Primary Antibodies
Secondary Antibodies
Proteins & Peptides
ELISA Kits
About Us
Contact Us
Sign In/Register
0
ISO 9001:2015 Certified
Live Customer Support
4.5/5 on Trustpilot
100% Quality Guarantee
Home
Primary Antibodies
RHEB Antibodies
Anti-Rheb Antibody (A48331)
Anti-Rheb Antibody (A48331)
Overview
Specifications
Images
Enlarge Image
Enlarge Image
$780
Product Datasheet
Rabbit polyclonal antibody to Rheb for ELISA, WB and IHC.
100% Guarantee
Price Match Guarantee
Product Size:
100µl
Quantity:
1
2
3
4
5
6
7
8
9
10
Add To Cart
Request a Quotation
Custom or Bulk Request
Shipping Information
Freight/Packing Charges:
$40
Dispatched from St. Louis, MO.
Lead Time: 6-9 business days.
Specifications
Name
Anti-Rheb Antibody
Description
Rabbit polyclonal antibody to Rheb
Applications
ELISA
,
WB
,
IHC
Reactivity
Human, Mouse, Rat
Immunogen
Raised against a 15 amino acid peptide from the middle region of human Rheb.
Host
Rabbit
Clonality
Polyclonal
Conjugate
Unconjugated
Purification
Affinity chromatography purified via peptide column
Formulation
Supplied in phosphate-buffered saline with 0.02% Sodium Azide.
Storage
Shipped at 4°C. Upon delivery aliquot and store at -20°C. Avoid freeze/thaw cycles.
Synonyms
GTP-binding protein Rheb, Ras homolog enriched in brain, RHEB2
Suitable Secondaries
Goat Anti-Rabbit IgG H&L Antibody (AP) (A294874)
Goat Anti-Rabbit IgG H&L Antibody (Biotin) (A294795)
Goat Anti-Rabbit IgG H&L Antibody (FITC) (A294887)
Goat Anti-Rabbit IgG H&L Antibody (HRP) (A294888)
See all Anti-Rabbit IgG Secondaries →
Disclaimer
This product is for research use only. It is not intended for diagnostic or therapeutic use.
Scientific Validation Data
Validation Data
(2)
Enlarge Image
Anti-Rheb Antibody (A48331)
Western blot analysis of Rheb in mouse brain cell lysate with Rheb antibody at (A) 1, (B) 2, and (C) 4 µg/mL.
Enlarge Image
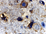
Immunohistochemistry - Anti-Rheb Antibody (A48331)
Immunohistochemistry of Rheb in mouse brain tissue with Rheb antibody at 2 µg/mL.
Publishing research using Anti-Rheb Antibody (A48331)? Please
let us know
so that we can list the citation on this page.
Alternative products to Anti-Rheb Antibody (A48331)
(2)
A29449
Anti-RHEB Antibody
Rabbit polyclonal antibody to RHEB for WB and IHC.
A13341
Anti-RHEB Antibody
Rabbit polyclonal antibody to RHEB for WB and ICC/IF.
A49645
Anti-Rheb Antibody
Rabbit polyclonal antibody to Rheb for ELISA and WB.
A38415
Anti-RHEB Antibody
Rabbit polyclonal antibody to RHEB for WB and ICC/IF.
A348187
Anti-RHEB Antibody [24GB1055]
Recombinant rabbit monoclonal [24GB1055] antibody to RHEB for WB, Flow Cytometry and ICC/IF.
A47008
Anti-RHEB Antibody
Rabbit polyclonal antibody to RHEB for IHC.
(2)
A29449
Anti-RHEB Antibody
Rabbit polyclonal antibody to RHEB for WB and IHC.
A13341
Anti-RHEB Antibody
Rabbit polyclonal antibody to RHEB for WB and ICC/IF.
A49645
Anti-Rheb Antibody
Rabbit polyclonal antibody to Rheb for ELISA and WB.
A38415
Anti-RHEB Antibody
Rabbit polyclonal antibody to RHEB for WB and ICC/IF.
A348187
Anti-RHEB Antibody [24GB1055]
Recombinant rabbit monoclonal [24GB1055] antibody to RHEB for WB, Flow Cytometry and ICC/IF.
A47008
Anti-RHEB Antibody
Rabbit polyclonal antibody to RHEB for IHC.
See all Rheb Antibodies
Proteins predicted to interact with RHEB
Predicted protein interactions based upon String database. Revelancy score correlates with probability of interaction.
Raptor Antibodies
99.9% Relevancy Score
mTOR Antibodies
99.9% Relevancy Score
Tuberin Antibodies
99.9% Relevancy Score
GBL Antibodies
99.9% Relevancy Score
Hamartin Antibodies
99.9% Relevancy Score
BNIP3 Antibodies
99.8% Relevancy Score
PRAS40 Antibodies
99.7% Relevancy Score
DEPTOR Antibodies
98.8% Relevancy Score
PDE6D Antibodies
98.2% Relevancy Score
Top