ISO 9001:2015 Certified
Live Customer Support
4.5/5 on Trustpilot
100% Quality Guarantee

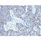
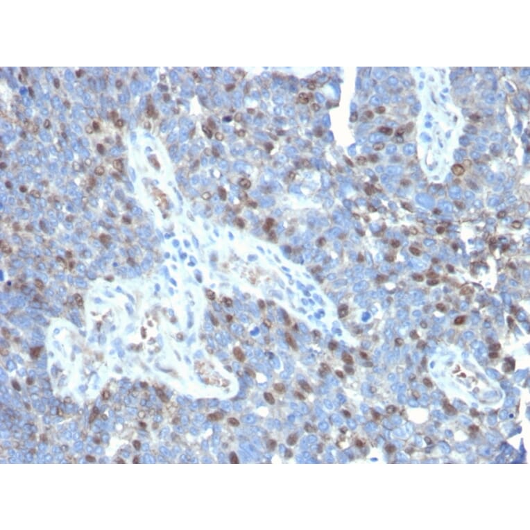
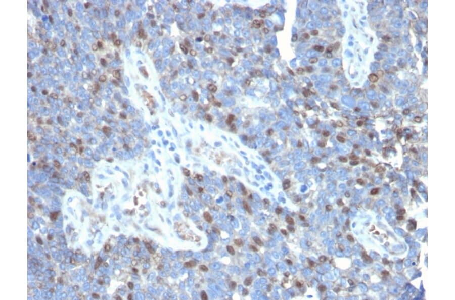
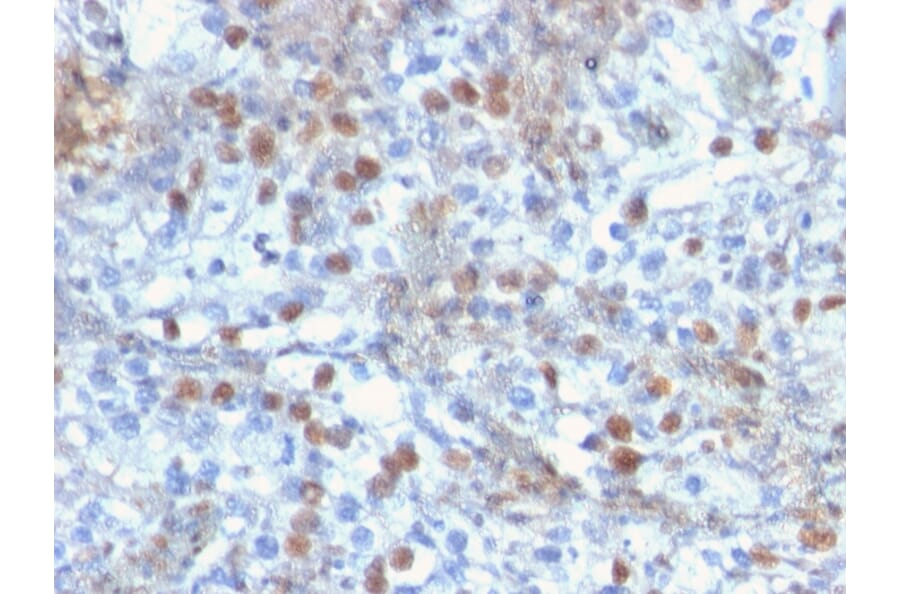
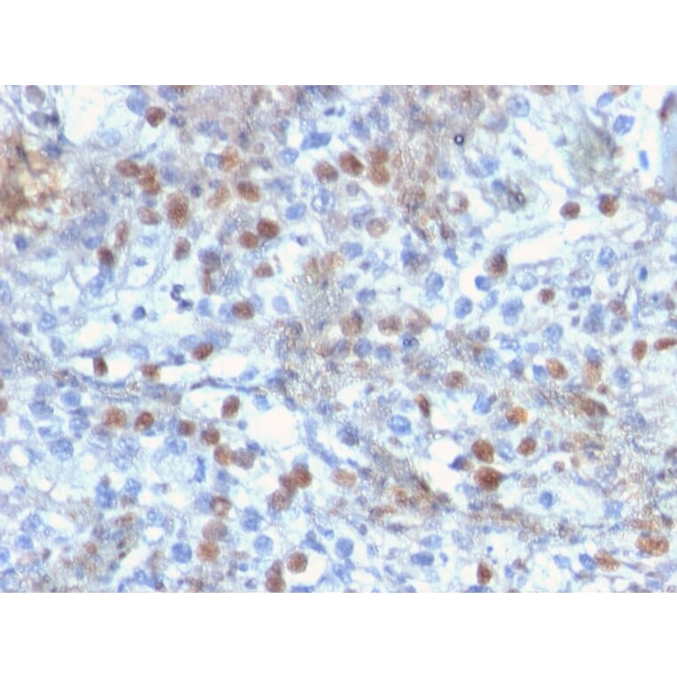
Anti-ROR gamma Antibody [RORC/2941] - BSA and Azide free (A253091)

