ISO 9001:2015 Certified
Live Customer Support
4.5/5 on Trustpilot
100% Quality Guarantee

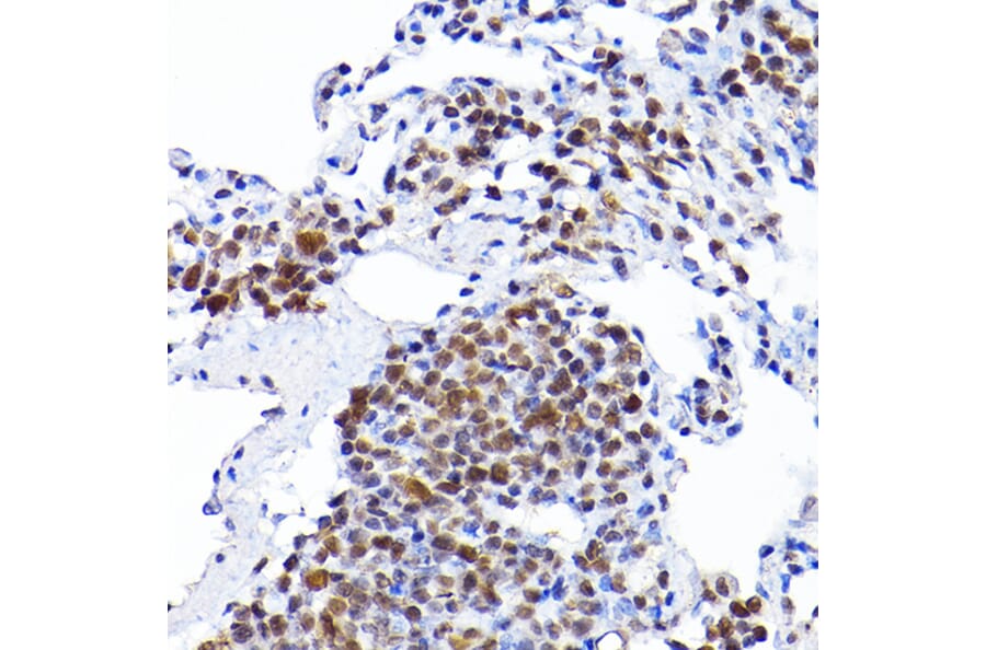
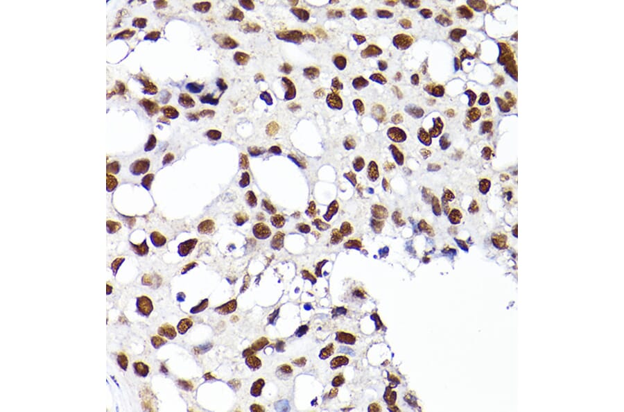
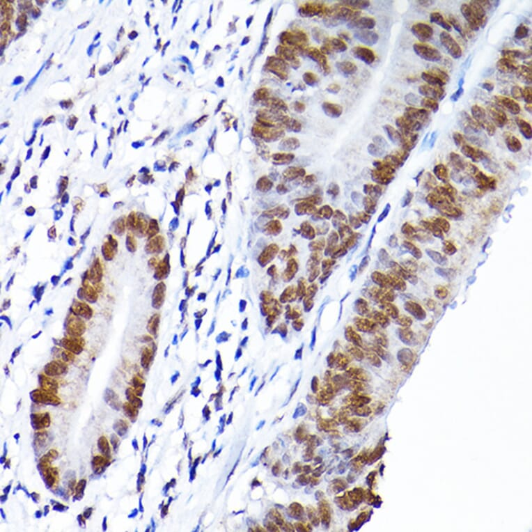
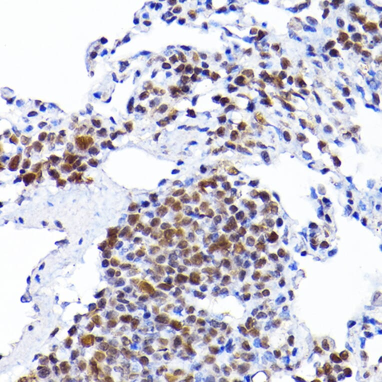
