ISO 9001:2015 Certified
Live Customer Support
4.5/5 on Trustpilot
100% Quality Guarantee

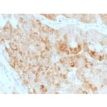
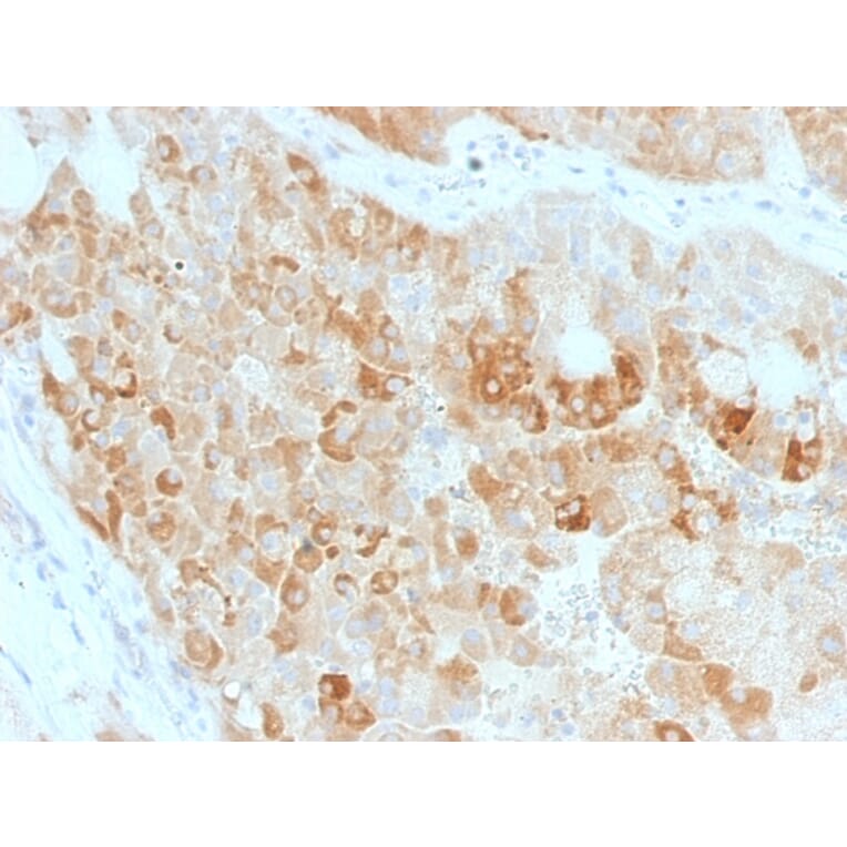
Anti-ROR2 Antibody [ROR2/1911] - BSA and Azide free (A252720)

Mouse monoclonal [ROR2/1911] antibody to ROR2 for IHC-P.

Alternative Formats and ConjugatesAlternative Formats

Shipping Information

$40
Dispatched from St. Louis, MO.
Lead Time: 5-8 business days.
Name
Anti-ROR2 Antibody [ROR2/1911] - BSA and Azide free
Description
Mouse monoclonal [ROR2/1911] antibody to ROR2.
Specificity
ROR2 (receptor tyrosine kinase-like orphan receptor 2), also known as neurotrophic tyrosine kinase receptor-related 2 (NTRKR2), is a single pass transmembrane tyrosine-protein kinase receptor. It contains a cytoplasmic tyrosine kinase domain, distally located serine-threonine-rich domains, an extracellular immunoglobulin-like domain, a cysteine-rich domain and a kringle domain. ROR2 is important for skeletal and endocrine development and is required for cartilage and growth plate development. It promotes the differentiation of osteoblasts and plays an important role in the early formation of chondrocytes. ROR2 sequesters and associates with Dlxin-1 affecting the transcriptional function of Msx-2. ROR2 also interacts with canoncial Wnt-1 and Wnt-3, regulating their signaling pathways. Defects in ROR2 can result in the autosomal dominant skeletal disorder, brachydactyly type B1, or the autosomal recessive skeletal disorder, Robinow syndrome.
Applications
IHC-P
Dilutions
IHC-P: 1-2 µg/ml
Reactivity
Human
Immunogen
Human cultured keratinocytes.
Host
Mouse
Clonality
Monoclonal
Clone ID
ROR2/1911
Isotype
IgG
Conjugate

Unconjugated

Purification
Protein A/G chromatography.
Concentration
1 mg/ml
Molecular Weight
120 kDa
Product Form
Liquid
Formulation
Supplied in 10mM Phosphate Buffered Saline; without Sodium Azide and carrier free.
Storage
Shipped at 4°C. Upon delivery aliquot and store at -20°C. Avoid freeze / thaw cycles.
General Notes
This monoclonal antibody is also available in a different formulation with BSA and Sodium Azide - Anti-ROR2 Antibody [ROR2/1911] (A249540).
Synonyms
Neurotrophic tyrosine kinase, receptor-related 2, NTRKR2, Tyrosine-protein kinase transmembrane receptor ROR2
Isotype Controls
Disclaimer
This product is for research use only. It is not intended for diagnostic or therapeutic use.
Publishing research using Anti-ROR2 Antibody [ROR2/1911] - BSA and Azide free (A252720)? Please let us know so that we can list the citation on this page.

Alternative products to Anti-ROR2 Antibody [ROR2/1911] - BSA and Azide free (A252720)

Proteins predicted to interact with ROR2

Predicted protein interactions based upon String database. Revelancy score correlates with probability of interaction.
99.8% Relevancy Score
92.5% Relevancy Score
90.5% Relevancy Score
89% Relevancy Score
87.1% Relevancy Score
84.7% Relevancy Score
82.1% Relevancy Score
81.9% Relevancy Score
80.8% Relevancy Score