ISO 9001:2015 Certified
Live Customer Support
4.5/5 on Trustpilot
100% Quality Guarantee

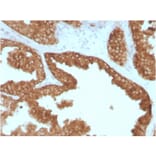
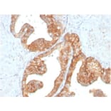
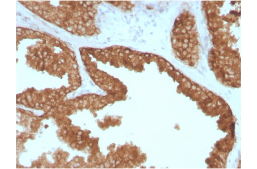
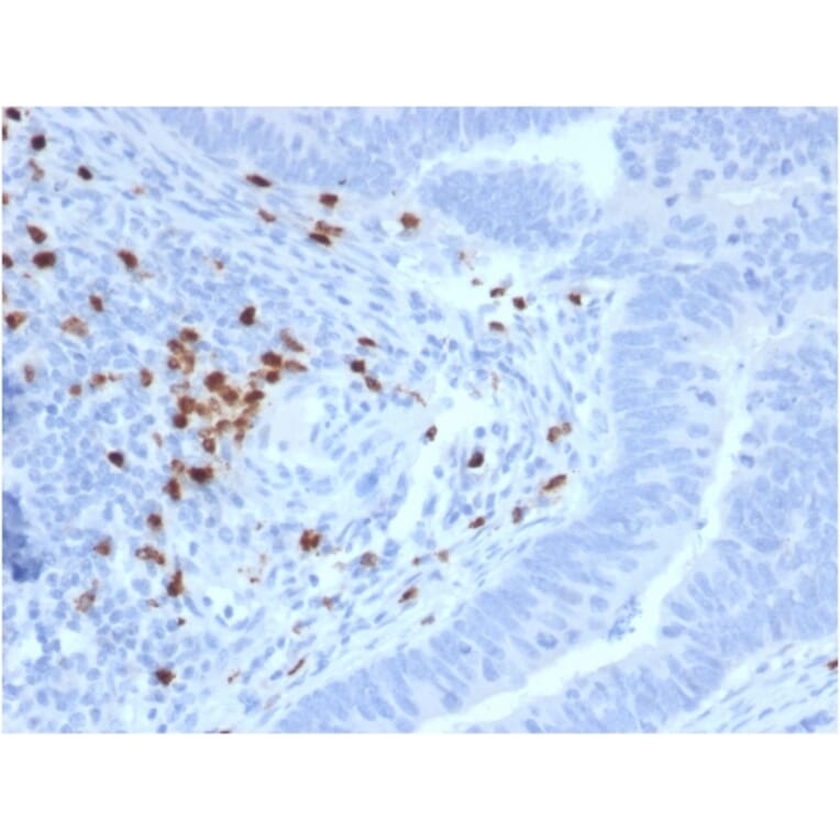
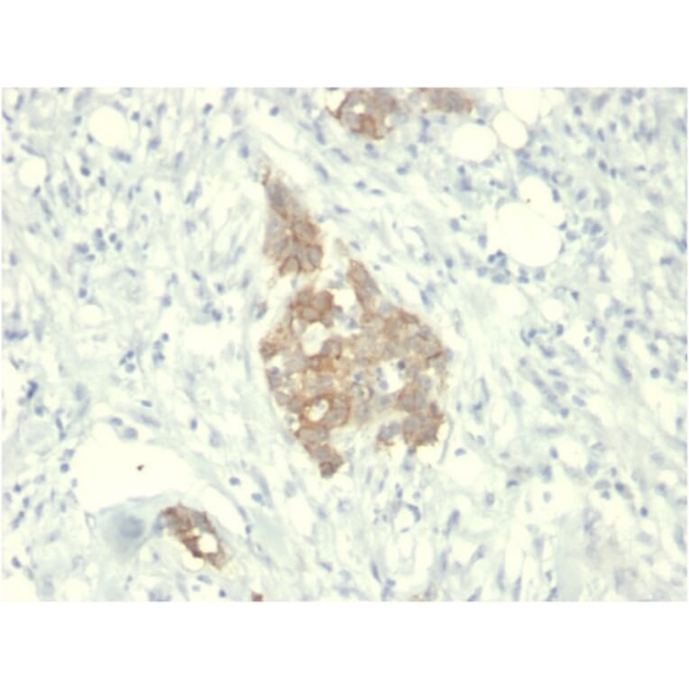
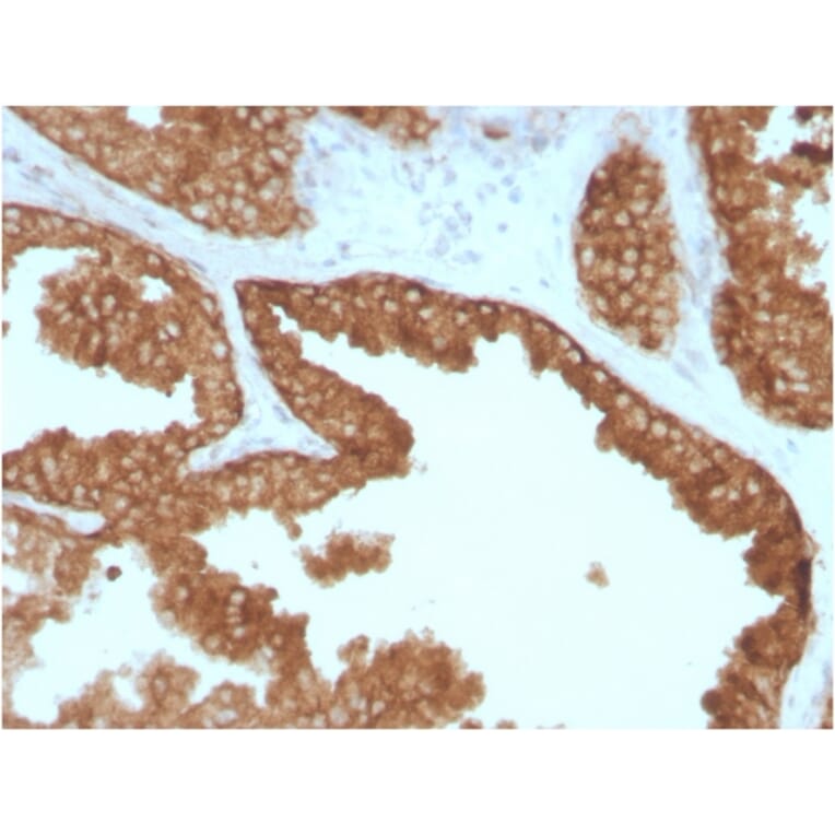
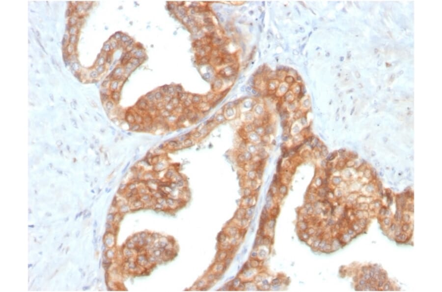
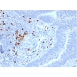
Anti-RET Antibody [RET/2795] - BSA and Azide free (A253062)

