ISO 9001:2015 Certified
Live Customer Support
4.5/5 on Trustpilot
100% Quality Guarantee

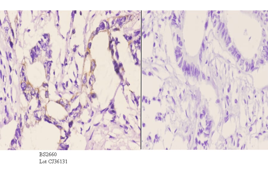
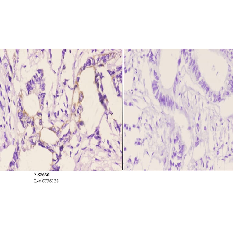
Anti-Rho H (M134) Antibody (A26433)

$390

Rabbit polyclonal antibody to Rho H (M134) for WB, IHC and IF.

Shipping Information

$40
Dispatched from St. Louis, MO.
Lead Time: 7-10 business days.
Name
Anti-Rho H (M134) Antibody
Description
Rabbit polyclonal antibody to Rho H (M134)
Specificity
Rho H (M134) pAb detects endogenous levels of Rho H protein.
Applications
WB, IHC, IF
Reactivity
Human, Mouse, Rat
Immunogen
Synthetic peptide, corresponding to amino acids 102-152 of Human Rho H.
Host
Rabbit
Clonality
Polyclonal
Conjugate

Unconjugated

Molecular Weight
~ 21 kDa
Purity
The antibody was affinity-purified from rabbit antiserum by affinity-chromatography using epitope-specific immunogen and the purity is > 95% (by SDS-PAGE).
Product Form
1 mg/ml in Phosphate buffered saline (PBS) with 0.05% sodium azide, approx. pH 7.2.
Disclaimer
This product is for research use only. It is not intended for diagnostic or therapeutic use.
Publishing research using Anti-Rho H (M134) Antibody (A26433)? Please let us know so that we can list the citation on this page.