ISO 9001:2015 Certified
Live Customer Support
4.5/5 on Trustpilot
100% Quality Guarantee

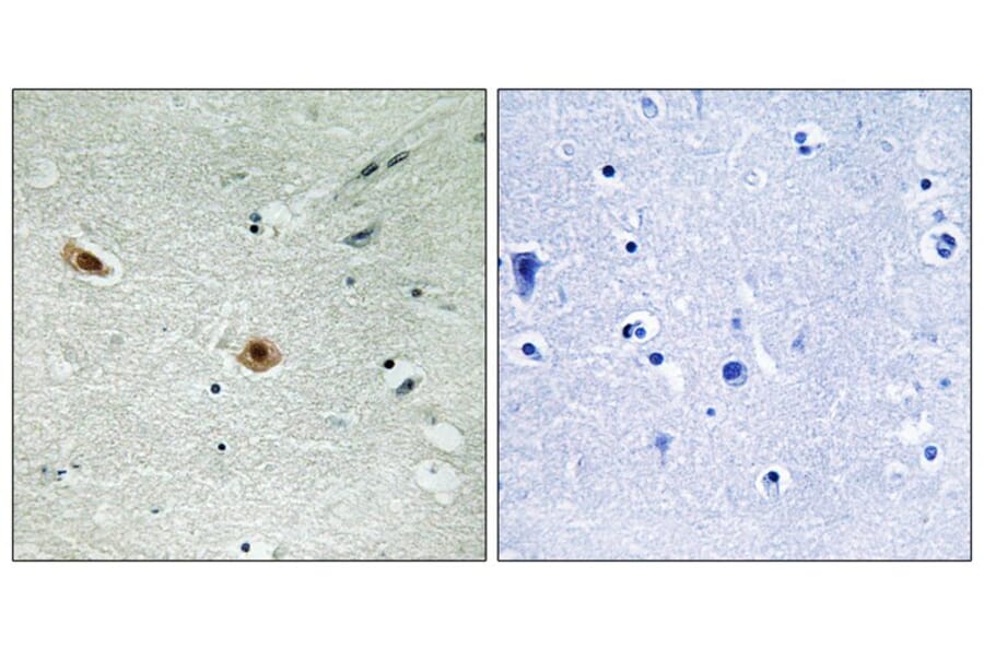
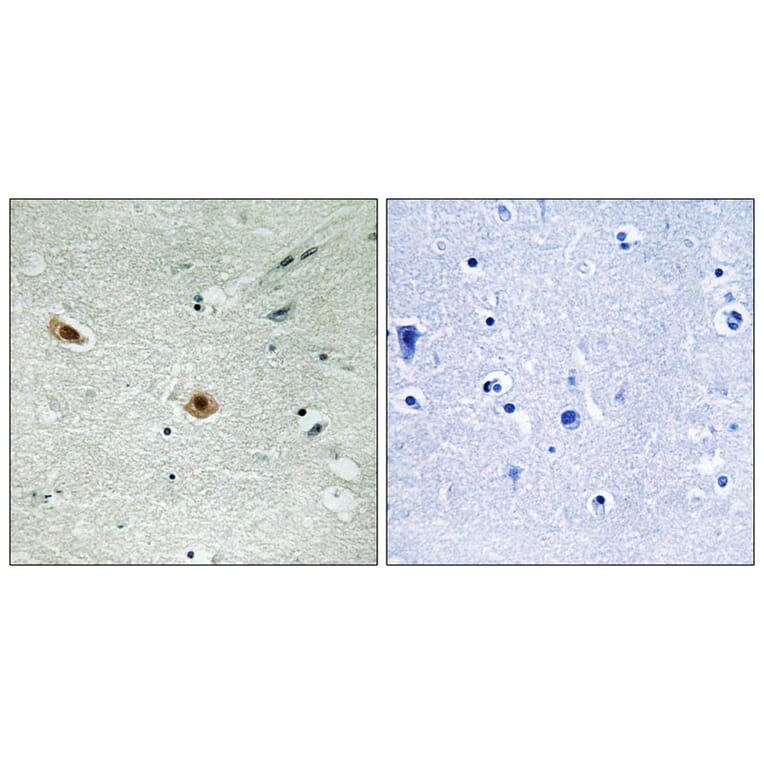
Anti-Retinoblastoma (Phospho-Ser608) Antibody (A50354)

Rabbit polyclonal antibody to Retinoblastoma (Phospho-Ser608) for WB, IHC and ICC/IF.

Shipping Information

$40
Dispatched from St. Louis, MO.
Lead Time: 6-9 business days.
Name
Anti-Retinoblastoma (Phospho-Ser608) Antibody
Description
Rabbit polyclonal antibody to Retinoblastoma (Phospho-Ser608)
Specificity
The antibody detects endogenous levels of Retinoblastoma only when phosphorylated at serine 608.
Applications
WB, IHC, ICC/IF
Dilutions
Western blotting: 1:500~1:1000Immunohistochemistry: 1:50~1:100
Reactivity
Human, Mouse
Immunogen
Peptide sequence around phosphorylation site of Serine 608(Y-L-S(p)-P-V) derived from Human Retinoblastoma.
Host
Rabbit
Clonality
Polyclonal
Conjugate

Unconjugated

Purification
Antibodies were produced by immunizing rabbits with synthetic phosphopeptide and KLH conjugates. Antibodies were purified by affinity-chromatography using epitope-specific phosphopeptide. Non-phospho specific antibodies were removed by chromatogramphy using non-phosphopeptide.
Concentration
1.0 mg/mL
Formulation
Supplied in phosphate-buffered saline (without Mg²? and Ca²?), pH 7.4, containing 150 mM NaCl, 0.02% sodium azide, and 50% glycerol.
Storage
Shipped at 4°C. Upon delivery aliquot and store at -20°C. Avoid freeze/thaw cycles.
Disclaimer
This product is for research use only. It is not intended for diagnostic or therapeutic use.
Publishing research using Anti-Retinoblastoma (Phospho-Ser608) Antibody (A50354)? Please let us know so that we can list the citation on this page.