Primary Antibodies
Secondary Antibodies
Proteins & Peptides
ELISA Kits
About Us
Contact Us
Sign In/Register
0
ISO 9001:2015 Certified
Live Customer Support
4.5/5 on Trustpilot
100% Quality Guarantee
Home
Primary Antibodies
RNF141 Antibodies
Anti-RNF141 Antibody (A45693)
Anti-RNF141 Antibody (A45693)
Overview
Specifications
Images
Enlarge Image
Enlarge Image
$430
Product Datasheet
Rabbit polyclonal antibody to RNF141 for IHC.
100% Guarantee
Price Match Guarantee
Product Size:
100µl
Quantity:
1
2
3
4
5
6
7
8
9
10
Add To Cart
Request a Quotation
Custom or Bulk Request
Shipping Information
Freight/Packing Charges:
$40
Dispatched from St. Louis, MO.
Lead Time: 6-9 business days.
Specifications
Name
Anti-RNF141 Antibody
Description
Rabbit polyclonal antibody to RNF141
Specificity
The antibody detects endogenous levels of total RNF141 protein.
Applications
IHC
Reactivity
Human
Immunogen
Full length fusion protein of human RNF141
Host
Rabbit
Clonality
Polyclonal
Conjugate
Unconjugated
Purification
Antigen affinity purification.
Concentration
1.2 mg/mL
Formulation
Rabbit IgG in pH7.4 PBS, 0.05% NaN3, 40% Glycerol.
Storage
Shipped at 4°C. Upon delivery aliquot and store at -20°C. Avoid freeze/thaw cycles.
Synonyms
RING finger protein 141, Zinc finger protein 230, ZNF230
Suitable Secondaries
Goat Anti-Rabbit IgG H&L Antibody (AP) (A294874)
Goat Anti-Rabbit IgG H&L Antibody (Biotin) (A294795)
Goat Anti-Rabbit IgG H&L Antibody (FITC) (A294887)
Goat Anti-Rabbit IgG H&L Antibody (HRP) (A294888)
See all Anti-Rabbit IgG Secondaries →
