ISO 9001:2015 Certified
Live Customer Support
4.5/5 on Trustpilot
100% Quality Guarantee

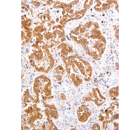
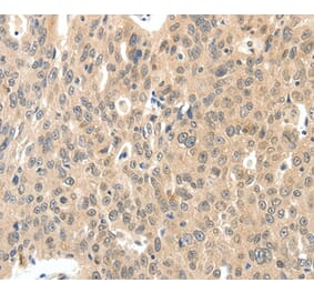
Recombinant Anti-ROS1 Antibody [ROS1/7999R] - BSA and Azide free (A316939)

Recombinant rabbit monoclonal [ROS1/7999R] antibody to ROS1 for IHC-P.

Alternative Formats and ConjugatesAlternative Formats

Shipping Information

$40
Dispatched from St. Louis, MO.
Lead Time: 5-8 business days.
Name
Anti-ROS1 Antibody [ROS1/7999R] - BSA and Azide free
Description
Recombinant rabbit monoclonal [ROS1/7999R] antibody to ROS1.
Specificity
ROS1, an orphan receptor tyrosine kinase of the insulin receptor family, was initially identified as a homolog of v-ros from the UR2 sarcoma virus. ROS1 consists of a large extracellular domain that is composed of six fibronectin repeats, a transmembrane domain, and an intracellular kinase domain. While the function of ROS1 is undefined, it has been shown to play an important role in differentiation of epididymal epithelium. The first oncogenic fusion of ROS1, FIG-ROS1, was initially identified by research studies in glioblastoma. Investigators have found additional oncogenic ROS1 fusion proteins in NSCLC (at a frequency of ~1.6%), where the ROS1 kinase domain is fused to the amino-terminal region of a number of different proteins, including CD74 and SLC34A2.
Applications
IHC-P
Positive Control
Human brain, lung carcinoma or primary glioblastoma.
Dilutions
IHC: 1-2 µg/ml
Reactivity
Human
Immunogen
Recombinant fragment corresponding to cytoplasmic domain of human ROS1 protein.
Host
Rabbit
Clonality
Monoclonal
Clone ID
ROS1/7999R
Isotype
IgG
Light Chains
kappa
Conjugate

Unconjugated

Purification
Protein A/G chromatography.
Concentration
1 mg/ml
Molecular Weight
264 kDa
Product Form
Liquid
Formulation
Supplied in 10mM Phosphate Buffered Saline; without Sodium Azide and carrier free.
Storage
Shipped at 4°C. Upon delivery aliquot and store at -20°C. Avoid freeze / thaw cycles.
Synonyms
c-Ros receptor tyrosine kinase, MCF3, Proto-oncogene c-Ros, Proto-oncogene c-Ros-1, Proto-oncogene tyrosine-protein kinase ROS, Receptor tyrosine kinase c-ros oncogene 1, ROS
Disclaimer
This product is for research use only. It is not intended for diagnostic or therapeutic use.
Publishing research using Recombinant Anti-ROS1 Antibody [ROS1/7999R] - BSA and Azide free (A316939)? Please let us know so that we can list the citation on this page.

Alternative products to Anti-ROS1 Antibody [ROS1/7999R] - BSA and Azide free (A316939)

Proteins predicted to interact with ROS1

Predicted protein interactions based upon String database. Revelancy score correlates with probability of interaction.
92.5% Relevancy Score
91.5% Relevancy Score
90.7% Relevancy Score
86.2% Relevancy Score
84.4% Relevancy Score
84.1% Relevancy Score
78.4% Relevancy Score
77.6% Relevancy Score
76.9% Relevancy Score