Western Blot - Anti-RING2/RING1B/RNF2 Antibody (A14844)
Western blot analysis of Jurkat, using Anti-RING2/RING1B/RNF2 Antibody (A14844) at 1:400 dilution. The secondary antibody was Goat Anti-Rabbit IgG H&L Antibody (HRP) at 1:10,000 dilution. Lysates/proteins were present at 25µg per lane. The blocking buffer used was 3% non-fat dry milk in TBST. Detection was with a ECL Basic Kit. Exposure time: 1s.
Immunohistochemistry analysis of paraffin-embedded human liver cancer using Anti-RING2/RING1B/RNF2 Antibody (A14844) at a dilution of 1:50 (40x lens). Perform high pressure antigen retrieval with 10 mM citrate buffer pH 6.0 before commencing with IHC staining protocol.
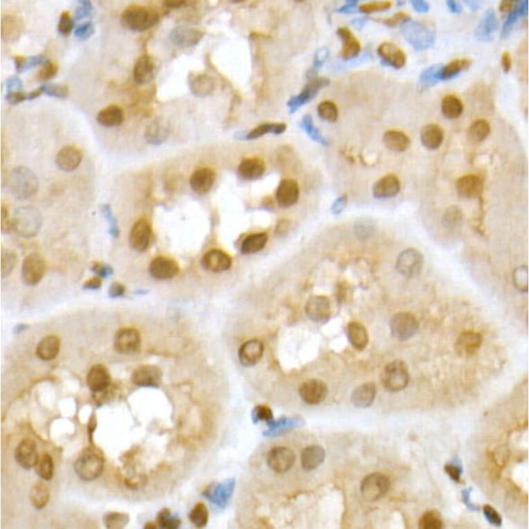
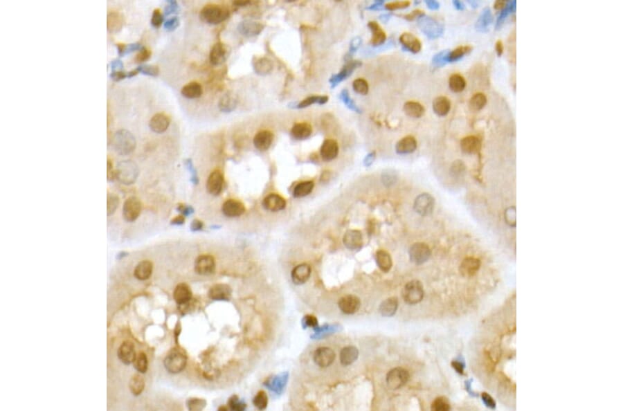
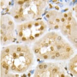
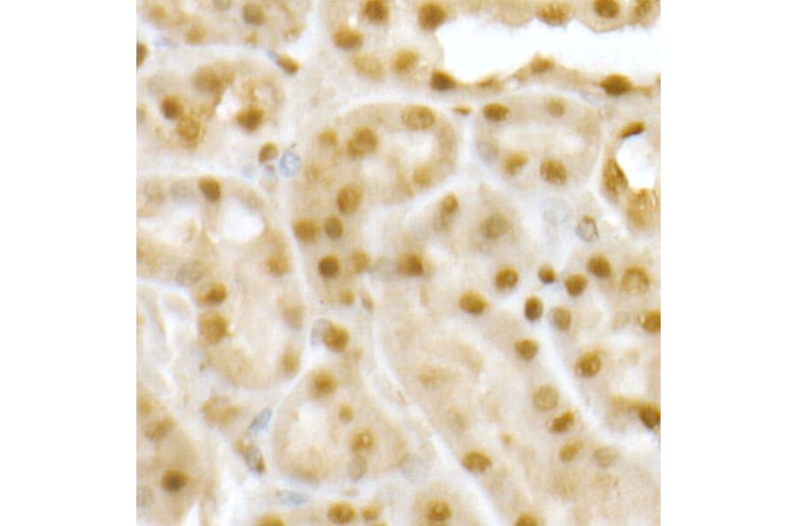
Immunohistochemistry analysis of paraffin-embedded mouse kidney using Anti-RING2/RING1B/RNF2 Antibody (A14844) at a dilution of 1:50 (40x lens). Perform high pressure antigen retrieval with 10 mM citrate buffer pH 6.0 before commencing with IHC staining protocol.
Immunohistochemistry analysis of paraffin-embedded rat kidney using Anti-RING2/RING1B/RNF2 Antibody (A14844) at a dilution of 1:50 (40x lens). Perform high pressure antigen retrieval with 10 mM citrate buffer pH 6.0 before commencing with IHC staining protocol.
Western Blot - Anti-RING2/RING1B/RNF2 Antibody (A14844)
Immunoprecipitation analysis of 200µg extracts of 293T cells using 1µg of Anti-RING2/RING1B/RNF2 Antibody (A14844). This Western blot was performed on the immunoprecipitate using Anti-RING2/RING1B/RNF2 Antibody (A14844) at a dilution of 1:1000.
Chromatin immunoprecipitation (ChIP) analysis of extracts of HeLa cells, using Anti-RING2/RING1B/RNF2 Antibody (A14844) and Rabbit IgG. The amount of immunoprecipitated DNA was checked by quantitative PCR. Histogram was constructed by the ratios of the immunoprecipitated DNA to the input.