Primary Antibodies
Secondary Antibodies
Proteins & Peptides
ELISA Kits
About Us
Contact Us
Sign In/Register
0
ISO 9001:2015 Certified
Live Customer Support
4.5/5 on Trustpilot
100% Quality Guarantee
Home
Primary Antibodies
Rictor Antibodies
Anti-RICTOR Antibody (A45431)
Anti-RICTOR Antibody (A45431)
Overview
Specifications
Images
Enlarge Image
Enlarge Image
$405
Rabbit polyclonal antibody to RICTOR for IHC.
100% Guarantee
Price Match Guarantee
Product Size:
100µl
Quantity:
1
2
3
4
5
6
7
8
9
10
Add To Cart
Request a Quotation
Custom or Bulk Request
Shipping Information
Freight/Packing Charges:
$40
Dispatched from St. Louis, MO.
Lead Time: 6-9 business days.
Specifications
Name
Anti-RICTOR Antibody
Description
Rabbit polyclonal antibody to RICTOR
Specificity
The antibody detects endogenous levels of total RICTOR protein.
Applications
IHC
Reactivity
Human
Immunogen
Full length fusion protein
Host
Rabbit
Clonality
Polyclonal
Conjugate
Unconjugated
Purification
Antigen affinity purification.
Concentration
2 mg/ml
Formulation
Rabbit IgG in pH7.3 PBS, 0.05% NaN3, 50% Glycerol.
Storage
Store at -20˚C
Synonyms
AVO3 homolog, hAVO3, KIAA1999, Rapamycin-insensitive companion of mTOR
Suitable Secondaries
Goat Anti-Rabbit IgG H&L Antibody (AP) (A294874)
Goat Anti-Rabbit IgG H&L Antibody (Biotin) (A294795)
Goat Anti-Rabbit IgG H&L Antibody (FITC) (A294887)
Goat Anti-Rabbit IgG H&L Antibody (HRP) (A294888)
See all Anti-Rabbit IgG Secondaries →
Disclaimer
This product is for research use only. It is not intended for diagnostic or therapeutic use.
Scientific Validation Data
Validation Data
(2)
Enlarge Image
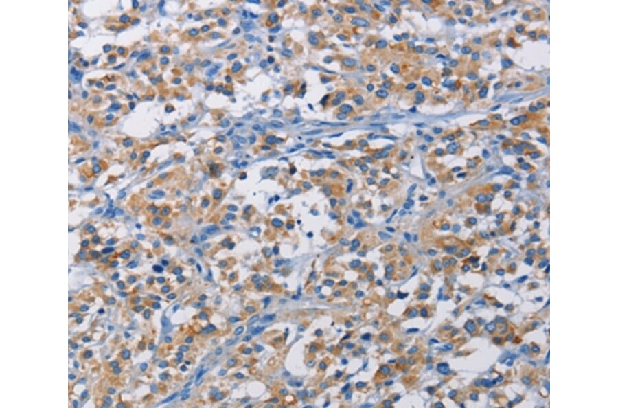
Immunohistochemistry - Anti-RICTOR Antibody (A45431)
Immunohistochemical analysis of paraffin-embedded Human thyroid cancer tissue using #36195 at dilution 1/50.
Enlarge Image
Immunohistochemistry - Anti-RICTOR Antibody (A45431)
Immunohistochemical analysis of paraffin-embedded Human liver cancer tissue using #36195 at dilution 1/50.
Publishing research using Anti-RICTOR Antibody (A45431)? Please
let us know
so that we can list the citation on this page.
Alternative products to Anti-RICTOR Antibody (A45431)
(4)
A295540
Anti-RICTOR Antibody
Rabbit polyclonal antibody to RICTOR for WB, IP and IHC.
(3)
A34913
Anti-RICTOR Antibody
Rabbit polyclonal antibody to RICTOR for WB, IHC and IF.
A84082
Anti-RICTOR Antibody
Goat polyclonal antibody to RICTOR for ELISA and IHC.
(2)
A304940
Anti-RICTOR Antibody
Rabbit polyclonal antibody to RICTOR for WB and IHC.
A98762
Anti-Rictor Antibody
Rabbit polyclonal antibody to Rictor for WB and ELISA.
A11921
Anti-RICTOR Antibody
Rabbit polyclonal antibody to RICTOR for WB.
(4)
A295540
Anti-RICTOR Antibody
Rabbit polyclonal antibody to RICTOR for WB, IP and IHC.
(3)
A34913
Anti-RICTOR Antibody
Rabbit polyclonal antibody to RICTOR for WB, IHC and IF.
A84082
Anti-RICTOR Antibody
Goat polyclonal antibody to RICTOR for ELISA and IHC.
(2)
A304940
Anti-RICTOR Antibody
Rabbit polyclonal antibody to RICTOR for WB and IHC.
A98762
Anti-Rictor Antibody
Rabbit polyclonal antibody to Rictor for WB and ELISA.
A11921
Anti-RICTOR Antibody
Rabbit polyclonal antibody to RICTOR for WB.
See all RICTOR Antibodies
Proteins predicted to interact with Rictor
Predicted protein interactions based upon String database. Revelancy score correlates with probability of interaction.
GBL Antibodies
99.9% Relevancy Score
PRR5 Antibodies
99.9% Relevancy Score
DEPTOR Antibodies
99.9% Relevancy Score
TTI1 Antibodies
99.9% Relevancy Score
mTOR Antibodies
99.9% Relevancy Score
Protor-2 Antibodies
99.9% Relevancy Score
Raptor Antibodies
99.9% Relevancy Score
SIN1 Antibodies
99.9% Relevancy Score
PRAS40 Antibodies
99.3% Relevancy Score
Top