ISO 9001:2015 Certified
Live Customer Support
4.5/5 on Trustpilot
100% Quality Guarantee

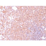
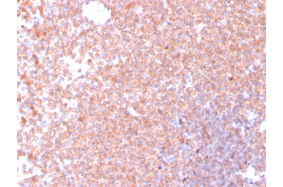
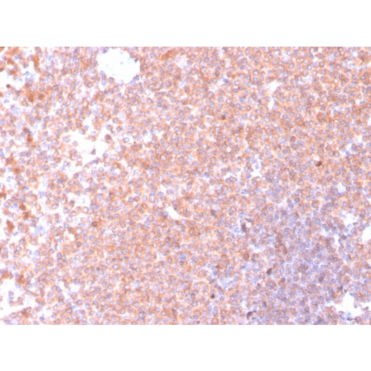
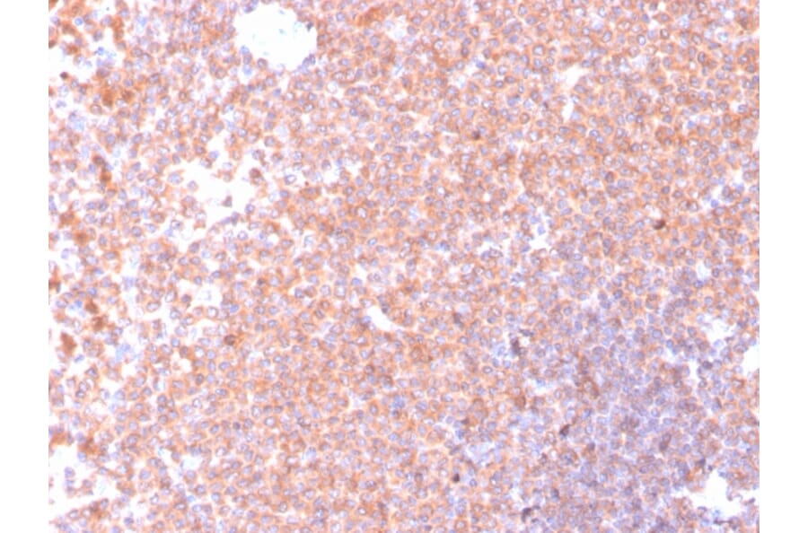
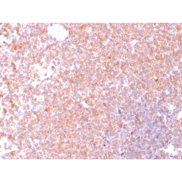
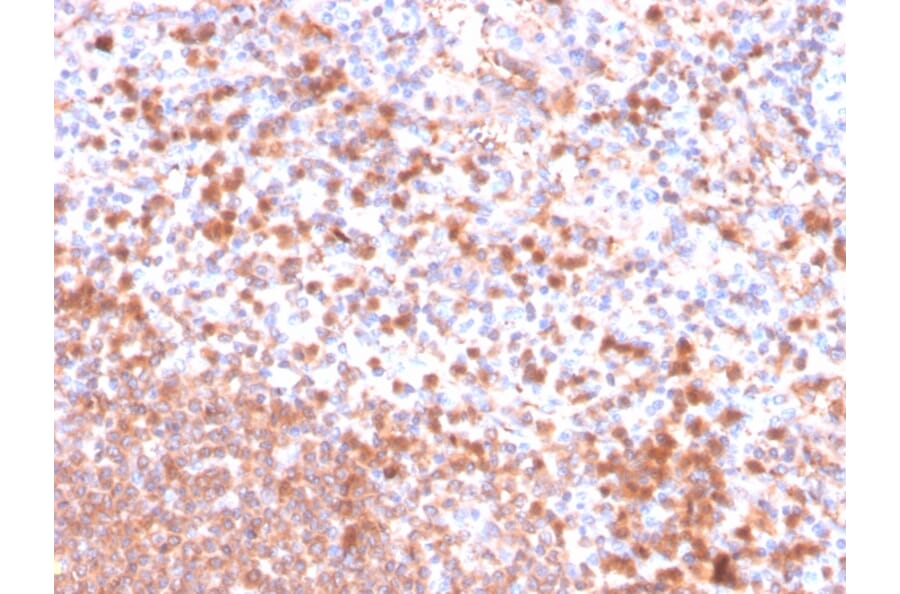
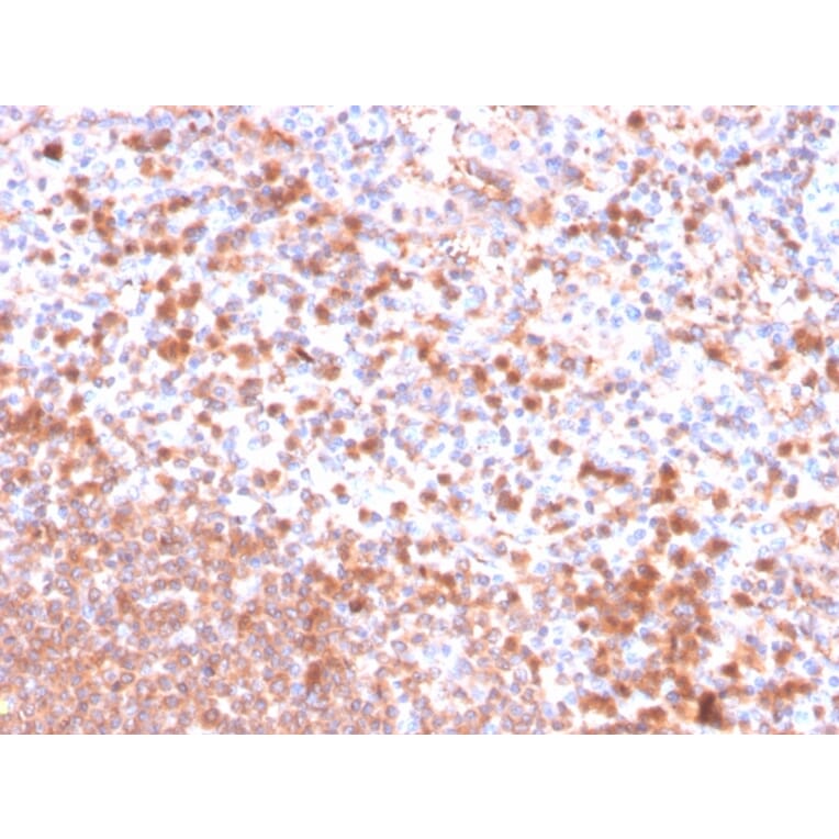
Anti-Resistin Antibody [RETN/4326] (A249745)

