ISO 9001:2015 Certified
Live Customer Support
4.5/5 on Trustpilot
100% Quality Guarantee

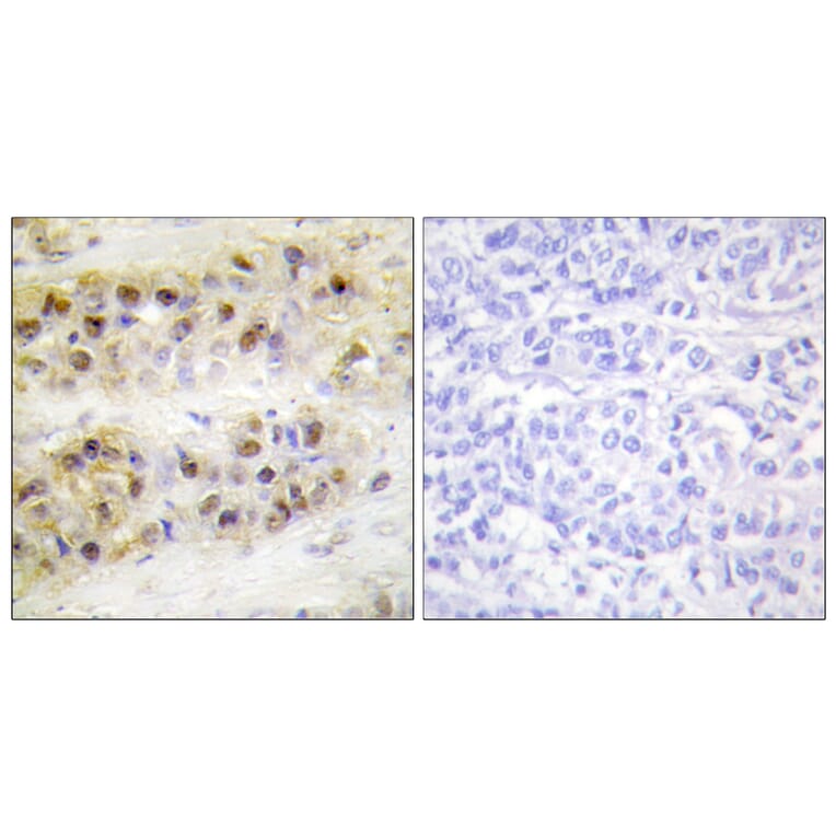
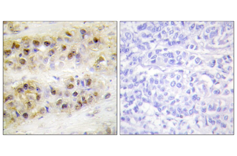
Anti-RORA Antibody (A99855)

Rabbit polyclonal antibody to RORA for WB, IHC, IF and ELISA.

Shipping Information

$40
Dispatched from St. Louis, MO.
Lead Time: 6-8 business days.
Name
Anti-RORA Antibody
Description
Rabbit polyclonal antibody to RORA.
Applications
WB, IHC, IF, ELISA
Dilutions
WB: 1:500~1:1000, IHC: 1:50~1:100, ELISA: 1:40000
Reactivity
Human, Monkey
Cross Reactivity
No reported cross-reactivity.
Immunogen
Synthetic peptide derived from human RORA (amino acids 6-55).
Host
Rabbit
Clonality
Polyclonal
Isotype
IgG
Conjugate

Unconjugated

Purification
Purified from rabbit serum by antigen affinity chromatography using the immunizing peptide.
Molecular Weight
63kDa
Product Form
Liquid
Formulation
Supplied in Phosphate Buffered Saline (without Mg2+ and Ca2+), pH 7.4, with 150mM NaCl, 0.02% Sodium Azide, and 50% Glycerol.
Storage
Shipped at 4°C. Upon delivery aliquot and store at -20°C. Avoid freeze / thaw cycles.
Synonyms
NR1F1, Nuclear receptor ROR-alpha, Nuclear receptor RZR-alpha, Nuclear receptor subfamily 1 group F member 1, RAR-related orphan receptor A, Retinoid-related orphan receptor-alpha, RORA, RZRA
Disclaimer
This product is for research use only. It is not intended for diagnostic or therapeutic use.
Publishing research using Anti-RORA Antibody (A99855)? Please let us know so that we can list the citation on this page.

Alternative products to Anti-RORA Antibody (A99855)

Proteins predicted to interact with ROR alpha

Predicted protein interactions based upon String database. Revelancy score correlates with probability of interaction.
99.2% Relevancy Score
98.2% Relevancy Score
98.1% Relevancy Score
96.2% Relevancy Score
96% Relevancy Score
94.2% Relevancy Score
93.5% Relevancy Score
93.4% Relevancy Score
92.3% Relevancy Score