ISO 9001:2015 Certified
Live Customer Support
4.5/5 on Trustpilot
100% Quality Guarantee

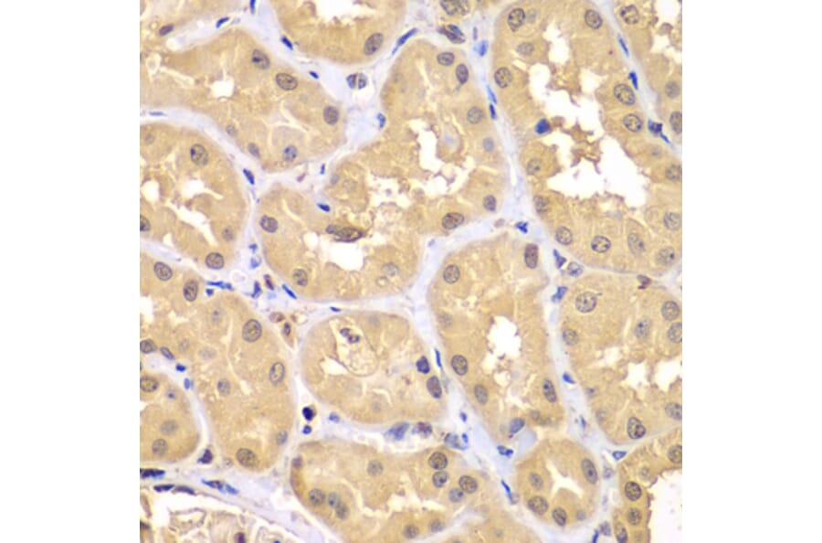
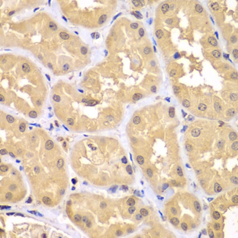
Anti-RNF36 Antibody (A90584)

Rabbit polyclonal antibody to RNF36 for WB, IHC and ICC/IF.

Shipping Information

$40
Dispatched from St. Louis, MO.
Lead Time: 7-10 business days.
Name
Anti-RNF36 Antibody
Description
Rabbit polyclonal antibody to RNF36.
Applications
WB, IHC, ICC/IF
Dilutions
WB: 1:500-1:1,000, IHC: 1:50-1:200, ICC/IF: 1:50-1:200
Reactivity
Human, Mouse
Immunogen
Recombinant fusion protein containing a sequence corresponding to amino acids 1-341 of human TRIM69 (NP_542783.2).
Sequence
MEEELAIQQGQLETTLKELQTLRNMQKEAIAAHKENKLHLQQHVSMEFLKLHQFLHSKEKDILTELREEGKALNEEMELNLSQLQEQCLLAKDMLVSIQAKTEQQNSFDFLKDITTLLHSLEQGMKVLATRELISRKLNLGQYKGPIQYMVWREMQDTLCPGLSPLTLDPKTAHPNLVLSKSQTSVWHGDIKKIMPDDPERFDSSVAVLGSRGFTSGKWYWEVEVAKKTKWTVGVVRESIIRKGSCPLTPEQGFWLLRLRNQTDLKALDLPSFSLTLTNNLDKVGIYLDYEGGQLSFYNAKTMTHIYTFSNTFMEKLYPYFCPCLNDGGENKEPLHILHPQ
Host
Rabbit
Clonality
Polyclonal
Isotype
IgG
Conjugate

Unconjugated

Purification
Affinity purification.
Concentration
Lot Specific
Molecular Weight
60 kDa
Product Form
Liquid
Formulation
Supplied in Phosphate Buffered Saline, pH 7.3, with 50% Glycerol and 0.02% Sodium Azide.
Storage
Shipped at 4°C. Upon delivery aliquot and store at -20°C. Avoid freeze/thaw cycles.
Synonyms
E3 ubiquitin-protein ligase TRIM69, RFP-like domain-containing protein trimless, RING finger protein 36, RING-type E3 ubiquitin transferase TRIM69, TRIM69, Tripartite motif-containing protein 69
Disclaimer
This product is for research use only. It is not intended for diagnostic or therapeutic use.
Publishing research using Anti-RNF36 Antibody (A90584)? Please let us know so that we can list the citation on this page.

Alternative products to Anti-RNF36 Antibody (A90584)

Proteins predicted to interact with RNF36

Predicted protein interactions based upon String database. Revelancy score correlates with probability of interaction.
76.3% Relevancy Score
66.9% Relevancy Score
63% Relevancy Score
58.7% Relevancy Score
55.3% Relevancy Score
50.6% Relevancy Score
49.9% Relevancy Score
48.6% Relevancy Score