Rabbit polyclonal antibody to Retinoic Acid Receptor α (Phospho-Ser77)
Specificity
The antibody detects endogenous levels of Retinoic Acid Receptor α only when phosphorylated at serine 77.
Applications
WB, IHC
Reactivity
Human, Mouse, Rat
Immunogen
Peptide sequence around phosphorylation site of serine 77 (P-P-S(p)-P-P) derived from Human Retinoic Acid Receptor α.
Host
Rabbit
Clonality
Polyclonal
Conjugate
Unconjugated
Purification
Antibodies were produced by immunizing rabbits with synthetic phosphopeptide and KLH conjugates. Antibodies were purified by affinity-chromatography using epitope-specific phosphopeptide. Non-phospho specific antibodies were removed by chromatogramphy using non-phosphopeptide.
Concentration
1.0 mg/mL
Formulation
Supplied in phosphate-buffered saline (without Mg²? and Ca²?), pH 7.4, containing 150 mM NaCl, 0.02% sodium azide, and 50% glycerol.
Storage
Shipped at 4°C. Upon delivery aliquot and store at -20°C. Avoid freeze/thaw cycles.
Western blot analysis of extracts from Jurkat cells treated with PMA (125ng/ml, 30mins), using Retinoic Acid Receptor α (Phospho-Ser77) antibody #12121. The lane on the right is treated with the synthesized peptide.
Western blot analysis of extracts from JK cells (Lane 2) and COS7 cells (Lane 3), using Retinoic Acid Receptor α (Phospho-Ser77) Antibody #12121. The lane on the left is treated with synthesized peptide.
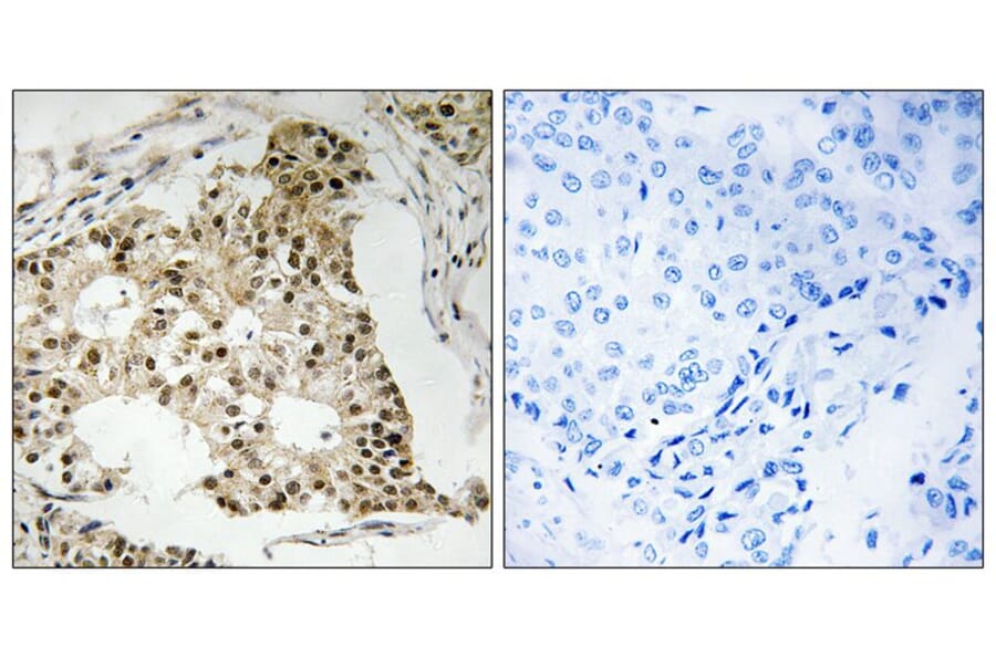
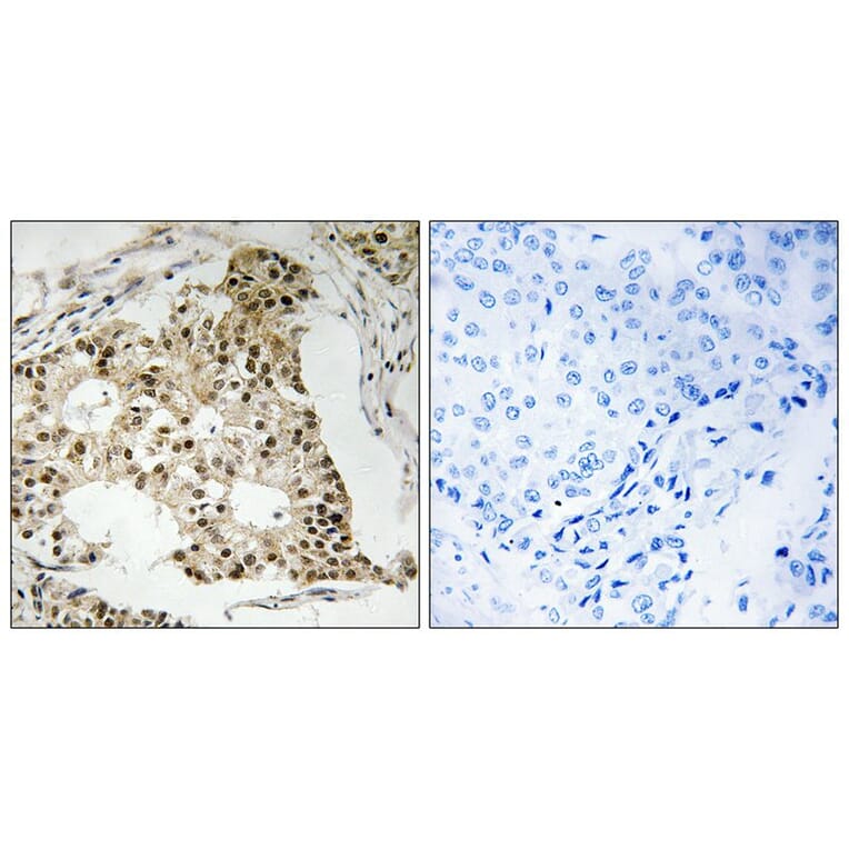
Immunohistochemistry analysis of paraffin-embedded human breast carcinoma tissue using Retinoic Acid Receptor α (Phospho-Ser77) antibody #12121. The picture on the right is treated with the synthesized peptide.
Publishing research using Anti-Retinoic Acid Receptor α (Phospho-Ser77) Antibody (A50351)? Please let us know so that we can list the citation on this page.