Primary Antibodies
Secondary Antibodies
Proteins & Peptides
ELISA Kits
About Us
Contact Us
Sign In/Register
0
ISO 9001:2015 Certified
Live Customer Support
4.5/5 on Trustpilot
100% Quality Guarantee
Home
Primary Antibodies
Nogo Antibodies
Anti-RTN4 Antibody (A38803)
Anti-RTN4 Antibody (A38803)
Overview
Specifications
Images
Enlarge Image
Enlarge Image
$430
Product Datasheet
Rabbit polyclonal antibody to RTN4 for WB and IHC.
100% Guarantee
Price Match Guarantee
Product Size:
100µl
Quantity:
1
2
3
4
5
6
7
8
9
10
Add To Cart
Request a Quotation
Custom or Bulk Request
Shipping Information
Freight/Packing Charges:
$40
Dispatched from St. Louis, MO.
Lead Time: 6-9 business days.
Specifications
Name
Anti-RTN4 Antibody
Description
Rabbit polyclonal antibody to RTN4
Specificity
The antibody detects endogenous levels of total RTN4 protein.
Applications
WB
,
IHC
Reactivity
Human, Mouse
Immunogen
Synthetic peptide corresponding to residues near the C terminal of human Reticulon 4
Host
Rabbit
Clonality
Polyclonal
Conjugate
Unconjugated
Purification
Antigen affinity purification.
Concentration
1.3 mg/mL
Formulation
Supplied in PBS, pH 7.3, containing 0.05% sodium azide and 50% glycerol.
Storage
Shipped at 4°C. Upon delivery aliquot and store at -20°C. Avoid freeze/thaw cycles.
Synonyms
Foocen, KIAA0886, Neurite outgrowth inhibitor, Neuroendocrine-specific protein, Neuroendocrine-specific protein C homolog, Nogo protein, NSP, Reticulon-4, Reticulon-5, RTN-x
Suitable Secondaries
Goat Anti-Rabbit IgG H&L Antibody (AP) (A294874)
Goat Anti-Rabbit IgG H&L Antibody (Biotin) (A294795)
Goat Anti-Rabbit IgG H&L Antibody (FITC) (A294887)
Goat Anti-Rabbit IgG H&L Antibody (HRP) (A294888)
See all Anti-Rabbit IgG Secondaries →
Disclaimer
This product is for research use only. It is not intended for diagnostic or therapeutic use.
Scientific Validation Data
Validation Data
(2)
Enlarge Image
Anti-RTN4 Antibody (A38803)
Gel: 12% SDS-PAGE Lysate: 40ug RAW264.7 cell Primary antibody: 1/900 dilution Secondary antibody dilution: 1/8000 Exposure time: 1 minute
Enlarge Image
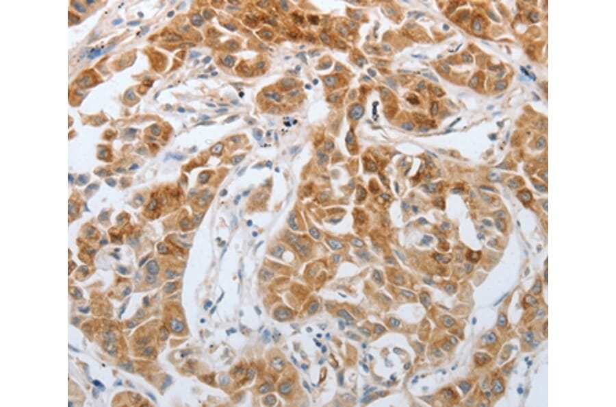
Immunohistochemistry - Anti-RTN4 Antibody (A38803)
Immunohistochemical analysis of paraffin-embedded Human lung cancer tissue using #37191 at dilution 1/40.
Publishing research using Anti-RTN4 Antibody (A38803)? Please
let us know
so that we can list the citation on this page.
Alternative products to Anti-RTN4 Antibody (A38803)
(4)
A95601
Anti-Nogo A Antibody
Rabbit polyclonal antibody to Nogo A for WB, IHC and ELISA.
(2)
A55027
Anti-Nogo Antibody
Rabbit polyclonal antibody to Nogo for ELISA, IHC, IP and WB.
(5)
A88661
Anti-Nogo Antibody
Rabbit polyclonal antibody to Nogo for WB and ICC/IF.
