ISO 9001:2015 Certified
Live Customer Support
4.5/5 on Trustpilot
100% Quality Guarantee

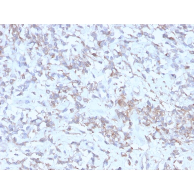
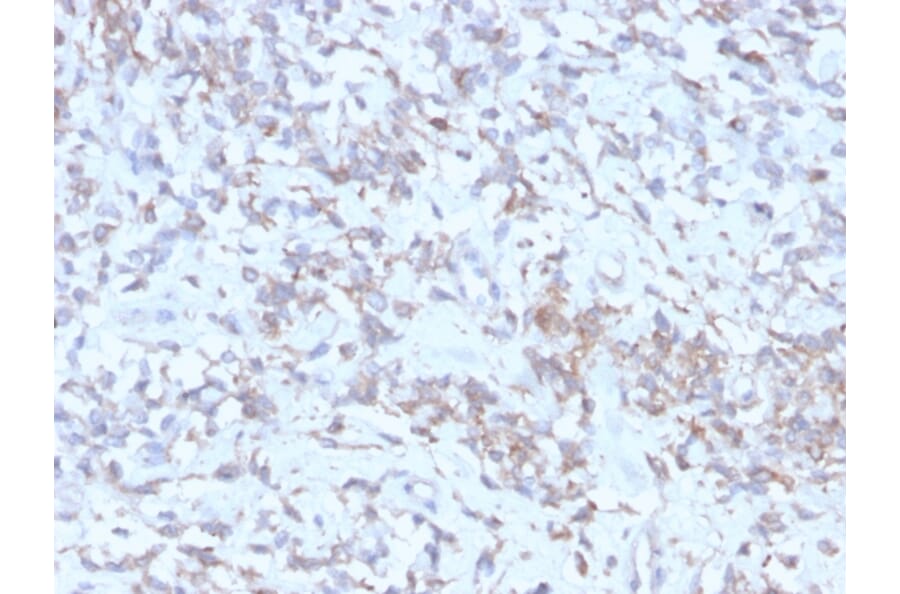
Recombinant Anti-Retinol Binding Protein Antibody [rRBP1/872] - BSA and Azide free (A253020)

Recombinant mouse monoclonal [rRBP1/872] antibody to Retinol Binding Protein for IHC-P.

Alternative Formats and ConjugatesAlternative Formats

Shipping Information

$40
Dispatched from St. Louis, MO.
Lead Time: 5-8 business days.
Name
Anti-Retinol Binding Protein Antibody [rRBP1/872] - BSA and Azide free
Description
Recombinant mouse monoclonal [rRBP1/872] antibody to Retinol Binding Protein.
Specificity
This antibody recognizes an epitope within the 74-182 C-terminal sequence (11kD peptide fragment) of human serum Cellular Retinol Binding Protein 1 (CRBP 1), a single-chain glycoprotein belonging to the superfamily of hydrophobic molecule transporter proteins, which is responsible for transport of retinol (vitamin A1) from the liver to peripheral target tissues, like the eye, where it mediates the cellular uptake. CRBP 1 is synthesized by hepatic parenchymal cells where it becomes bound to its ligand retinol and is then released into the circulation, where it binds further to the protein transthyretin, to form a transporting complex, which is big enough not to be lost by filtration through the kidney glomeruli. It is detected in nearly all tissues with higher expression in adult ovary, pancreas, pituitary gland, adrenal gland, and fetal liver.
Applications
IHC-P
Dilutions
IHC-P: 1-2 µg/ml
Reactivity
Human, Chimpanzee, Monkey, Goat, Rabbit, Rat, Mouse
Immunogen
Recombinant full-length human RBP protein.
Host
Mouse
Clonality
Monoclonal
Clone ID
rRBP1/872
Isotype
IgG1
Light Chains
kappa
Conjugate

Unconjugated

Purification
Protein A/G chromatography.
Concentration
1 mg/ml
Molecular Weight
21-25 kDa
Product Form
Liquid
Formulation
Supplied in 10mM Phosphate Buffered Saline; without Sodium Azide and carrier free.
Storage
Shipped at 4°C. Upon delivery aliquot and store at -20°C. Avoid freeze / thaw cycles.
General Notes
This monoclonal antibody is also available in a different formulation with BSA and Sodium Azide - Anti-Retinol Binding Protein Antibody [rRBP1/872] (A249840).
Disclaimer
This product is for research use only. It is not intended for diagnostic or therapeutic use.
Publishing research using Recombinant Anti-Retinol Binding Protein Antibody [rRBP1/872] - BSA and Azide free (A253020)? Please let us know so that we can list the citation on this page.

Alternative products to Anti-Retinol Binding Protein Antibody [rRBP1/872] - BSA and Azide free (A253020)