Mouse monoclonal [RETN/4326] antibody to Resistin for WB and IHC-P.

Alternative Formats and ConjugatesAlternative Formats

Shipping Information

$40
Dispatched from St. Louis, MO.
Lead Time: 5-8 business days.
Name
Anti-Resistin Antibody [RETN/4326]
Description
Mouse monoclonal [RETN/4326] antibody to Resistin.
Specificity
The cysteine-rich, adipose tissue-specific, secretory factor resistin (resistance to Insulin) also known as ADSF, is a secreted hormone that potentially links obesity to diabetes. Resistin is rich in serine and cysteine residues and contains a unique cysteine repeat motif. Resistin and the resistin-like molecules share the characteristic cysteine composition and other signature features. Resistin-like expression is highest in proliferative epithelial cells and is markedly increased in tumors, suggesting a role in intestinal proliferation.
Applications
WB, IHC-P
Dilutions
WB: 2-4 µg/ml, IHC-P: 1-2 µg/ml
Reactivity
Human
Immunogen
Recombinant fragment, around amino acids 19-108, of human RETN protein. The exact sequence is proprietary.
Host
Mouse
Clonality
Monoclonal
Clone ID
RETN/4326
Isotype
IgG2b
Light Chains
kappa
Conjugate

Unconjugated

Purification
Protein A/G chromatography.
Concentration
200 µg/ml
Molecular Weight
13 kDa
Product Form
Liquid
Formulation
Supplied in 10mM Phosphate Buffered Saline with 0.05% BSA and 0.05% Sodium Azide.
Storage
Shipped at 4°C. Upon delivery aliquot and store at -20°C. Avoid freeze / thaw cycles.
General Notes
This monoclonal antibody is also available in a different formulation without BSA and Sodium Azide - Anti-Resistin Antibody [RETN/4326] - BSA and Azide free (A252925).
Synonyms
Adipose tissue-specific secretory factor, ADSF, C/EBP-epsilon-regulated myeloid-specific secreted cysteine-rich protein, Cysteine-rich secreted protein A12-alpha-like 2, Cysteine-rich secreted protein FIZZ3, FIZZ3, HXCP1, RETN, RSTN
Disclaimer
This product is for research use only. It is not intended for diagnostic or therapeutic use.
Publishing research using Anti-Resistin Antibody [RETN/4326] (A249745)? Please let us know so that we can list the citation on this page.

Alternative products to Anti-Resistin Antibody [RETN/4326] (A249745)

Proteins predicted to interact with Resistin

Predicted protein interactions based upon String database. Revelancy score correlates with probability of interaction.
99.3% Relevancy Score
96.7% Relevancy Score
96.3% Relevancy Score
93.2% Relevancy Score
91.6% Relevancy Score
90.5% Relevancy Score
88.7% Relevancy Score
88.6% Relevancy Score
86.9% Relevancy Score