ISO 9001:2015 Certified
Live Customer Support
4.5/5 on Trustpilot
100% Quality Guarantee

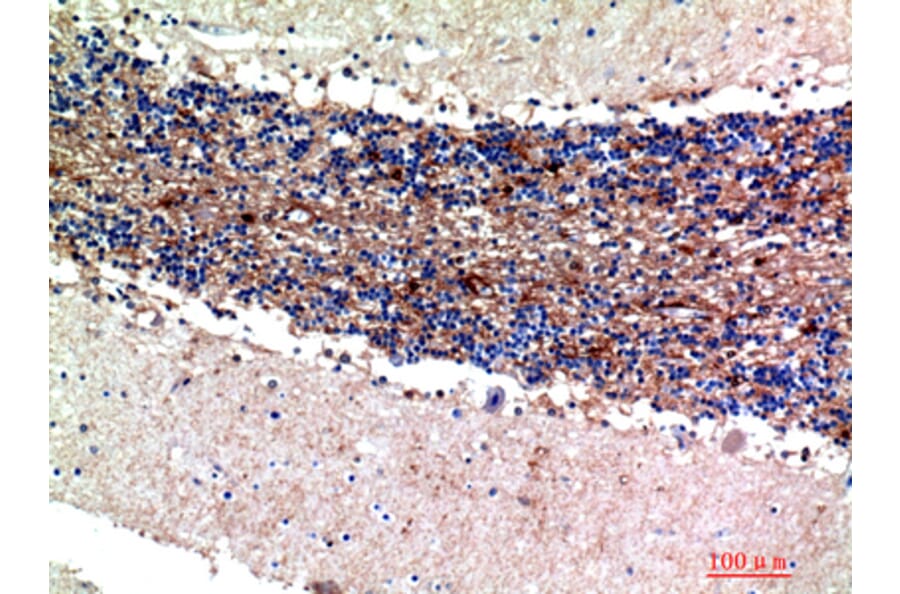
Anti-S100A1 Antibody (A95592)

This product is discontinued

Anti-S100A1 Antibody (A95592) has been discontinued and is no longer available.

View all S100 alpha Antibodies.

Name
Anti-S100A1 Antibody
Description
Rabbit polyclonal antibody to S100A1.
Applications
WB, IHC, ELISA
Dilutions
WB: 1:500-1:2000, IHC-P: 1:100-1:300, ELISA: 1:10000
Reactivity
Human, Mouse, Rat
Immunogen
Synthetic peptide derived from the Internal region of human S100A1 (amino acids 1-50).
Host
Rabbit
Clonality
Polyclonal
Isotype
IgG
Conjugate

Unconjugated

Purification
The antibody was affinity-purified from rabbit antiserum by affinity-chromatography using epitope-specific peptide.
Molecular Weight
10kDa
Product Form
Liquid
Formulation
Supplied in Phosphate Buffered Saline (without Mg2+ and Ca2+), pH 7.4, with 150mM NaCl, 0.02% Sodium Azide, and 50% Glycerol.
Storage
Shipped at 4°C. Upon delivery aliquot and store at -20°C. Avoid freeze / thaw cycles.
Disclaimer
This product is for research use only. It is not intended for diagnostic or therapeutic use.

Alternative products to Anti-S100A1 Antibody (A95592)