Disclaimer
This product is for research use only. It is not intended for diagnostic or therapeutic use.
Scientific Validation Data
Validation Data
(2)
Enlarge Image
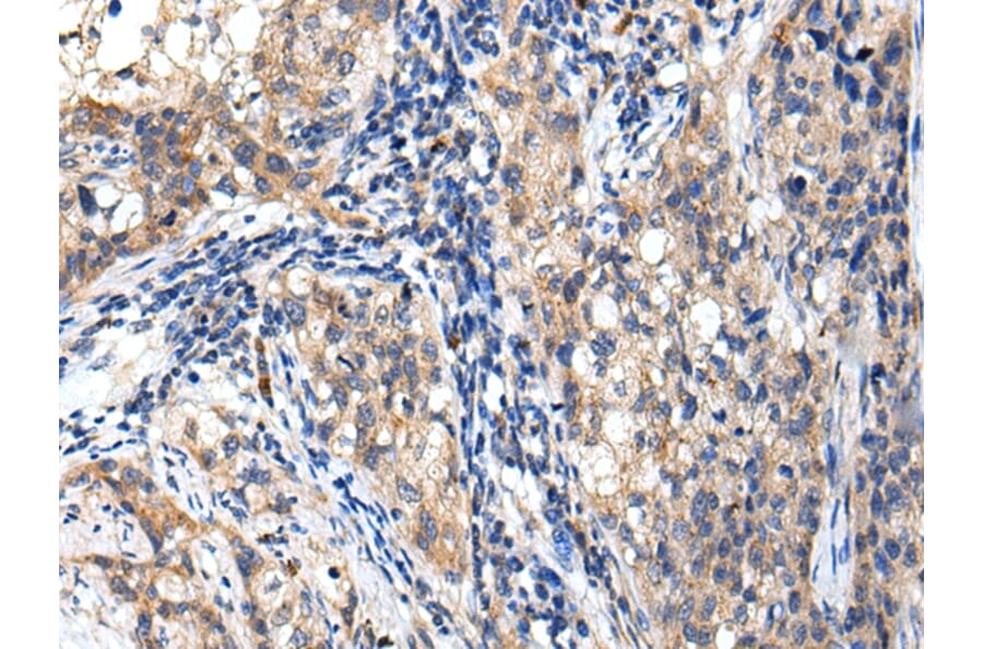
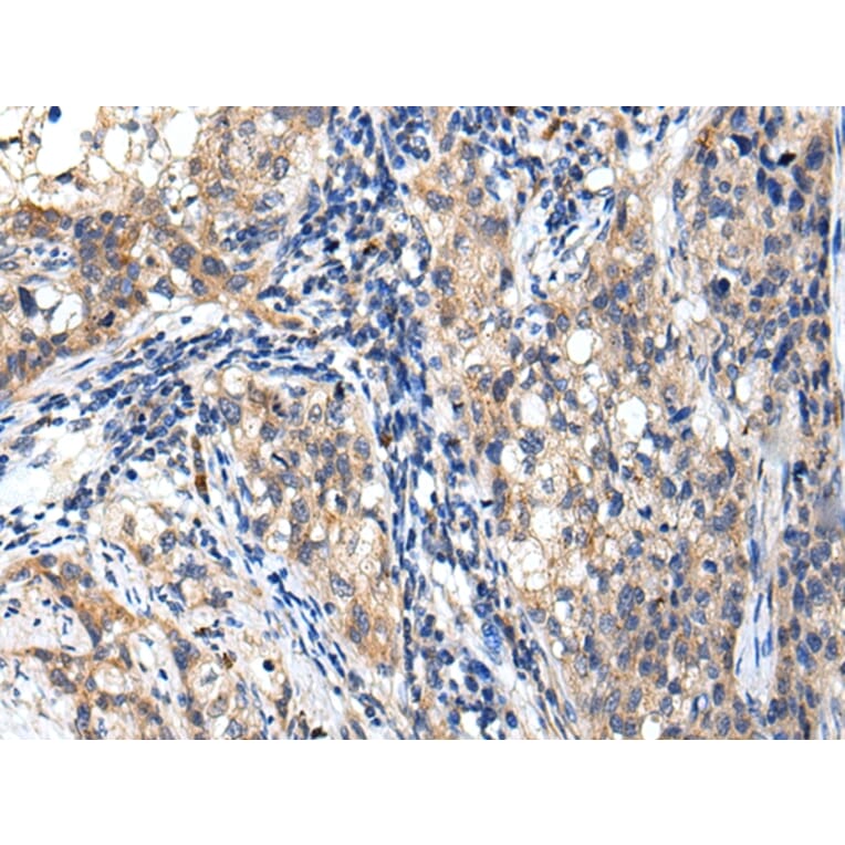
Immunohistochemistry - Anti-RNF141 Antibody (A45693)
Immunohistochemical analysis of paraffin-embedded Human prostate cancer tissue using #42992 at dilution 1/25.
Enlarge Image
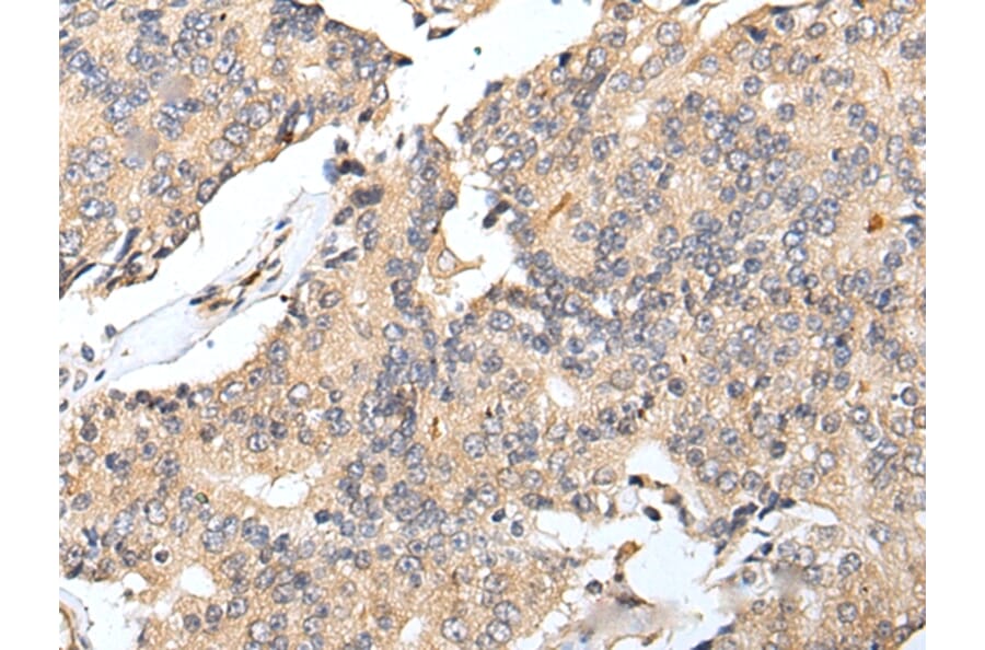
Immunohistochemistry - Anti-RNF141 Antibody (A45693)
Immunohistochemical analysis of paraffin-embedded Human lung cancer tissue using #42992 at dilution 1/25.
Publishing research using Anti-RNF141 Antibody (A45693)? Please
let us know
so that we can list the citation on this page.
Alternative products to Anti-RNF141 Antibody (A45693)
(2)
A47807
Anti-ZNF230 Antibody
Rabbit polyclonal antibody to ZNF230 for ELISA, WB and IHC.
(2)
A47807
Anti-ZNF230 Antibody
Rabbit polyclonal antibody to ZNF230 for ELISA, WB and IHC.
Proteins predicted to interact with RNF141
Predicted protein interactions based upon String database. Revelancy score correlates with probability of interaction.
SPATA4 Antibodies
44.6% Relevancy Score
Zfp219 Antibodies
43.4% Relevancy Score
Cystatin SN Antibodies
42.9% Relevancy Score
Stomatin Antibodies
42.2% Relevancy Score
TSGA2 Antibodies
40.2% Relevancy Score
GOLGA3 Antibodies
39.5% Relevancy Score
OSTF1 Antibodies
39.2% Relevancy Score
TRIM24 Antibodies
38.8% Relevancy Score
TSSK6 Antibodies
38.1% Relevancy Score
Top