Western Blot - Anti-RPA32 / RPA2 Antibody (A13943)
Western blot analysis of extracts of various cell lines, using Anti-RPA32 / RPA2 Antibody (A13943) at 1:1,000 dilution. 293T cells were treated by UV at room temperature for 15-30 minutes. The secondary antibody was Goat Anti-Rabbit IgG H&L Antibody (HRP) at 1:10,000 dilution. Lysates/proteins were present at 25µg per lane. The blocking buffer used was 3% non-fat dry milk in TBST. Detection was with a ECL Basic Kit. Exposure time: 10s.
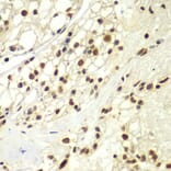
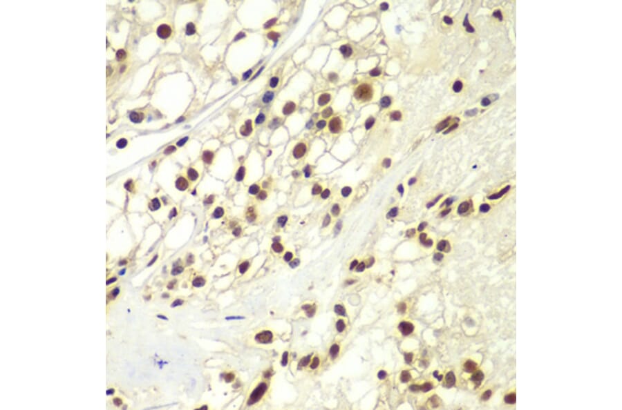
Immunohistochemistry analysis of paraffin-embedded human kidney cancer using Anti-RPA32 / RPA2 Antibody (A13943) at a dilution of 1:100 (40x lens). Perform microwave antigen retrieval with 10 mM PBS buffer pH 7.2 before commencing with IHC staining protocol.
Western Blot - Anti-RPA32 / RPA2 Antibody (A13943)
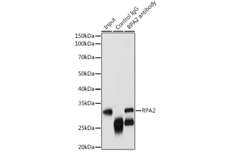
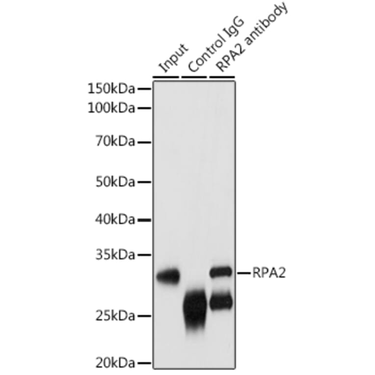
Immunoprecipitation analysis of 200µg extracts of NIH/3T3 cells using 3µg of Anti-RPA32 / RPA2 Antibody (A13943). This Western blot was performed on the immunoprecipitate using Anti-RPA32 / RPA2 Antibody (A13943) at a dilution of 1:1000.
Chromatin immunoprecipitation (ChIP) analysis of extracts of mouse spleen cells, using Anti-RPA32 / RPA2 Antibody (A13943) and Rabbit IgG. The amount of immunoprecipitated DNA was checked by quantitative PCR. Histogram was constructed by the ratios of the immunoprecipitated DNA to the input.