Primary Antibodies
Secondary Antibodies
Proteins & Peptides
ELISA Kits
About Us
Contact Us
Sign In/Register
0
ISO 9001:2015 Certified
Live Customer Support
4.5/5 on Trustpilot
100% Quality Guarantee
Home
Primary Antibodies
RIP3 Antibodies
Anti-RIP3 Antibody (A48297)
Anti-RIP3 Antibody (A48297)
Overview
Specifications
Images
Enlarge Image
Enlarge Image
$780
Product Datasheet
Rabbit polyclonal antibody to RIP3 for ELISA, WB and IHC.
100% Guarantee
Price Match Guarantee
Product Size:
100µl
Quantity:
1
2
3
4
5
6
7
8
9
10
Add To Cart
Request a Quotation
Custom or Bulk Request
Shipping Information
Freight/Packing Charges:
$40
Dispatched from St. Louis, MO.
Lead Time: 6-9 business days.
Specifications
Name
Anti-RIP3 Antibody
Description
Rabbit polyclonal antibody to RIP3
Applications
ELISA
,
WB
,
IHC
Reactivity
Mouse, Rat
Immunogen
Raised against a peptide corresponding to amino acids 473 to 486 of murine RIP3.
Host
Rabbit
Clonality
Polyclonal
Conjugate
Unconjugated
Purification
Affinity chromatography purified via peptide column
Formulation
Supplied in phosphate-buffered saline with 0.02% Sodium Azide.
Storage
Shipped at 4°C. Upon delivery aliquot and store at -20°C. Avoid freeze/thaw cycles.
Synonyms
Receptor-interacting protein 3, Receptor-interacting serine/threonine-protein kinase 3, RIP-3, RIP-like protein kinase 3, RIPK3
Suitable Secondaries
Goat Anti-Rabbit IgG H&L Antibody (AP) (A294874)
Goat Anti-Rabbit IgG H&L Antibody (Biotin) (A294795)
Goat Anti-Rabbit IgG H&L Antibody (FITC) (A294887)
Goat Anti-Rabbit IgG H&L Antibody (HRP) (A294888)
See all Anti-Rabbit IgG Secondaries →
Disclaimer
This product is for research use only. It is not intended for diagnostic or therapeutic use.
Scientific Validation Data
Validation Data
(2)
Enlarge Image
Anti-RIP3 Antibody (A48297)
Western blot analysis of RIP3 in mouse 3T3 whole cell lysate in the absence (A) or presence (B) of blocking peptide with RIP3 antibody at 1 µg/mL.
Enlarge Image
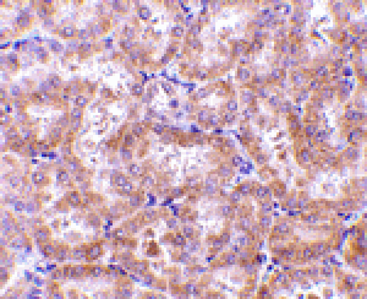
Immunohistochemistry - Anti-RIP3 Antibody (A48297)
Immunohistochemistry of RIP3 in rat kidney tissue with RIP3 antibody at 5 µg/mL.
Publishing research using Anti-RIP3 Antibody (A48297)? Please
let us know
so that we can list the citation on this page.
Alternative products to Anti-RIP3 Antibody (A48297)
(6)
A17064
Anti-RIP3 Antibody
Rabbit polyclonal antibody to RIP3 for WB, IHC and ICC/IF.
(5)
A329805
Anti-RIP3 Antibody
Rabbit polyclonal antibody to RIP3 for IHC-P, ICC/IF and ELISA.
A54743
Anti-RIPK3 Antibody
Rabbit polyclonal antibody to RIPK3 for ELISA, IMM and WB.
A43356
Anti-RIPK3 Antibody
Rabbit polyclonal antibody to RIPK3 for WB, ICC/IF and IHC.
A54744
Anti-RIPK3 Antibody
Rabbit polyclonal antibody to RIPK3 for ELISA, IMM and WB.
A28997
Anti-RIPK3 Antibody
Rabbit polyclonal antibody to RIPK3 for WB.
(2)
A283221
Anti-RIP3 Antibody
Rabbit polyclonal antibody to RIP3 for WB and IHC-P.
A329806
Anti-RIP3 Antibody
Rabbit polyclonal antibody to RIP3 for IHC-P and ELISA.
A30564
Anti-RIP3 Antibody
Rabbit polyclonal antibody to RIP3 for WB and IHC.
(6)
A17064
Anti-RIP3 Antibody
Rabbit polyclonal antibody to RIP3 for WB, IHC and ICC/IF.
(5)
A329805
Anti-RIP3 Antibody
Rabbit polyclonal antibody to RIP3 for IHC-P, ICC/IF and ELISA.
A54743
Anti-RIPK3 Antibody
Rabbit polyclonal antibody to RIPK3 for ELISA, IMM and WB.
A43356
Anti-RIPK3 Antibody
Rabbit polyclonal antibody to RIPK3 for WB, ICC/IF and IHC.
A54744
Anti-RIPK3 Antibody
Rabbit polyclonal antibody to RIPK3 for ELISA, IMM and WB.
A28997
Anti-RIPK3 Antibody
Rabbit polyclonal antibody to RIPK3 for WB.
(2)
A283221
Anti-RIP3 Antibody
Rabbit polyclonal antibody to RIP3 for WB and IHC-P.
A329806
Anti-RIP3 Antibody
Rabbit polyclonal antibody to RIP3 for IHC-P and ELISA.
A30564
Anti-RIP3 Antibody
Rabbit polyclonal antibody to RIP3 for WB and IHC.
See all RIP3 Antibodies
Proteins predicted to interact with RIP3
Predicted protein interactions based upon String database. Revelancy score correlates with probability of interaction.
TRADD Antibodies
99.9% Relevancy Score
RIP Antibodies
99.9% Relevancy Score
MLKL Antibodies
99.9% Relevancy Score
Caspase-8 Antibodies
99.9% Relevancy Score
FADD Antibodies
99.9% Relevancy Score
TNF alpha Antibodies
99.8% Relevancy Score
ZBP1 Antibodies
99.6% Relevancy Score
FLIP Antibodies
99.2% Relevancy Score
TRIF Antibodies
98.3% Relevancy Score
Top