ISO 9001:2015 Certified
Live Customer Support
4.5/5 on Trustpilot
100% Quality Guarantee

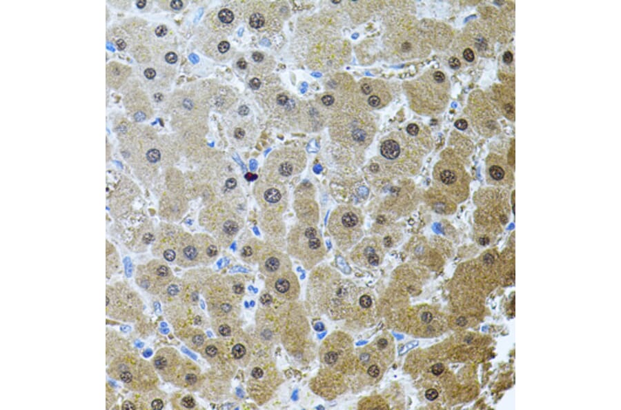
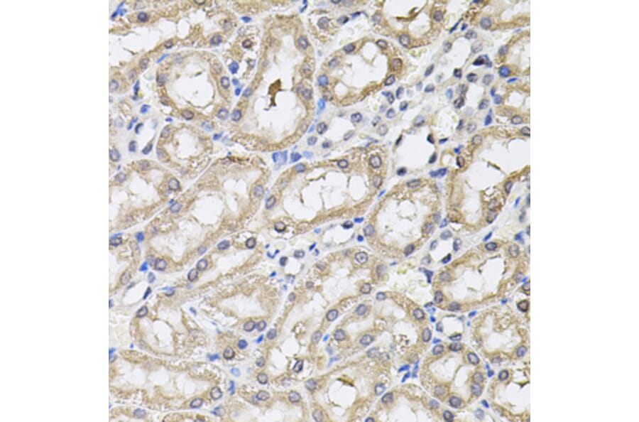
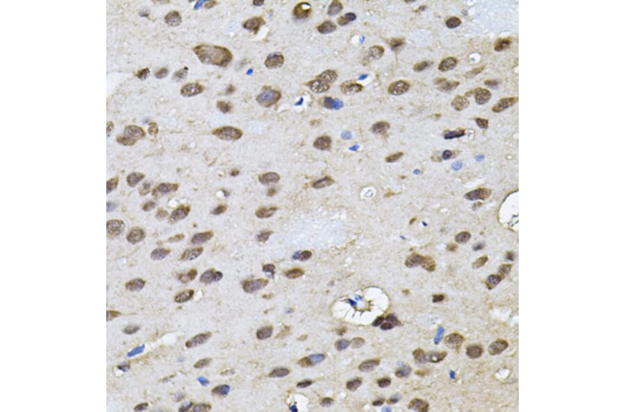
Anti-RNF166 Antibody (A16139)

Rabbit polyclonal antibody to RNF166 for WB and IHC.

Shipping Information

$40
Dispatched from St. Louis, MO.
Lead Time: 7-10 business days.
Name
Anti-RNF166 Antibody
Description
Rabbit polyclonal antibody to RNF166.
Applications
WB, IHC
Dilutions
WB: 1:500-1:2,000, IHC: 1:50-1:200
Reactivity
Human, Mouse, Rat
Immunogen
A synthetic peptide corresponding to a sequence within amino acids 100 to the C-terminus of human RNF166 (NP_849163.1).
Sequence
GCNKKVTLAKMRVHISSCLKVQEQMANCPKFVPVVPTSQPIPSNIPNRSTFACPYCGARNLDQQELVKHCVESHRSDPNRVVCPICSAMPWGDPSYKSANFLQHLLHRHKFSYDTFVDYSIDEEAAFQAALALSLSEN
Host
Rabbit
Clonality
Polyclonal
Isotype
IgG
Conjugate

Unconjugated

Purification
Affinity purification.
Concentration
Lot Specific
Molecular Weight
26 kDa
Product Form
Liquid
Formulation
Supplied in Phosphate Buffered Saline, pH 7.3, with 50% Glycerol and 0.02% Sodium Azide.
Storage
Shipped at 4°C. Upon delivery aliquot and store at -20°C. Avoid freeze/thaw cycles.
Synonyms
E3 ubiquitin-protein ligase RNF166, RING finger protein 166, RING-type E3 ubiquitin transferase RNF166
Disclaimer
This product is for research use only. It is not intended for diagnostic or therapeutic use.
Publishing research using Anti-RNF166 Antibody (A16139)? Please let us know so that we can list the citation on this page.

Alternative products to Anti-RNF166 Antibody (A16139)

Proteins predicted to interact with RNF166

Predicted protein interactions based upon String database. Revelancy score correlates with probability of interaction.
71.1% Relevancy Score
64.3% Relevancy Score
58.4% Relevancy Score
57.4% Relevancy Score
55.9% Relevancy Score
55.6% Relevancy Score
54.6% Relevancy Score
51.9% Relevancy Score
49.9% Relevancy Score