Primary Antibodies
Secondary Antibodies
Proteins & Peptides
ELISA Kits
About Us
Contact Us
Sign In/Register
0
ISO 9001:2015 Certified
Live Customer Support
4.5/5 on Trustpilot
100% Quality Guarantee
Home
Primary Antibodies
RP105 Antibodies
Anti-RP105 Antibody (A47886)
Anti-RP105 Antibody (A47886)
Overview
Specifications
Images
Enlarge Image
Enlarge Image
$780
Product Datasheet
Rabbit polyclonal antibody to RP105 for ELISA, WB and IHC.
100% Guarantee
Price Match Guarantee
Product Size:
100µl
Quantity:
1
2
3
4
5
6
7
8
9
10
Add To Cart
Request a Quotation
Custom or Bulk Request
Shipping Information
Freight/Packing Charges:
$40
Dispatched from St. Louis, MO.
Lead Time: 6-9 business days.
Specifications
Name
Anti-RP105 Antibody
Description
Rabbit polyclonal antibody to RP105
Applications
ELISA
,
WB
,
IHC
Reactivity
Human, Mouse
Immunogen
Raised against a 14 amino acid peptide from near the center of human RP105.
Host
Rabbit
Clonality
Polyclonal
Conjugate
Unconjugated
Purification
Affinity chromatography purified via peptide column
Formulation
Supplied in phosphate-buffered saline with 0.02% Sodium Azide.
Storage
Shipped at 4°C. Upon delivery aliquot and store at -20°C. Avoid freeze/thaw cycles.
Synonyms
CD180, CD180 antigen, LY64, Lymphocyte antigen 64, Radioprotective 105 kDa protein
Suitable Secondaries
Goat Anti-Rabbit IgG H&L Antibody (AP) (A294874)
Goat Anti-Rabbit IgG H&L Antibody (Biotin) (A294795)
Goat Anti-Rabbit IgG H&L Antibody (FITC) (A294887)
Goat Anti-Rabbit IgG H&L Antibody (HRP) (A294888)
See all Anti-Rabbit IgG Secondaries →
Disclaimer
This product is for research use only. It is not intended for diagnostic or therapeutic use.
Scientific Validation Data
Validation Data
(2)
Enlarge Image
Anti-RP105 Antibody (A47886)
Western blot analysis of RP105 in human spleen tissue lysate with RP105 antibody at (A) 0.5 and (B) 1 µg/mL.
Enlarge Image
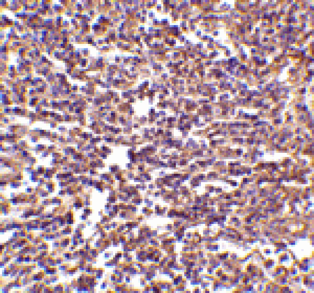
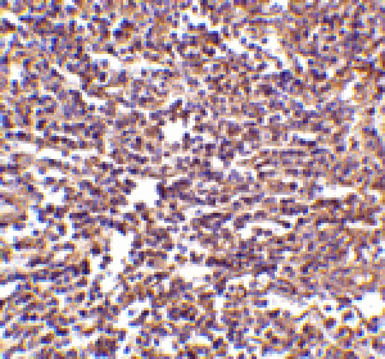
Immunohistochemistry - Anti-RP105 Antibody (A47886)
Immunohistochemistry of RP105 in human spleen tissue with RP105 antibody at 2 µg/mL.
Publishing research using Anti-RP105 Antibody (A47886)? Please
let us know
so that we can list the citation on this page.
Alternative products to Anti-RP105 Antibody (A47886)
(2)
A47884
Anti-RP105 Antibody
Rabbit polyclonal antibody to RP105 for ELISA, WB and IHC.
(2)
A40658
Anti-CD180 Antibody
Rabbit polyclonal antibody to CD180 for ELISA and WB.
(2)
A85981
Anti-RP105 Antibody [G28-8] - Low endotoxin, Azide free
Mouse monoclonal [G28-8] antibody to RP105 for Flow Cytometry, IP and Functional Studies.
(2)
A47885
Anti-RP105 Antibody
Rabbit polyclonal antibody to RP105 for ELISA, WB and IHC.
(2)
A85979
Anti-RP105 Antibody [G28-8]
Mouse monoclonal [G28-8] antibody to RP105 for Flow Cytometry and IP.
A29267
Anti-CD180 Antibody
Rabbit polyclonal antibody to CD180 for WB.
(2)
A47884
Anti-RP105 Antibody
Rabbit polyclonal antibody to RP105 for ELISA, WB and IHC.
(2)
A40658
Anti-CD180 Antibody
Rabbit polyclonal antibody to CD180 for ELISA and WB.
(2)
A85981
Anti-RP105 Antibody [G28-8] - Low endotoxin, Azide free
Mouse monoclonal [G28-8] antibody to RP105 for Flow Cytometry, IP and Functional Studies.
(2)
A47885
Anti-RP105 Antibody
Rabbit polyclonal antibody to RP105 for ELISA, WB and IHC.
(2)
A85979
Anti-RP105 Antibody [G28-8]
Mouse monoclonal [G28-8] antibody to RP105 for Flow Cytometry and IP.
A29267
Anti-CD180 Antibody
Rabbit polyclonal antibody to CD180 for WB.
See all RP105 Antibodies
Proteins predicted to interact with RP105
Predicted protein interactions based upon String database. Revelancy score correlates with probability of interaction.
MD-1 Antibodies
99.9% Relevancy Score
MD2 Antibodies
92.3% Relevancy Score
TLR4 Antibodies
90.4% Relevancy Score
TLR2 Antibodies
87.1% Relevancy Score
CD19 Antibodies
64.5% Relevancy Score
BTK Antibodies
59.6% Relevancy Score
CD22 Antibodies
58.2% Relevancy Score
CD48 Antibodies
58% Relevancy Score
TLR1 Antibodies
56.8% Relevancy Score
Top