ISO 9001:2015 Certified
Live Customer Support
4.5/5 on Trustpilot
100% Quality Guarantee

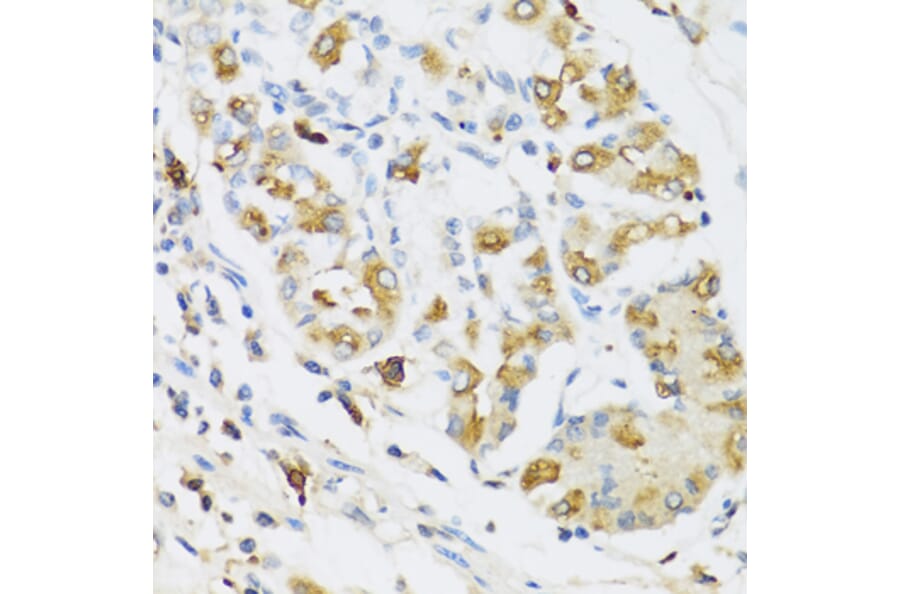
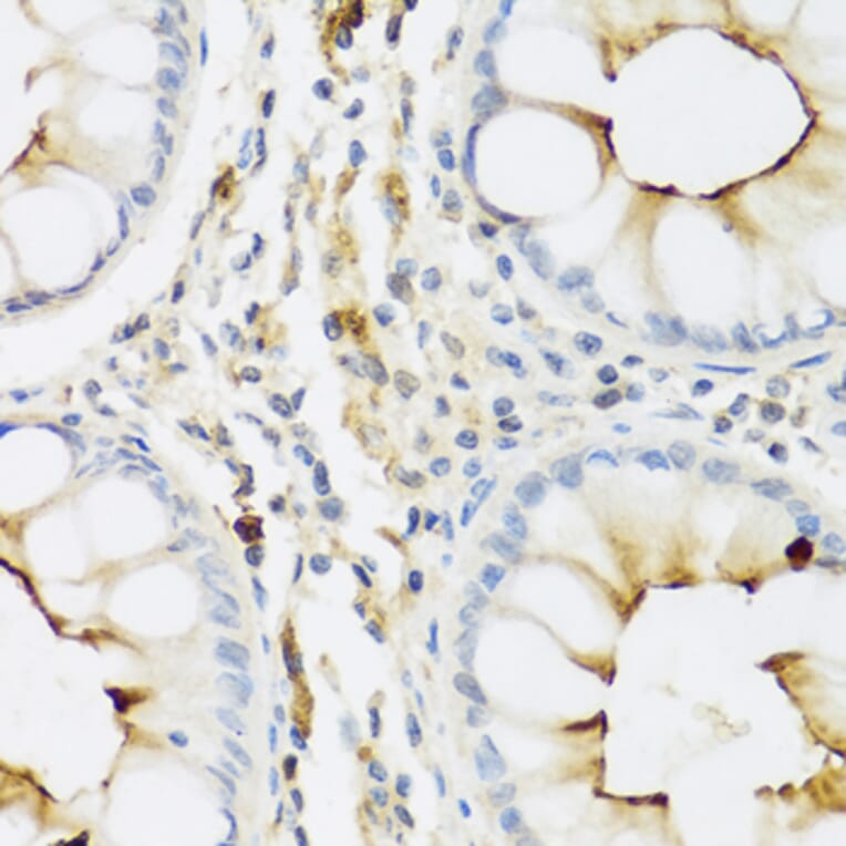
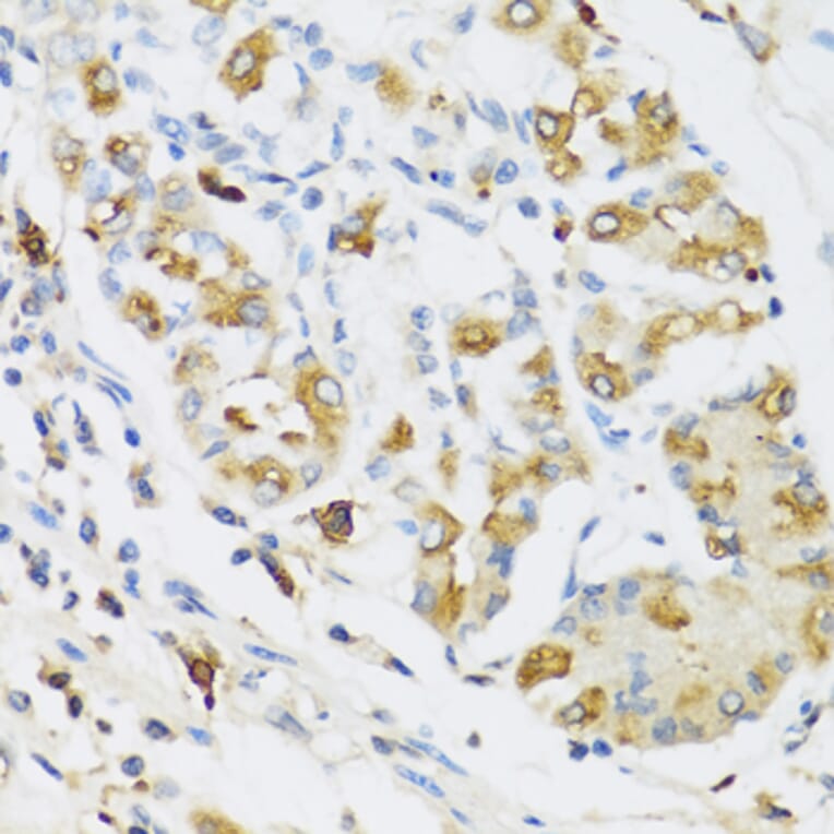
Anti-Ribonuclease 3/ECP Antibody (A8972)

