Primary Antibodies
Secondary Antibodies
Proteins & Peptides
ELISA Kits
About Us
Contact Us
Sign In/Register
0
ISO 9001:2015 Certified
Live Customer Support
4.5/5 on Trustpilot
100% Quality Guarantee
Home
Primary Antibodies
RGS10 Antibodies
Anti-RGS10 Antibody (A46394)
Anti-RGS10 Antibody (A46394)
Overview
Specifications
Images
Enlarge Image
$405
Rabbit polyclonal antibody to RGS10 for IHC.
100% Guarantee
Price Match Guarantee
Product Size:
100µl
Quantity:
1
2
3
4
5
6
7
8
9
10
Add To Cart
Request a Quotation
Custom or Bulk Request
Shipping Information
Freight/Packing Charges:
$40
Dispatched from St. Louis, MO.
Lead Time: 6-9 business days.
Specifications
Name
Anti-RGS10 Antibody
Description
Rabbit polyclonal antibody to RGS10
Specificity
The antibody detects endogenous levels of total RGS10 protein.
Applications
IHC
Reactivity
Human
Immunogen
Fusion protein of human RGS10
Host
Rabbit
Clonality
Polyclonal
Conjugate
Unconjugated
Purification
Antigen affinity purification.
Concentration
800 µg/ml
Formulation
Rabbit IgG in pH7.4 PBS, 0.05% NaN3, 40% Glycerol.
Storage
Store at -20˚C
Synonyms
Regulator of G-protein signaling 10
Suitable Secondaries
Goat Anti-Rabbit IgG H&L Antibody (AP) (A294874)
Goat Anti-Rabbit IgG H&L Antibody (Biotin) (A294795)
Goat Anti-Rabbit IgG H&L Antibody (FITC) (A294887)
Goat Anti-Rabbit IgG H&L Antibody (HRP) (A294888)
See all Anti-Rabbit IgG Secondaries →
Disclaimer
This product is for research use only. It is not intended for diagnostic or therapeutic use.
Scientific Validation Data
Validation Data
(1)
Enlarge Image
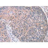
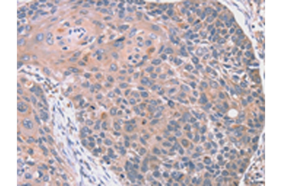
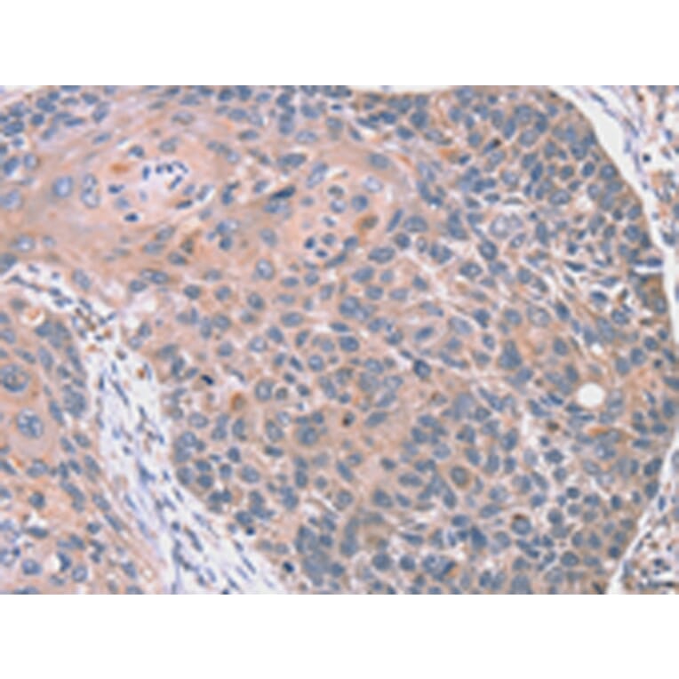
Immunohistochemistry - Anti-RGS10 Antibody (A46394)
Immunohistochemical analysis of paraffin-embedded Human oesophagus cancer tissue using #42735 at dilution 1/20,
Publishing research using Anti-RGS10 Antibody (A46394)? Please
let us know
so that we can list the citation on this page.
Alternative products to Anti-RGS10 Antibody (A46394)
(3)
A28129
Anti-RGS10 Antibody
Rabbit polyclonal antibody to RGS10 for WB and IHC.
A95801
Anti-RGS10 Antibody
Rabbit polyclonal antibody to RGS10 for WB, IHC and ELISA.
A16947
Anti-RGS10 Antibody
Rabbit polyclonal antibody to RGS10 for WB and IHC.
(2)
A37478
Anti-RGS10 Antibody
Rabbit polyclonal antibody to RGS10 for WB and IHC.
A43005
Anti-RGS10 Antibody
Rabbit polyclonal antibody to RGS10 for WB.
(3)
A28129
Anti-RGS10 Antibody
Rabbit polyclonal antibody to RGS10 for WB and IHC.
A95801
Anti-RGS10 Antibody
Rabbit polyclonal antibody to RGS10 for WB, IHC and ELISA.
A16947
Anti-RGS10 Antibody
Rabbit polyclonal antibody to RGS10 for WB and IHC.
(2)
A37478
Anti-RGS10 Antibody
Rabbit polyclonal antibody to RGS10 for WB and IHC.
A43005
Anti-RGS10 Antibody
Rabbit polyclonal antibody to RGS10 for WB.
See all RGS10 Antibodies
Proteins predicted to interact with RGS10
Predicted protein interactions based upon String database. Revelancy score correlates with probability of interaction.
GNAI3 Antibodies
97.5% Relevancy Score
GNB5 Antibodies
94.7% Relevancy Score
SUCLG2 Antibodies
84.7% Relevancy Score
GNAQ Antibodies
79.8% Relevancy Score
GNAO1 Antibodies
79.1% Relevancy Score
ARHGEF11 Antibodies
77.8% Relevancy Score
p115 RhoGEF Antibodies
77.6% Relevancy Score
GNAI1 Antibodies
76.1% Relevancy Score
GRK2 Antibodies
76% Relevancy Score
Top