Primary Antibodies
Secondary Antibodies
Proteins & Peptides
ELISA Kits
About Us
Contact Us
Sign In/Register
0
ISO 9001:2015 Certified
Live Customer Support
4.5/5 on Trustpilot
100% Quality Guarantee
Home
Primary Antibodies
Relaxin 1 Antibodies
Anti-RLN1 Antibody (A46972)
Anti-RLN1 Antibody (A46972)
Overview
Specifications
Images
Enlarge Image
$430
Rabbit polyclonal antibody to RLN1 for IHC.
100% Guarantee
Price Match Guarantee
Product Size:
100µl
Quantity:
1
2
3
4
5
6
7
8
9
10
Add To Cart
Request a Quotation
Custom or Bulk Request
Shipping Information
Freight/Packing Charges:
$40
Dispatched from St. Louis, MO.
Lead Time: 6-9 business days.
Specifications
Name
Anti-RLN1 Antibody
Description
Rabbit polyclonal antibody to RLN1
Specificity
The antibody detects endogenous levels of total RLN1 protein.
Applications
IHC
Reactivity
Human
Immunogen
Fusion protein corresponding to a region derived from internal residues of human relaxin 1
Host
Rabbit
Clonality
Polyclonal
Conjugate
Unconjugated
Purification
Antigen affinity purification.
Concentration
800 µg/ml
Formulation
Rabbit IgG in pH7.4 PBS, 0.05% NaN3, 40% Glycerol.
Storage
Store at -20˚C
Synonyms
Prorelaxin H1
Suitable Secondaries
Goat Anti-Rabbit IgG H&L Antibody (AP) (A294874)
Goat Anti-Rabbit IgG H&L Antibody (Biotin) (A294795)
Goat Anti-Rabbit IgG H&L Antibody (FITC) (A294887)
Goat Anti-Rabbit IgG H&L Antibody (HRP) (A294888)
See all Anti-Rabbit IgG Secondaries →
Disclaimer
This product is for research use only. It is not intended for diagnostic or therapeutic use.
Scientific Validation Data
Validation Data
(1)
Enlarge Image
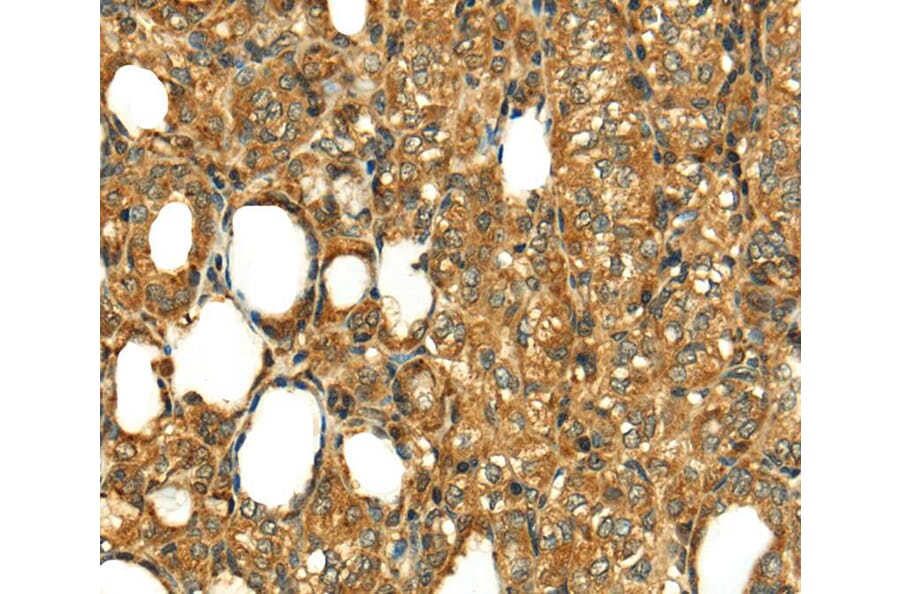
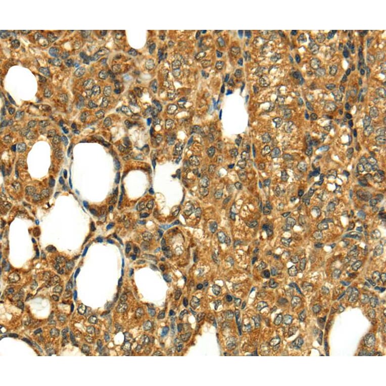
Immunohistochemistry - Anti-RLN1 Antibody (A46972)
Immunohistochemical analysis of paraffin-embedded Human thyroid cancer tissue using #40073 at dilution 1/20.
Publishing research using Anti-RLN1 Antibody (A46972)? Please
let us know
so that we can list the citation on this page.
Alternative products to Anti-RLN1 Antibody (A46972)
A54414
Anti-Relaxin 1 Antibody
Rabbit polyclonal antibody to Relaxin 1 for ELISA, IP and WB.
A88675
Anti-Relaxin 1 Antibody
Rabbit polyclonal antibody to Relaxin 1 for WB.
A54414
Anti-Relaxin 1 Antibody
Rabbit polyclonal antibody to Relaxin 1 for ELISA, IP and WB.
A88675
Anti-Relaxin 1 Antibody
Rabbit polyclonal antibody to Relaxin 1 for WB.
Proteins predicted to interact with Relaxin 1
Predicted protein interactions based upon String database. Revelancy score correlates with probability of interaction.
RXFP1 Antibodies
99.9% Relevancy Score
GPCR LGR8 Antibodies
99.4% Relevancy Score
INSL3 Antibodies
99.4% Relevancy Score
Relaxin 3 Antibodies
99.3% Relevancy Score
Relaxin 2 Antibodies
98.1% Relevancy Score
Relaxin 3 Receptor 1 Antibodies
95.6% Relevancy Score
GPCR GPR100 Antibodies
93.4% Relevancy Score
INSL4 Antibodies
92.5% Relevancy Score
Insulin Antibodies
78.1% Relevancy Score
Top