RIG-I/DDX58 expression in A431 cells analyzed by immunofluorescence. Cells were permeabilized with 0.15% Triton. Staining was performed with Anti-RIG-I/DDX58 Antibody (A285978) at 10µg/ml for 1 hour and Alexa Fluor 488 secondary antibody at 2µg/ml. Cytoplasmic staining shown and nuclei were stained with DAPI (blue). Negative control: Goat IgG Isotype Control at 10µg/ml followed by Alexa Fluor 488 secondary antibody at 2µg/ml.
RIG-I/DDX58 expression in HeLa cells analyzed by immunofluorescence. Cells were permeabilized with 0.15% Triton. Staining was performed with Anti-RIG-I/DDX58 Antibody (A285978) at 10µg/ml for 1 hour and Alexa Fluor 488 secondary antibody at 2µg/ml. Cytoplasmic staining shown and nuclei were stained with DAPI (blue). Negative control: Goat IgG Isotype Control at 10µg/ml followed by Alexa Fluor 488 secondary antibody at 2µg/ml.
RIG-I/DDX58 expression in U937 cells (blue line) analyzed by flow cytometry. Cells were fixed in PFA and permeabilized with 0.5% Triton. Staining was performed with Anti-RIG-I/DDX58 Antibody (A285978) at 10µg/ml for 1 hour and Alexa Fluor 488 secondary antibody at 2µg/ml. Negative Control: Goat IgG Isotype Control (black line) followed by Alexa Fluor 488 secondary antibody.
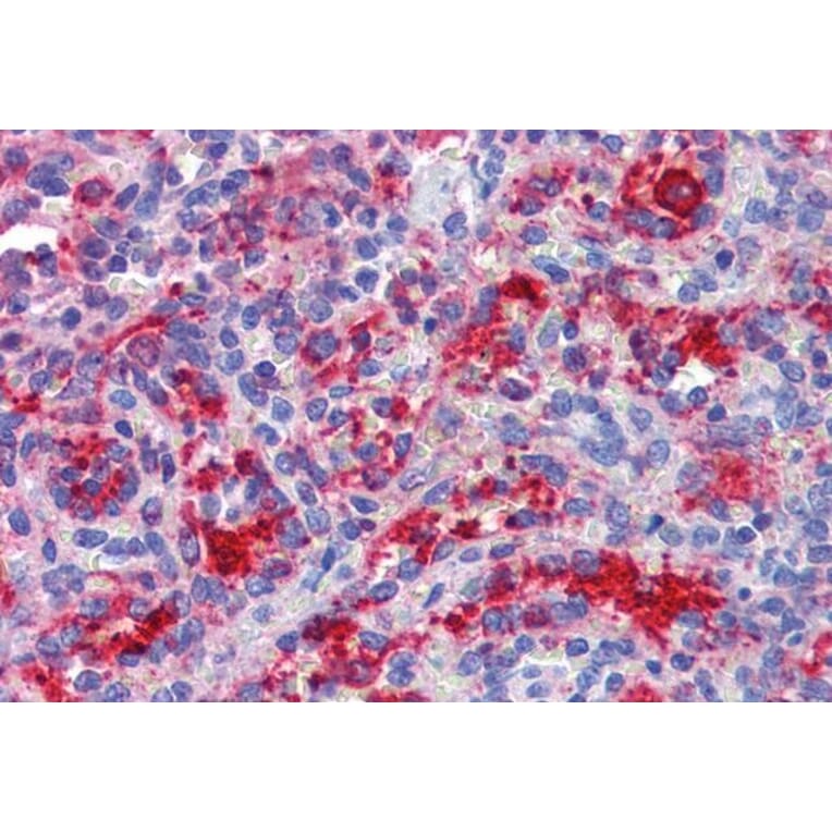
RIG-I/DDX58 expression in Human Spleen analyzed by immunohistochemistry. Tissue was paraffin-embedded, and antigen retrieval was achieved by steaming in citrate buffer, pH 6. Staining was performed with Anti-RIG-I/DDX58 Antibody (A285978) at 3.75µg/ml and revealed with alkaline phosphatase (AP).
