ISO 9001:2015 Certified
Live Customer Support
4.5/5 on Trustpilot
100% Quality Guarantee

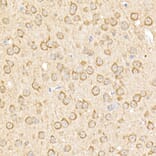
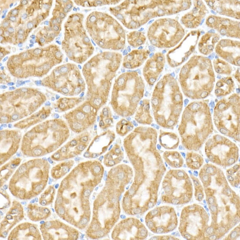
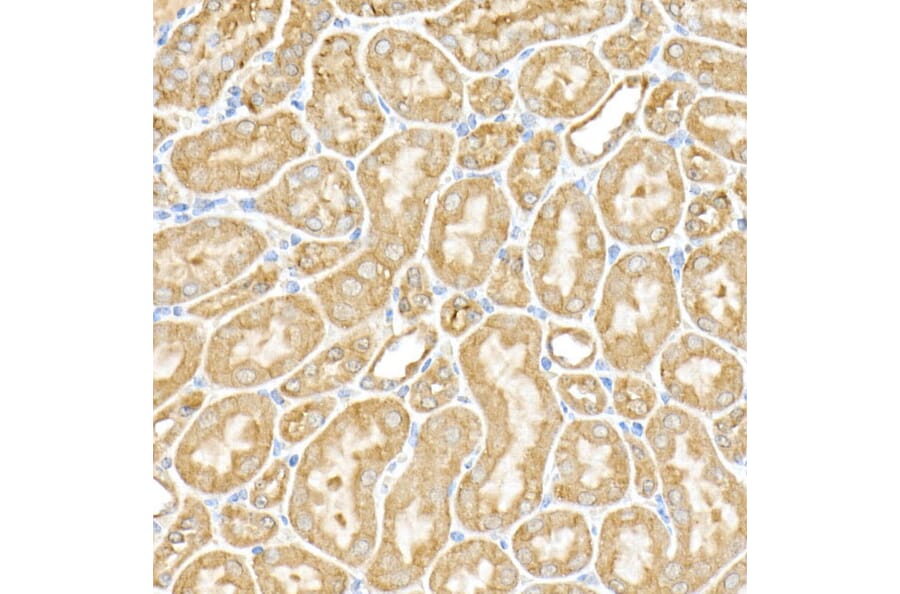
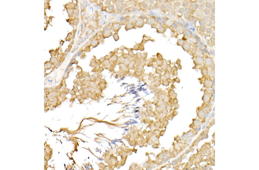
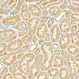
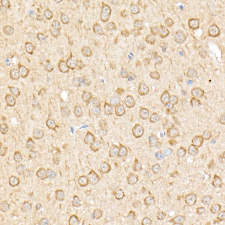
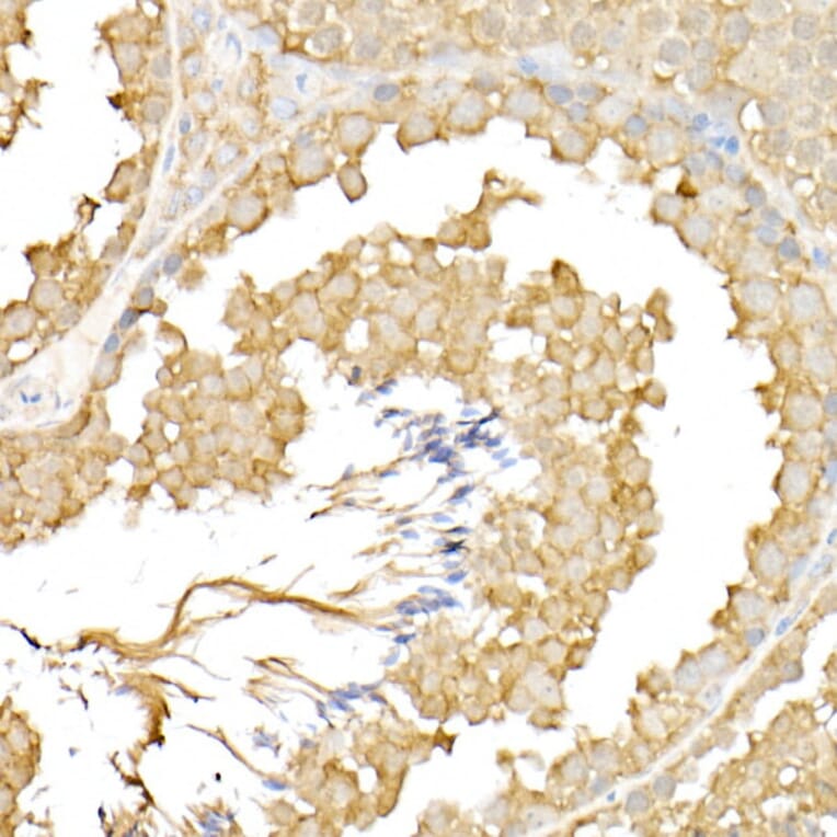
Anti-RPGR Antibody (A13696)

Rabbit polyclonal antibody to RPGR for WB, IHC and ICC/IF.

Shipping Information

$40
Dispatched from St. Louis, MO.
Lead Time: 7-10 business days.
Name
Anti-RPGR Antibody
Description
Rabbit polyclonal antibody to RPGR.
Applications
WB, IHC, ICC/IF
Dilutions
WB: 1:100-1:500, IHC: 1:50-1:200, ICC/IF: 1:50-1:200
Reactivity
Human, Mouse, Rat
Immunogen
Recombinant fusion protein containing a sequence corresponding to amino acids 1-260 of human RPGR (NP_001030025.1).
Sequence
MREPEELMPDSGAVFTFGKSKFAENNPGKFWFKNDVPVHLSCGDEHSAVVTGNNKLYMFGSNNWGQLGLGSKSAISKPTCVKALKPEKVKLAACGRNHTLVSTEGGNVYATGGNNEGQLGLGDTEERNTFHVISFFTSEHKIKQLSAGSNTSAALTEDGRLFMWGDNSEGQIGLKNVSNVCVPQQVTIGKPVSWISCGYYHSAFVTTDGELYVFGEPENGKLGLPNQLLGNHRTPQLVSEIPEKVIQVACGGEHTVVLTE
Host
Rabbit
Clonality
Polyclonal
Isotype
IgG
Conjugate

Unconjugated

Purification
Affinity purification.
Concentration
Lot Specific
Molecular Weight
113 kDa
Product Form
Liquid
Formulation
Supplied in Phosphate Buffered Saline, pH 7.3, with 50% Glycerol and 0.05% Proclin 300.
Storage
Shipped at 4°C. Upon delivery aliquot and store at -20°C. Avoid freeze/thaw cycles.
Synonyms
RP3, X-linked retinitis pigmentosa GTPase regulator, XLRP3
Disclaimer
This product is for research use only. It is not intended for diagnostic or therapeutic use.
Publishing research using Anti-RPGR Antibody (A13696)? Please let us know so that we can list the citation on this page.

Alternative products to Anti-RPGR Antibody (A13696)

Proteins predicted to interact with RPGR

Predicted protein interactions based upon String database. Revelancy score correlates with probability of interaction.
99.9% Relevancy Score
99.4% Relevancy Score
98.1% Relevancy Score
96.6% Relevancy Score
94.8% Relevancy Score
91.9% Relevancy Score
90.3% Relevancy Score
86.5% Relevancy Score