Rabbit polyclonal antibody to Ribonuclease 3/ECP for IHC.

Shipping Information

$40
Dispatched from St. Louis, MO.
Lead Time: 7-10 business days.
Name
Anti-Ribonuclease 3/ECP Antibody
Description
Rabbit polyclonal antibody to Ribonuclease 3/ECP.
Applications
IHC
Dilutions
IHC: 1:50-1:100
Reactivity
Human
Immunogen
Recombinant fusion protein containing a sequence corresponding to amino acids 28-160 of human RNASE3 (NP_002926.2).
Sequence
RPPQFTRAQWFAIQHISLNPPRCTIAMRAINNYRWRCKNQNTFLRTTFANVVNVCGNQSIRCPHNRTLNNCHRSRFRVPLLHCDLINPGAQNISNCTYADRPGRRFYVVACDNRDPRDSPRYPVVPVHLDTTI
Host
Rabbit
Clonality
Polyclonal
Isotype
IgG
Conjugate

Unconjugated

Purification
Affinity purification.
Concentration
Lot Specific
Product Form
Liquid
Formulation
Supplied in Phosphate Buffered Saline, pH 7.3, with 50% Glycerol and 0.02% Sodium Azide.
Storage
Shipped at 4°C. Upon delivery aliquot and store at -20°C. Avoid freeze/thaw cycles.
Disclaimer
This product is for research use only. It is not intended for diagnostic or therapeutic use.
Publishing research using Anti-Ribonuclease 3/ECP Antibody (A8972)? Please let us know so that we can list the citation on this page.