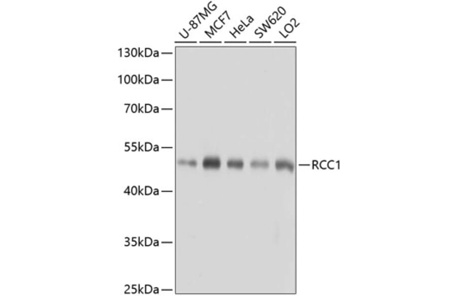
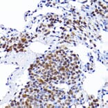
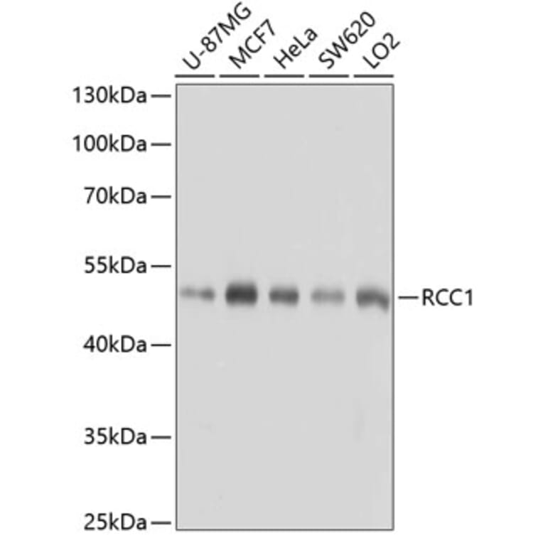
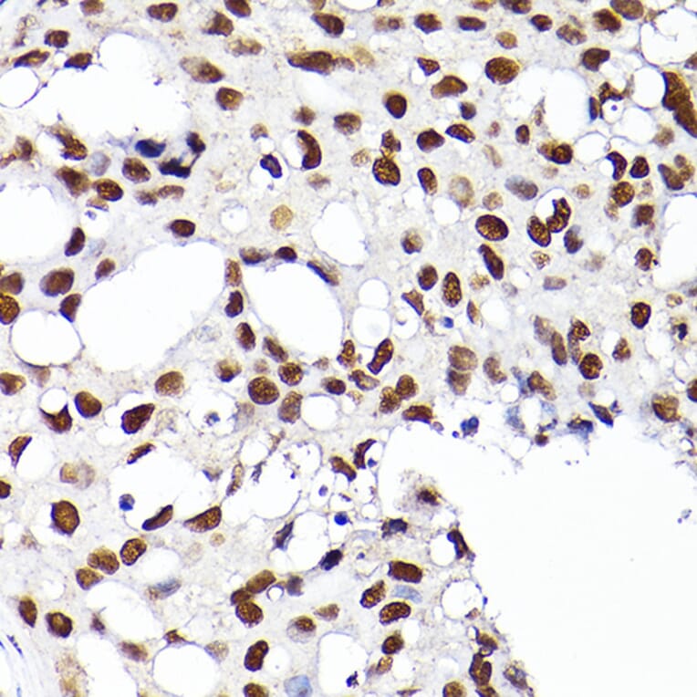
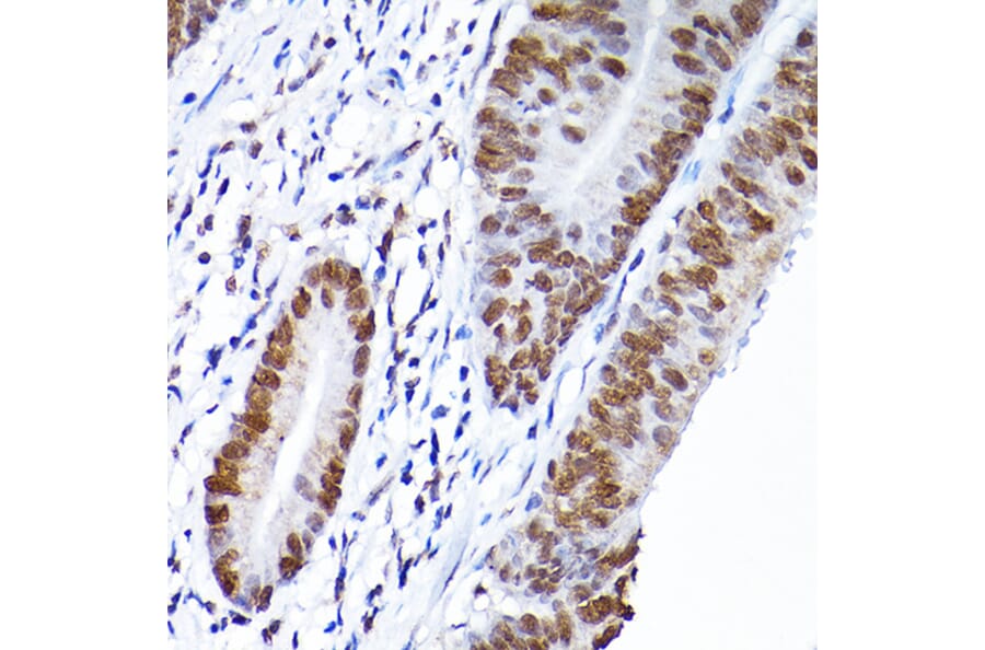
Anti-RCC1 Antibody (A15185)

