ISO 9001:2015 Certified
Live Customer Support
4.5/5 on Trustpilot
100% Quality Guarantee

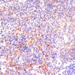
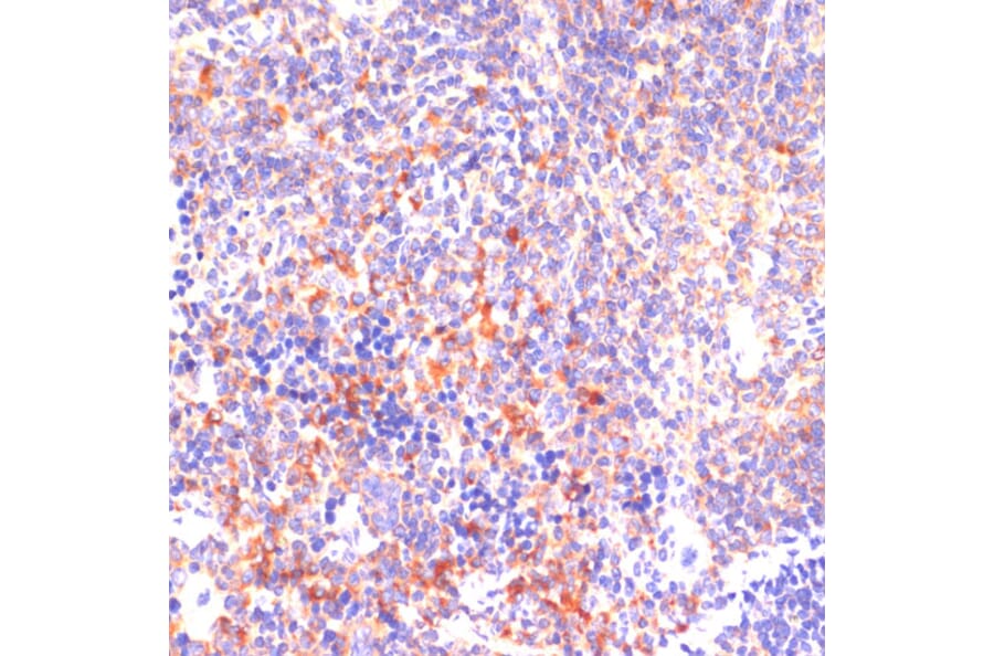
Anti-ROCK1 Antibody (A12783)

Rabbit polyclonal antibody to ROCK1 for WB and IHC.

Shipping Information

$40
Dispatched from St. Louis, MO.
Lead Time: 7-10 business days.
Name
Anti-ROCK1 Antibody
Description
Rabbit polyclonal antibody to ROCK1.
Applications
WB, IHC
Dilutions
WB: 1:500-1:1,000, IHC: 1:50-1:100
Reactivity
Human, Mouse, Rat
Immunogen
Recombinant fusion protein containing a sequence corresponding to amino acids 400-660 of human ROCK1 (NP_005397.1).
Sequence
YSNRRYLSSANPNDNRTSSNADKSLQESLQKTIYKLEEQLHNEMQLKDEMEQKCRTSNIKLDKIMKELDEEGNQRRNLESTVSQIEKEKMLLQHRINEYQRKAEQENEKRRNVENEVSTLKDQLEDLKKVSQNSQLANEKLSQLQKQLEEANDLLRTESDTAVRLRKSHTEMSKSISQLESLNRELQERNRILENSKSQTDKDYYQLQAILEAERRDRGHDSEMIGDLQARITSLQEEVKHLKHNLEKVEGERKEAQDMLN
Host
Rabbit
Clonality
Polyclonal
Isotype
IgG
Conjugate

Unconjugated

Purification
Affinity purification.
Concentration
Lot Specific
Molecular Weight
158 kDa
Product Form
Liquid
Formulation
Supplied in Phosphate Buffered Saline, pH 7.3, with 50% Glycerol and 0.02% Sodium Azide.
Storage
Shipped at 4°C. Upon delivery aliquot and store at -20°C. Avoid freeze/thaw cycles.
Synonyms
p160 ROCK-1, p160ROCK, Renal carcinoma antigen NY-REN-35, Rho-associated protein kinase 1, Rho-associated, coiled-coil-containing protein kinase 1, Rho-associated, coiled-coil-containing protein kinase I, ROCK-I
Disclaimer
This product is for research use only. It is not intended for diagnostic or therapeutic use.
Publishing research using Anti-ROCK1 Antibody (A12783)? Please let us know so that we can list the citation on this page.

Alternative products to Anti-ROCK1 Antibody (A12783)

Proteins predicted to interact with ROCK1

Predicted protein interactions based upon String database. Revelancy score correlates with probability of interaction.
99.9% Relevancy Score
99.6% Relevancy Score
98.8% Relevancy Score
96.7% Relevancy Score
96.6% Relevancy Score
95.9% Relevancy Score
95.8% Relevancy Score
95.8% Relevancy Score
95.4% Relevancy Score