Primary Antibodies
Secondary Antibodies
Proteins & Peptides
ELISA Kits
About Us
Contact Us
Sign In/Register
0
ISO 9001:2015 Certified
Live Customer Support
4.5/5 on Trustpilot
100% Quality Guarantee
Home
Primary Antibodies
RILPL2 Antibodies
Anti-RILPL2 Antibody (A37419)
Anti-RILPL2 Antibody (A37419)
Overview
Specifications
Images
Enlarge Image
Enlarge Image
$430
Product Datasheet
Rabbit polyclonal antibody to RILPL2 for WB and IHC.
100% Guarantee
Price Match Guarantee
Product Size:
100µl
Quantity:
1
2
3
4
5
6
7
8
9
10
Add To Cart
Request a Quotation
Custom or Bulk Request
Shipping Information
Freight/Packing Charges:
$40
Dispatched from St. Louis, MO.
Lead Time: 6-9 business days.
Specifications
Name
Anti-RILPL2 Antibody
Description
Rabbit polyclonal antibody to RILPL2
Specificity
The antibody detects endogenous levels of total RILPL2 protein.
Applications
WB
,
IHC
Reactivity
Human
Immunogen
Full length fusion protein of human RILPL2
Host
Rabbit
Clonality
Polyclonal
Conjugate
Unconjugated
Purification
Antigen affinity purification.
Concentration
1.3 mg/mL
Formulation
Rabbit IgG in pH7.4 PBS, 0.05% NaN3, 40% Glycerol.
Storage
Shipped at 4°C. Upon delivery aliquot and store at -20°C. Avoid freeze/thaw cycles.
Synonyms
p40phox-binding protein, Rab-interacting lysosomal protein-like 2, RILP-like protein 2, RLP2
Suitable Secondaries
Goat Anti-Rabbit IgG H&L Antibody (AP) (A294874)
Goat Anti-Rabbit IgG H&L Antibody (Biotin) (A294795)
Goat Anti-Rabbit IgG H&L Antibody (FITC) (A294887)
Goat Anti-Rabbit IgG H&L Antibody (HRP) (A294888)
See all Anti-Rabbit IgG Secondaries →
Disclaimer
This product is for research use only. It is not intended for diagnostic or therapeutic use.
Scientific Validation Data
Validation Data
(2)
Enlarge Image
Anti-RILPL2 Antibody (A37419)
Gel: 12% SDS-PAGE Lysate: 40 μg Lane: 293T cell Primary antibody: 1/400 dilution Secondary antibody: Goat anti rabbit IgG at 1/8000 dilution Exposure time: 30 seconds
Enlarge Image
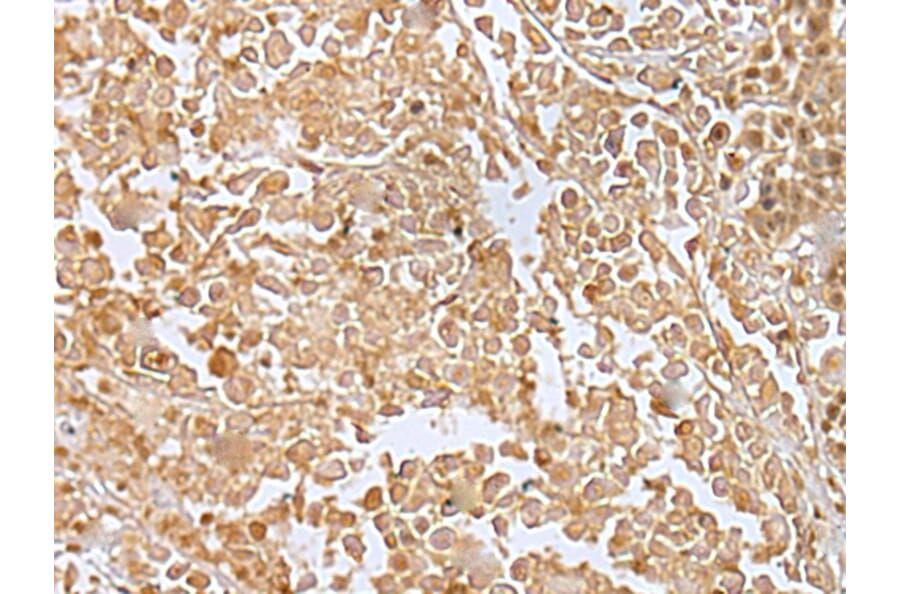
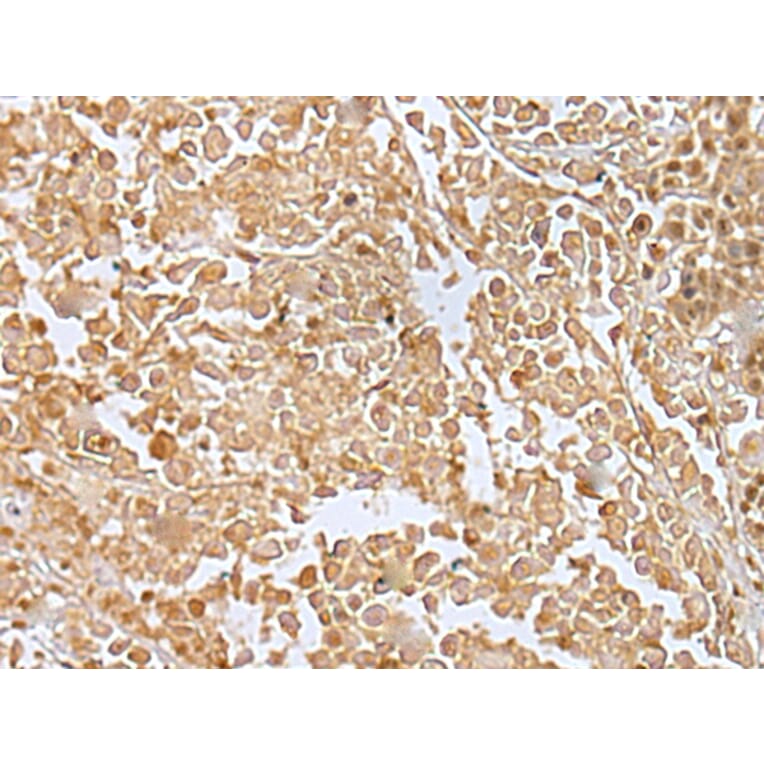
Immunohistochemistry - Anti-RILPL2 Antibody (A37419)
Immunohistochemical analysis of paraffin-embedded Human colorectal cancer tissue using #43385 at dilution 1/30,
Publishing research using Anti-RILPL2 Antibody (A37419)? Please
let us know
so that we can list the citation on this page.
Alternative products to Anti-RILPL2 Antibody (A37419)
A49730
Anti-RLP2 Antibody
Rabbit polyclonal antibody to RLP2 for ELISA and WB.
A49730
Anti-RLP2 Antibody
Rabbit polyclonal antibody to RLP2 for ELISA and WB.
Proteins predicted to interact with RILPL2
Predicted protein interactions based upon String database. Revelancy score correlates with probability of interaction.
RAB8A Antibodies
99.7% Relevancy Score
RAB10 Antibodies
96.8% Relevancy Score
MYO5A Antibodies
89.8% Relevancy Score
RAB29 Antibodies
71.6% Relevancy Score
Melanophilin Antibodies
66.5% Relevancy Score
RILP Antibodies
63.1% Relevancy Score
RAB35 Antibodies
61.3% Relevancy Score
RAB8B Antibodies
60.8% Relevancy Score
RHAG Antibodies
56.4% Relevancy Score
Top