Western Blot - Anti-RNA Helicase A Antibody [ARC1033] (A306342)
Western blot analysis of extracts of various cell lines, using Anti-RNA Helicase A Antibody [ARC1033] (A306342) at 1:1,000 dilution. The secondary antibody was Goat Anti-Rabbit IgG H&L Antibody (HRP) at 1:10,000 dilution. Lysates/proteins were present at 25µg per lane. The blocking buffer used was 3% non-fat dry milk in TBST. Detection was with a ECL Basic Kit. Exposure time: 1s.
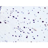
Immunohistochemistry - Anti-RNA Helicase A Antibody [ARC1033] (A306342)
Immunohistochemistry analysis of paraffin-embedded rat brain using Anti-RNA Helicase A Antibody [ARC1033] (A306342) at a dilution of 1:100 (40x lens). Perform microwave antigen retrieval with 10 mM PBS buffer pH 7.2 before commencing with IHC staining protocol.
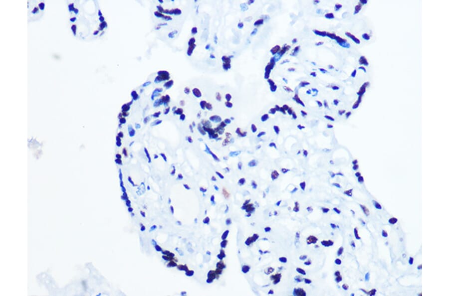
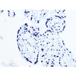
Immunohistochemistry - Anti-RNA Helicase A Antibody [ARC1033] (A306342)
Immunohistochemistry analysis of paraffin-embedded human placenta using Anti-RNA Helicase A Antibody [ARC1033] (A306342) at a dilution of 1:100 (40x lens). Perform microwave antigen retrieval with 10 mM PBS buffer pH 7.2 before commencing with IHC staining protocol.
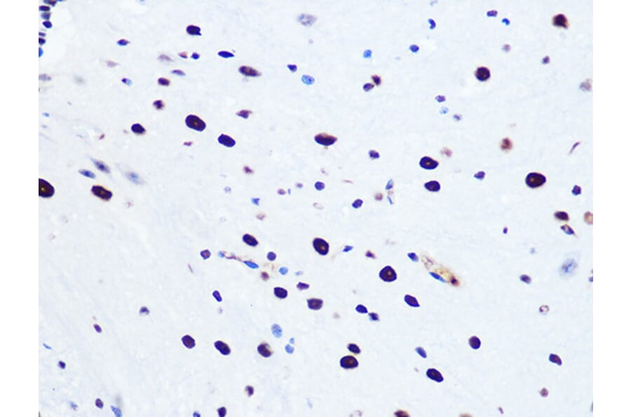
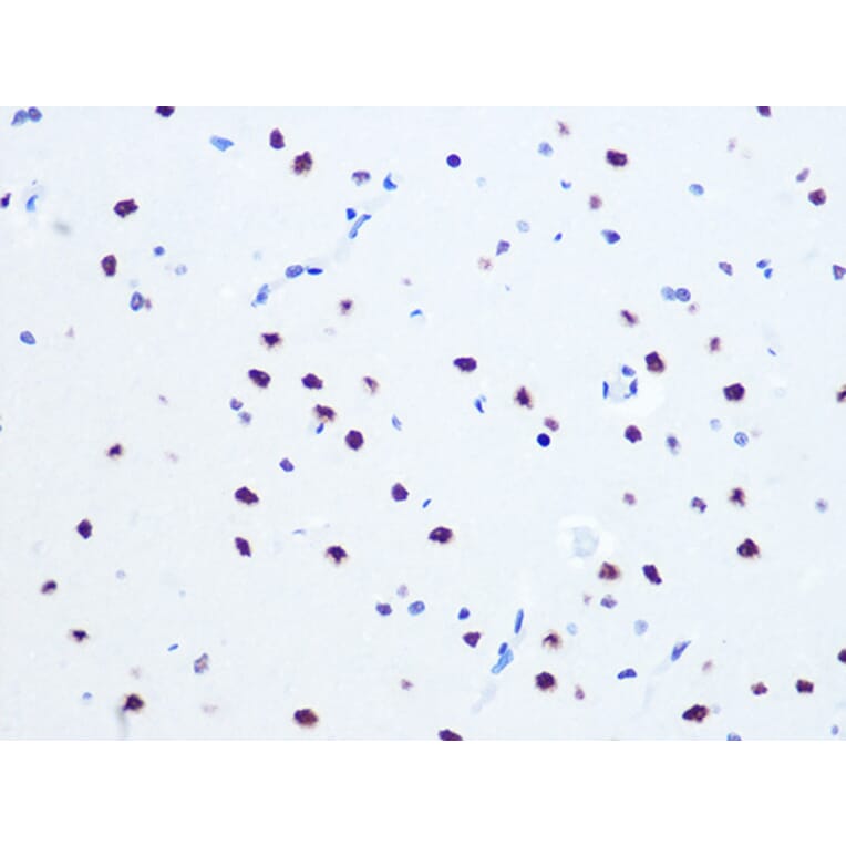
Immunohistochemistry - Anti-RNA Helicase A Antibody [ARC1033] (A306342)
Immunohistochemistry analysis of paraffin-embedded mouse spinal cord using Anti-RNA Helicase A Antibody [ARC1033] (A306342) at a dilution of 1:100 (40x lens). Perform microwave antigen retrieval with 10 mM PBS buffer pH 7.2 before commencing with IHC staining protocol.
Immunofluorescence - Anti-RNA Helicase A Antibody [ARC1033] (A306342)
Immunofluorescence analysis of NIH-3T3 cells using Anti-RNA Helicase A Antibody [ARC1033] (A306342) at a dilution of 1:100 (40x lens). DAPI was used to stain the cell nuclei (blue).
Immunofluorescence - Anti-RNA Helicase A Antibody [ARC1033] (A306342)
Immunofluorescence analysis of U-2 OS cells using Anti-RNA Helicase A Antibody [ARC1033] (A306342) at a dilution of 1:100 (40x lens). DAPI was used to stain the cell nuclei (blue).
Western Blot - Anti-RNA Helicase A Antibody [ARC1033] (A306342)
Immunoprecipitation analysis of 300µg extracts of HeLa cells using 3µg of Anti-RNA Helicase A Antibody [ARC1033] (A306342). This Western blot was performed on the immunoprecipitate using Anti-RNA Helicase A Antibody [ARC1033] (A306342) at a dilution of 1:2000.