Mouse monoclonal [RORC/2941] antibody to ROR gamma for Flow Cytometry and IHC-P.

Alternative Formats and ConjugatesAlternative Formats

Shipping Information

$40
Dispatched from St. Louis, MO.
Lead Time: 5-8 business days.
Name
Anti-ROR gamma Antibody [RORC/2941] - BSA and Azide free
Description
Mouse monoclonal [RORC/2941] antibody to ROR gamma.
Specificity
This antibody recognizes a protein of 63kDa, identified as ROR-C. Its epitope maps in between aa1-50. The nuclear orphan receptors ROR are members of the nuclear hormone receptor superfamily. Members of this family act by directly associating with DNA sequences known as hormone response elements (HREs) and typically bind DNA as either homo- or heterodimers. RORalpha and RORgamma are unique in that they bind DNA as monomers. RORalpha has multiple isoforms that share common DNA and putative ligand-binding domains, but differ in their amino terminal domains, which are generated by alternative RNA processing. RORgamma comprises a 560 amino acid protein that shares 50% amino acid identity with RORalpha and is most highly expressed in skeletal muscle. Although these proteins are considered orphan receptors, due to a lack of defined ligands, experimental evidence has shown that melatonin may be the natural ligand for these nuclear receptors.
Applications
Flow Cytometry, IHC-P
Dilutions
Flow Cytometry: 1-2 µg/million cells, IHC-P: 1-2 µg/ml
Reactivity
Human
Immunogen
Recombinant full-length human RORC protein.
Host
Mouse
Clonality
Monoclonal
Clone ID
RORC/2941
Isotype
IgG2a
Light Chains
kappa
Conjugate

Unconjugated

Purification
Protein A/G chromatography.
Concentration
1 mg/ml
Molecular Weight
63 kDa
Product Form
Liquid
Formulation
Supplied in 10mM Phosphate Buffered Saline; without Sodium Azide and carrier free.
Storage
Shipped at 4°C. Upon delivery aliquot and store at -20°C. Avoid freeze / thaw cycles.
General Notes
This monoclonal antibody is also available in a different formulation with BSA and Sodium Azide - Anti-ROR gamma Antibody [RORC/2941] (A249911).
Synonyms
NR1F3, Nuclear receptor ROR-gamma, Nuclear receptor RZR-gamma, Nuclear receptor subfamily 1 group F member 3, RAR-related orphan receptor C, Retinoid-related orphan receptor-gamma, RORC, RORG, RZRG
Disclaimer
This product is for research use only. It is not intended for diagnostic or therapeutic use.
Publishing research using Anti-ROR gamma Antibody [RORC/2941] - BSA and Azide free (A253091)? Please let us know so that we can list the citation on this page.

Alternative products to Anti-ROR gamma Antibody [RORC/2941] - BSA and Azide free (A253091)

Proteins predicted to interact with ROR gamma

Predicted protein interactions based upon String database. Revelancy score correlates with probability of interaction.
98.7% Relevancy Score
95.8% Relevancy Score
94.7% Relevancy Score
93.4% Relevancy Score
93.3% Relevancy Score
91.2% Relevancy Score
91% Relevancy Score
89.3% Relevancy Score
88.9% Relevancy Score