffin-embedded Human gastric using RBPJ antibody at dilution of 1: 100 (x400 lens).
Enlarge Image
Immunohistochemistry - Anti-RBPJ Antibody (A38552)
Immunohistochemistry of paraffin-embedded Human gastric cancer using RBPJ antibody at dilution of 1: 100 (x400 lens).
Publishing research using Anti-RBPJ Antibody (A38552)? Please
let us know
so that we can list the citation on this page.
Alternative products to Anti-RBPJ Antibody (A38552)
(3)
A305486
Anti-RBPJK Antibody [ARC0894]
Rabbit monoclonal [ARC0894] antibody to RBPJK for WB and IHC.
(3)
A14898
Anti-RBPJK Antibody
Rabbit polyclonal antibody to RBPJK for WB and IHC.
A30857
Anti-RBPJ Antibody
Rabbit polyclonal antibody to RBPJ for WB and IHC.
(3)
A305486
Anti-RBPJK Antibody [ARC0894]
Rabbit monoclonal [ARC0894] antibody to RBPJK for WB and IHC.
(3)
A14898
Anti-RBPJK Antibody
Rabbit polyclonal antibody to RBPJK for WB and IHC.
A30857
Anti-RBPJ Antibody
Rabbit polyclonal antibody to RBPJ for WB and IHC.
Proteins predicted to interact with RBPJ
Predicted protein interactions based upon String database. Revelancy score correlates with probability of interaction.
MAML3 Antibodies
99.9% Relevancy Score
MAML1 Antibodies
99.9% Relevancy Score
MAML2 Antibodies
99.9% Relevancy Score
Notch1 Antibodies
99.9% Relevancy Score
NCOR2 Antibodies
99.8% Relevancy Score
Notch2 Antibodies
99.8% Relevancy Score
Notch3 Antibodies
99.8% Relevancy Score
PCAF Antibodies
99.2% Relevancy Score
Notch4 Antibodies
98.8% Relevancy Score
Top