ISO 9001:2015 Certified
Live Customer Support
4.5/5 on Trustpilot
100% Quality Guarantee

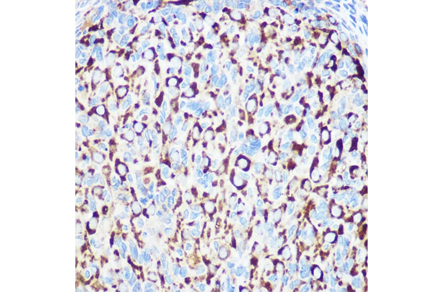
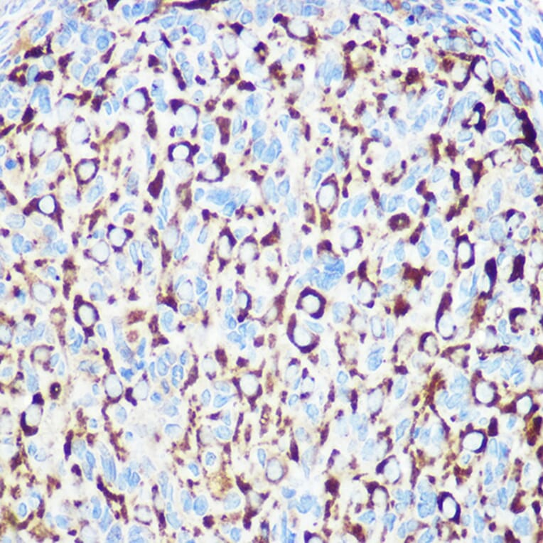
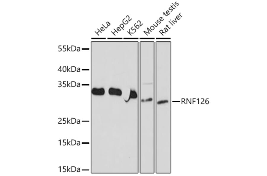
Anti-RNF126 Antibody (A308891)

Rabbit polyclonal antibody to RNF126 for WB, IHC and ICC/IF.

Shipping Information

$40
Dispatched from St. Louis, MO.
Lead Time: 7-10 business days.
Name
Anti-RNF126 Antibody
Description
Rabbit polyclonal antibody to RNF126.
Applications
WB, IHC, ICC/IF
Dilutions
WB: 1:500-1:2,000, IHC: 1:50-1:200, ICC/IF: 1:50-1:200
Reactivity
Human, Mouse, Rat
Immunogen
A synthetic peptide corresponding to a sequence within amino acids 200-300 of human RNF126 (NP_919442.1).
Sequence
TGPPPADKEKIQALPTVPVTEEHVGSGLECPVCKDDYALGERVRQLPCNHLFHDGCIVPWLEQHDSCPVCRKSLTGQNTATNPPGLTGVSFSSSSSSSSSS
Host
Rabbit
Clonality
Polyclonal
Isotype
IgG
Conjugate

Unconjugated

Purification
Affinity purification.
Concentration
Lot Specific
Molecular Weight
33 kDa
Product Form
Liquid
Formulation
Supplied in Phosphate Buffered Saline, pH 7.3, with 50% Glycerol and 0.05% Proclin 300.
Storage
Shipped at 4°C. Upon delivery aliquot and store at -20°C. Avoid freeze/thaw cycles.
Synonyms
E3 ubiquitin-protein ligase RNF126, RING finger protein 126
Disclaimer
This product is for research use only. It is not intended for diagnostic or therapeutic use.
Publishing research using Anti-RNF126 Antibody (A308891)? Please let us know so that we can list the citation on this page.

Alternative products to Anti-RNF126 Antibody (A308891)

Proteins predicted to interact with RNF126

Predicted protein interactions based upon String database. Revelancy score correlates with probability of interaction.
99.7% Relevancy Score
95.6% Relevancy Score
88.8% Relevancy Score
85.7% Relevancy Score
82.5% Relevancy Score
80.5% Relevancy Score
72.6% Relevancy Score
69.8% Relevancy Score
68.9% Relevancy Score