ISO 9001:2015 Certified
Live Customer Support
4.5/5 on Trustpilot
100% Quality Guarantee

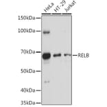
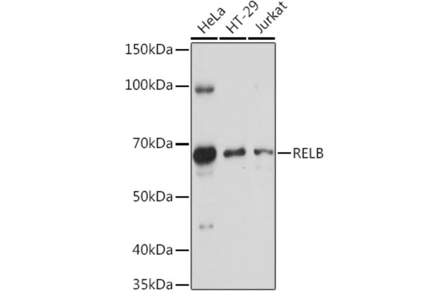
Anti-Rel B Antibody (A11158)

Rabbit polyclonal antibody to Rel B for WB.

Shipping Information

$40
Dispatched from St. Louis, MO.
Lead Time: 7-10 business days.
Name
Anti-Rel B Antibody
Description
Rabbit polyclonal antibody to Rel B.
Applications
WB
Dilutions
WB: 1:500-1:1,000
Reactivity
Human, Mouse
Immunogen
Recombinant fusion protein containing a sequence corresponding to amino acids 120-400 of human RELB (NP_006500.2).
Sequence
GPGPQPHLVITEQPKQRGMRFRYECEGRSAGSILGESSTEASKTLPAIELRDCGGLREVEVTACLVWKDWPHRVHPHSLVGKDCTDGICRVRLRPHVSPRHSFNNLGIQCVRKKEIEAAIERKIQLGIDPYNAGSLKNHQEVDMNVVRICFQASYRDQQGQMRRMDPVLSEPVYDKKSTNTSELRICRINKESGPCTGGEELYLLCDKVQKEDISVVFSRASWEGRADFSQADVHRQIAIVFKTPPYEDLEIVEPVTVNVFLQRLTDGVCSEPLPFTYLPR
Host
Rabbit
Clonality
Polyclonal
Isotype
IgG
Conjugate

Unconjugated

Purification
Affinity purification.
Concentration
Lot Specific
Molecular Weight
70 kDa
Product Form
Liquid
Formulation
Supplied in Phosphate Buffered Saline, pH 7.3, with 50% Glycerol and 0.01% Thiomersal.
Storage
Shipped at 4°C. Upon delivery aliquot and store at -20°C. Avoid freeze/thaw cycles.
Synonyms
I REL, I-Rel, IREL, Nuclear factor of kappa light polypeptide gene enhancer in B cells 3, relB, RELB_HUMAN, Reticuloendotheliosis viral oncogene homolog B, Transcription factor Rel B, Transcription factor RelB, v rel avian reticuloendotheliosis viral oncogene homolog B, v rel reticuloendotheliosis viral oncogene homolog B
Disclaimer
This product is for research use only. It is not intended for diagnostic or therapeutic use.
Publishing research using Anti-Rel B Antibody (A11158)? Please let us know so that we can list the citation on this page.

Alternative products to Anti-Rel B Antibody (A11158)