(2)
A324163
Anti-Nogo Antibody [NG-101] - Low endotoxin, Azide free
Recombinant human monoclonal [NG-101] antibody to Nogo for ELISA, FACS, Functional Assay and In Vivo.
(3)
A338808
Atinumab Biosimilar - Anti-Nogo Antibody - BSA and Azide free
Human monoclonal antibody to Nogo Research grade Atinumab biosimilar for ELISA, Flow Cytometry, Functional Studies and in vivo Research.
(2)
A323292
Atinumab Biosimilar - Anti-Nogo Antibody - Low endotoxin, Azide free
Recombinant human monoclonal antibody to Nogo for ELISA, FACS, Functional Assay and In Vivo.
(2)
A323644
Ozanezumab Biosimilar - Anti-Nogo Antibody - Low endotoxin, Azide free
Recombinant humanized monoclonal antibody to Nogo for ELISA, FACS, Functional Assay and In Vivo.
(2)
A338807
Ozanezumab Biosimilar - Anti-Nogo Antibody - BSA and Azide free
Humanized monoclonal antibody to Nogo Research grade Ozanezumab biosimilar for ELISA, Flow Cytometry, Functional Studies and in vivo Research.
A340820
Anti-Nogo Antibody [NG-11] Biosimilar - BSA and Azide free
Human antibody to Nogo Research grade NG-101 biosimilar for ELISA, Flow Cytometry, Functional Studies and in vivo Research.
A283222
Anti-Nogo Antibody
Rabbit polyclonal antibody to Nogo for WB and IHC-P.
(4)
A95601
Anti-Nogo A Antibody
Rabbit polyclonal antibody to Nogo A for WB, IHC and ELISA.
(2)
A55027
Anti-Nogo Antibody
Rabbit polyclonal antibody to Nogo for ELISA, IHC, IP and WB.
(5)
A88661
Anti-Nogo Antibody
Rabbit polyclonal antibody to Nogo for WB and ICC/IF.
(2)
A324163
Anti-Nogo Antibody [NG-101] - Low endotoxin, Azide free
Recombinant human monoclonal [NG-101] antibody to Nogo for ELISA, FACS, Functional Assay and In Vivo.
(3)
A338808
Atinumab Biosimilar - Anti-Nogo Antibody - BSA and Azide free
Human monoclonal antibody to Nogo Research grade Atinumab biosimilar for ELISA, Flow Cytometry, Functional Studies and in vivo Research.
(2)
A323292
Atinumab Biosimilar - Anti-Nogo Antibody - Low endotoxin, Azide free
Recombinant human monoclonal antibody to Nogo for ELISA, FACS, Functional Assay and In Vivo.
(2)
A323644
Ozanezumab Biosimilar - Anti-Nogo Antibody - Low endotoxin, Azide free
Recombinant humanized monoclonal antibody to Nogo for ELISA, FACS, Functional Assay and In Vivo.
(2)
A338807
Ozanezumab Biosimilar - Anti-Nogo Antibody - BSA and Azide free
Humanized monoclonal antibody to Nogo Research grade Ozanezumab biosimilar for ELISA, Flow Cytometry, Functional Studies and in vivo Research.
A340820
Anti-Nogo Antibody [NG-11] Biosimilar - BSA and Azide free
Human antibody to Nogo Research grade NG-101 biosimilar for ELISA, Flow Cytometry, Functional Studies and in vivo Research.
A283222
Anti-Nogo Antibody
Rabbit polyclonal antibody to Nogo for WB and IHC-P.
See all RTN4 Antibodies
Proteins predicted to interact with Nogo
Predicted protein interactions based upon String database. Revelancy score correlates with probability of interaction.
Nogo Receptor Antibodies
99.9% Relevancy Score
BACE1 Antibodies
99.4% Relevancy Score
LINGO1 Antibodies
99.1% Relevancy Score
Oligodendrocyte Myelin Glycoprotein Antibodies
99% Relevancy Score
MAG Antibodies
98.9% Relevancy Score
p75NTR Antibodies
97.7% Relevancy Score
BACE2 Antibodies
96.2% Relevancy Score
REEP5 Antibodies
95.4% Relevancy Score
NgR3 Antibodies
95.1% Relevancy Score
Top