ISO 9001:2015 Certified
Live Customer Support
4.5/5 on Trustpilot
100% Quality Guarantee

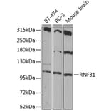
Anti-RNF31/HOIP Antibody (A87886)

Rabbit polyclonal antibody to RNF31/HOIP for WB and ICC/IF.

Shipping Information

$40
Dispatched from St. Louis, MO.
Lead Time: 7-10 business days.
Name
Anti-RNF31/HOIP Antibody
Description
Rabbit polyclonal antibody to RNF31/HOIP.
Applications
WB, ICC/IF
Dilutions
WB: 1:500-1:2,000, ICC/IF: 1:50-1:100
Reactivity
Human, Mouse
Immunogen
Recombinant fusion protein containing a sequence corresponding to amino acids 500-700 of human RNF31 (NP_060469.4).
Sequence
AAGACPEEIFSALQYSGTEVPLQWLRSELPYVLEMVAELAGQQDPGLGAFSCQEARRAWLDRHGNLDEAVEECVRTRRRKVQELQSLGFGPEEGSLQALFQHGGDVSRALTELQRQRLEPFRQRLWDSGPEPTPSWDGPDKQSLVRRLLAVYALPSWGRAELALSLLQETPRNYELGDVVEAVRHSQDRAFLRRLLAQECA
Host
Rabbit
Clonality
Polyclonal
Isotype
IgG
Conjugate

Unconjugated

Purification
Affinity purification.
Concentration
Lot Specific
Molecular Weight
120 kDa
Product Form
Liquid
Formulation
Supplied in Phosphate Buffered Saline, pH 7.3, with 50% Glycerol and 0.02% Sodium Azide.
Storage
Shipped at 4°C. Upon delivery aliquot and store at -20°C. Avoid freeze/thaw cycles.
Synonyms
E3 ubiquitin protein ligase RNF31, FLJ10111, FLJ23501, HOIL 1L interacting protein, HOIL-1-interacting protein, HOIL1L interacting protein, HOIP, RING finger protein 31, RNF31, RNF31_HUMAN, ZIBRA, Zinc in between ring finger ubiquitin associated domain, Zinc in-between-RING-finger ubiquitin-associated domain protein
Disclaimer
This product is for research use only. It is not intended for diagnostic or therapeutic use.
Publishing research using Anti-RNF31/HOIP Antibody (A87886)? Please let us know so that we can list the citation on this page.

Alternative products to Anti-RNF31/HOIP Antibody (A87886)