Mouse monoclonal [RET/2795] antibody to RET for IHC-P.

Alternative Formats and ConjugatesAlternative Formats

Shipping Information

$40
Dispatched from St. Louis, MO.
Lead Time: 5-8 business days.
Name
Anti-RET Antibody [RET/2795] - BSA and Azide free
Description
Mouse monoclonal [RET/2795] antibody to RET.
Specificity
The Ret proto-oncogene is structurally related to the growing family of tyrosine kinase transmembrane receptors and is involved in GDNF signaling. RET expression is reported in several regions of the central nervous system; in the developing cranial nerve ganglia and a subset of cells within dorsal root ganglia, in motor neurons in the spinal cord and hindbrain, in neuro-retina and the growing tips of the renal collecting ducts in developing kidney.Alterations in RETgene are associated with diseases including papillary thyroid carcinoma, multiple endocrine neoplasia (type 2A and 2B), familial medullary thyroid carcinoma, and a congenital developmental disorder known as Hirschsprungs disease.
Applications
IHC-P
Dilutions
IHC-P: 1-2 µg/ml
Reactivity
Human
Immunogen
Recombinant fragment, around amino acids 702-848, of human RET protein. The exact sequence is proprietary.
Host
Mouse
Clonality
Monoclonal
Clone ID
RET/2795
Isotype
IgG1
Light Chains
kappa
Conjugate

Unconjugated

Purification
Protein A/G chromatography.
Concentration
1 mg/ml
Molecular Weight
150 kDa (precursor) / 170 kDa (mature)
Product Form
Liquid
Formulation
Supplied in 10mM Phosphate Buffered Saline; without Sodium Azide and carrier free.
Storage
Shipped at 4°C. Upon delivery aliquot and store at -20°C. Avoid freeze / thaw cycles.
General Notes
This monoclonal antibody is also available in a different formulation with BSA and Sodium Azide - Anti-RET Antibody [RET/2795] (A249882).
Synonyms
Cadherin family member 12, CDHF12, CDHR16, Proto-oncogene c-Ret, Proto-oncogene tyrosine-protein kinase receptor Ret, PTC
Disclaimer
This product is for research use only. It is not intended for diagnostic or therapeutic use.
Publishing research using Anti-RET Antibody [RET/2795] - BSA and Azide free (A253062)? Please let us know so that we can list the citation on this page.

Alternative products to Anti-RET Antibody [RET/2795] - BSA and Azide free (A253062)

Proteins predicted to interact with Ret

Predicted protein interactions based upon String database. Revelancy score correlates with probability of interaction.
99.9% Relevancy Score
99.9% Relevancy Score
99.9% Relevancy Score
99.9% Relevancy Score
99.9% Relevancy Score
99.6% Relevancy Score
99.3% Relevancy Score
98.9% Relevancy Score