Rabbit polyclonal antibody to RCC1 for WB, IHC and ICC/IF.

Shipping Information

$40
Dispatched from St. Louis, MO.
Lead Time: 7-10 business days.
Name
Anti-RCC1 Antibody
Description
Rabbit polyclonal antibody to RCC1.
Applications
WB, IHC, ICC/IF
Dilutions
WB: 1:1,000-1:2,000, IHC: 1:50-1:200, ICC/IF: 1:50-1:200
Reactivity
Human, Mouse, Rat
Immunogen
Recombinant fusion protein containing a sequence corresponding to amino acids 1-240 of human RCC1 (NP_001260.1).
Sequence
MSPKRIAKRRSPPADAIPKSKKVKVSHRSHSTEPGLVLTLGQGDVGQLGLGENVMERKKPALVSIPEDVVQAEAGGMHTVCLSKSGQVYSFGCNDEGALGRDTSVEGSEMVPGKVELQEKVVQVSAGDSHTAALTDDGRVFLWGSFRDNNGVIGLLEPMKKSMVPVQVQLDVPVVKVASGNDHLVMLTADGDLYTLGCGEQGQLGRVPELFANRGGRQGLERLLVPKCVMLKSRGSRGHV
Host
Rabbit
Clonality
Polyclonal
Isotype
IgG
Conjugate

Unconjugated

Purification
Affinity purification.
Concentration
Lot Specific
Molecular Weight
45 kDa
Product Form
Liquid
Formulation
Supplied in Phosphate Buffered Saline, pH 7.3, with 50% Glycerol and 0.02% Sodium Azide.
Storage
Shipped at 4°C. Upon delivery aliquot and store at -20°C. Avoid freeze/thaw cycles.
Synonyms
Cell cycle regulatory protein, CHC1, Chromosome condensation protein 1, Regulator of chromosome condensation
Disclaimer
This product is for research use only. It is not intended for diagnostic or therapeutic use.
Publishing research using Anti-RCC1 Antibody (A15185)? Please let us know so that we can list the citation on this page.

Alternative products to Anti-RCC1 Antibody (A15185)

Proteins predicted to interact with RCC1

Predicted protein interactions based upon String database. Revelancy score correlates with probability of interaction.
99.9% Relevancy Score
99.3% Relevancy Score
99.3% Relevancy Score
98.9% Relevancy Score
97.8% Relevancy Score
97.7% Relevancy Score
97.6% Relevancy Score
93.6% Relevancy Score
92.8% Relevancy Score