ISO 9001:2015 Certified
Live Customer Support
4.5/5 on Trustpilot
100% Quality Guarantee

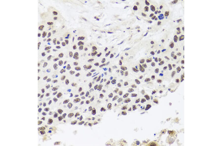
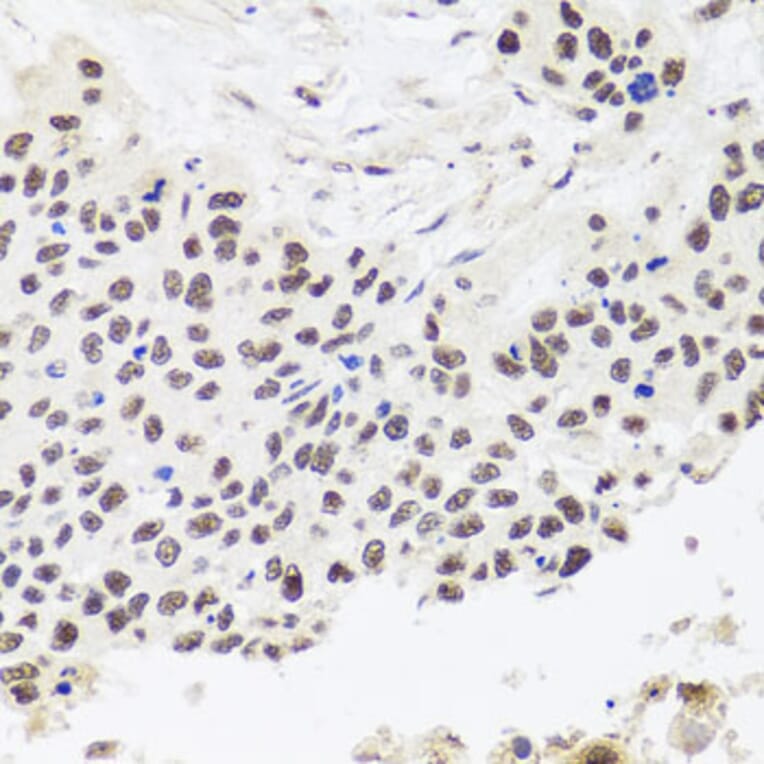
Anti-RPP30 Antibody (A16937)

Rabbit polyclonal antibody to RPP30 for WB, IHC and ICC/IF.

Shipping Information

$40
Dispatched from St. Louis, MO.
Lead Time: 7-10 business days.
Name
Anti-RPP30 Antibody
Description
Rabbit polyclonal antibody to RPP30.
Applications
WB, IHC, ICC/IF
Dilutions
WB: 1:500-1:2,000, IHC: 1:100-1:200, ICC/IF: 1:50-1:200
Reactivity
Human, Mouse, Rat
Immunogen
Recombinant fusion protein containing a sequence corresponding to amino acids 1-268 of human RPP30 (NP_006404.1).
Sequence
MAVFADLDLRAGSDLKALRGLVETAAHLGYSVVAINHIVDFKEKKQEIEKPVAVSELFTTLPIVQGKSRPIKILTRLTIIVSDPSHCNVLRATSSRARLYDVVAVFPKTEKLFHIACTHLDVDLVCITVTEKLPFYFKRPPINVAIDRGLAFELVYSPAIKDSTMRRYTISSALNLMQICKGKNVIISSAAERPLEIRGPYDVANLGLLFGLSESDAKAAVSTNCRAALLHGETRKTAFGIISTVKKPRPSEGDEDCLPASKKAKCEG
Host
Rabbit
Clonality
Polyclonal
Isotype
IgG
Conjugate

Unconjugated

Purification
Affinity purification.
Concentration
Lot Specific
Molecular Weight
29 kDa
Product Form
Liquid
Formulation
Supplied in Phosphate Buffered Saline, pH 7.3, with 50% Glycerol and 0.02% Sodium Azide.
Storage
Shipped at 4°C. Upon delivery aliquot and store at -20°C. Avoid freeze/thaw cycles.
Synonyms
Ribonuclease P protein subunit p30, RNase P subunit 2, RNaseP protein p30, RNASEP2
Disclaimer
This product is for research use only. It is not intended for diagnostic or therapeutic use.
Publishing research using Anti-RPP30 Antibody (A16937)? Please let us know so that we can list the citation on this page.

Proteins predicted to interact with RPP30

Predicted protein interactions based upon String database. Revelancy score correlates with probability of interaction.
99.9% Relevancy Score
99.9% Relevancy Score
99.9% Relevancy Score
99.9% Relevancy Score
99.9% Relevancy Score
99.9% Relevancy Score
98.9% Relevancy Score
95.6% Relevancy Score
94.2% Relevancy Score