Primary Antibodies
Secondary Antibodies
Proteins & Peptides
ELISA Kits
About Us
Contact Us
Sign In/Register
0
ISO 9001:2015 Certified
Live Customer Support
4.5/5 on Trustpilot
100% Quality Guarantee
Home
Primary Antibodies
RPL7 Antibodies
Anti-RPL7 Antibody (A97924)
Anti-RPL7 Antibody (A97924)
Overview
Specifications
Images
Enlarge Image
Enlarge Image
Enlarge Image
$190
Product Datasheet
Rabbit polyclonal antibody to RPL7 for WB and ELISA.
100% Guarantee
Price Match Guarantee
Product Size:
10µg
100µg
Quantity:
1
2
3
4
5
6
7
8
9
10
Add To Cart
Request a Quotation
Custom or Bulk Request
Shipping Information
Freight/Packing Charges:
$40
Dispatched from St. Louis, MO.
Lead Time: 6-8 business days.
Specifications
Name
Anti-RPL7 Antibody
Description
Rabbit polyclonal antibody to RPL7.
Applications
WB
,
ELISA
Dilutions
WB: 1:500-1:1000, ELISA: 1:10000
Reactivity
Human, Mouse, Rat
Immunogen
Synthetic peptide derived from human RPL7 (amino acids 199-248).
Host
Rabbit
Clonality
Polyclonal
Isotype
IgG
Conjugate
Unconjugated
Purification
Purified from rabbit serum by antigen affinity chromatography using the immunizing peptide.
Molecular Weight
29kDa
Product Form
Liquid
Formulation
Supplied in Phosphate Buffered Saline (without Mg2+ and Ca2+), pH 7.4, with 150mM NaCl, 0.02% Sodium Azide, and 50% Glycerol.
Storage
Shipped at 4°C. Upon delivery aliquot and store at -20°C. Avoid freeze / thaw cycles.
Synonyms
60S ribosomal protein L7, Large ribosomal subunit protein uL30
Isotype Controls
Rabbit IgG (A82272)
Rabbit IgG (A17360)
Suitable Secondaries
Goat Anti-Rabbit IgG H&L Antibody (AP) (A294874)
Goat Anti-Rabbit IgG H&L Antibody (Biotin) (A294795)
Goat Anti-Rabbit IgG H&L Antibody (FITC) (A294887)
Goat Anti-Rabbit IgG H&L Antibody (HRP) (A294888)
See all Anti-Rabbit IgG Secondaries →
Disclaimer
This product is for research use only. It is not intended for diagnostic or therapeutic use.
Scientific Validation Data
Validation Data
(3)
Enlarge Image
Western Blot - Anti-RPL7 Antibody (A97924)
Western blot analysis of lysates from 293 and HeLa cells using Anti-RPL7 Antibody. The right hand lane represents a negative control, where the antibody is blocked by the immunising peptide.
Enlarge Image
Western Blot - Anti-RPL7 Antibody (A97924)
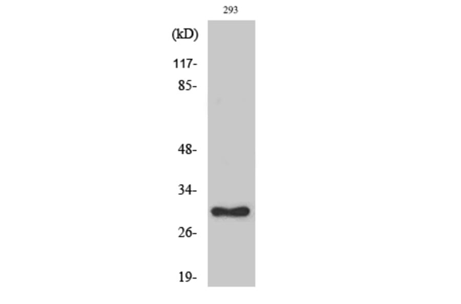
Western blot analysis of various cells using Anti-RPL7 Antibody.
Enlarge Image
Western Blot - Anti-RPL7 Antibody (A97924)
Western blot analysis of customer's(cat sample) using Anti-RPL7 Antibody.
Publishing research using Anti-RPL7 Antibody (A97924)? Please
let us know
so that we can list the citation on this page.
Alternative products to Anti-RPL7 Antibody (A97924)
(5)
A89107
Anti-RPL7 Antibody
Rabbit polyclonal antibody to RPL7 for WB, IHC and ICC/IF.
(2)
A27186
Anti-RPL7 (N248) Antibody
Rabbit polyclonal antibody to RPL7 (N248) for WB and IHC.
A97925
Anti-RPL7 Antibody
Rabbit polyclonal antibody to RPL7 for WB and ELISA.
(5)
A89107
Anti-RPL7 Antibody
Rabbit polyclonal antibody to RPL7 for WB, IHC and ICC/IF.
(2)
A27186
Anti-RPL7 (N248) Antibody
Rabbit polyclonal antibody to RPL7 (N248) for WB and IHC.
A97925
Anti-RPL7 Antibody
Rabbit polyclonal antibody to RPL7 for WB and ELISA.
Proteins predicted to interact with RPL7
Predicted protein interactions based upon String database. Revelancy score correlates with probability of interaction.
RPS13 Antibodies
99.9% Relevancy Score
RPS3A Antibodies
99.9% Relevancy Score
RPS3 Antibodies
99.9% Relevancy Score
FAU Antibodies
99.9% Relevancy Score
RPL27 Antibodies
99.9% Relevancy Score
RPL22 Antibodies
99.9% Relevancy Score
RPL32 Antibodies
99.9% Relevancy Score
RPLP0 Antibodies
99.9% Relevancy Score
RPS9 Antibodies
99.9% Relevancy Score
Top