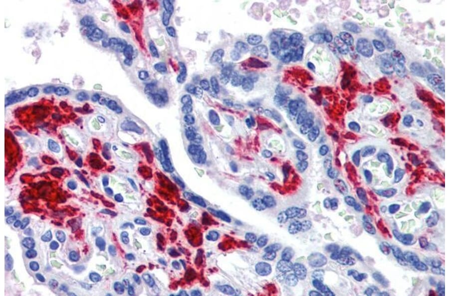
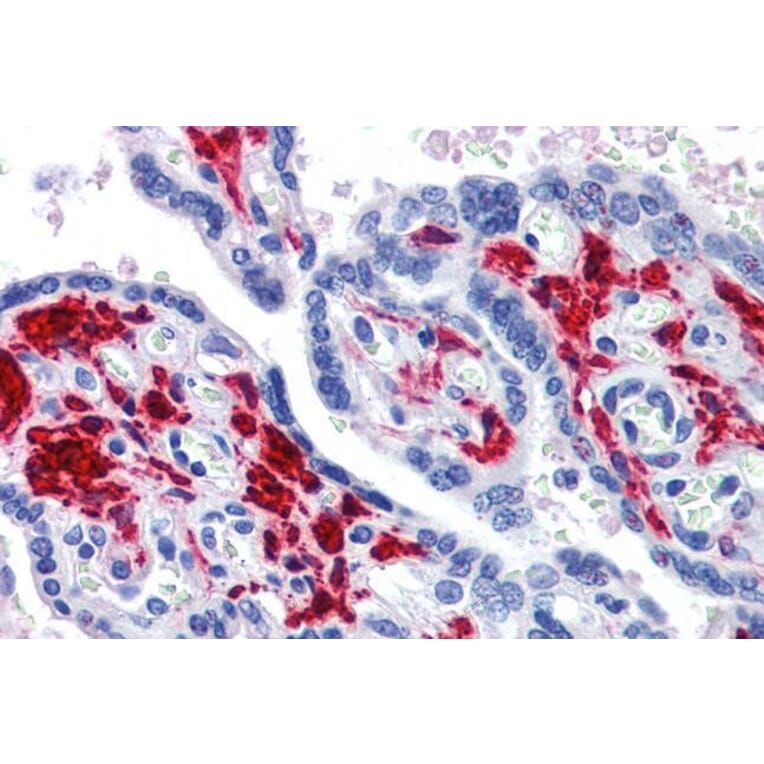
RIG-I/DDX58 expression in Human Placenta analyzed by immunohistochemistry. Tissue was paraffin-embedded, and antigen retrieval was achieved by steaming in citrate buffer, pH 6. Staining was performed with Anti-RIG-I/DDX58 Antibody (A285978) at 3.75µg/ml and revealed with alkaline phosphatase (AP).
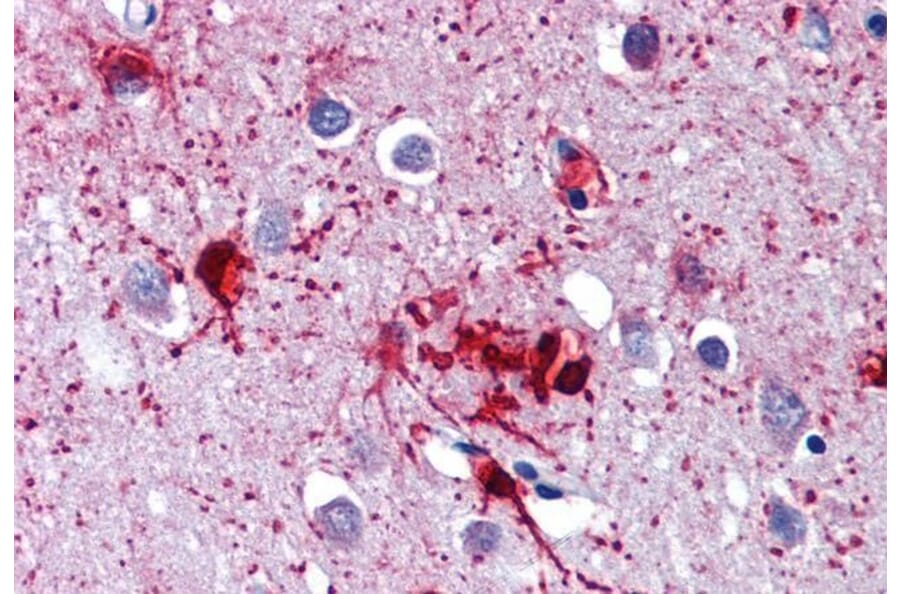
RIG-I/DDX58 expression in Human Cortex analyzed by immunohistochemistry. Tissue was paraffin-embedded, and antigen retrieval was achieved by steaming in citrate buffer, pH 6. Staining was performed with Anti-RIG-I/DDX58 Antibody (A285978) at 3.75µg/ml and revealed with alkaline phosphatase (AP).