ISO 9001:2015 Certified
Live Customer Support
4.5/5 on Trustpilot
100% Quality Guarantee

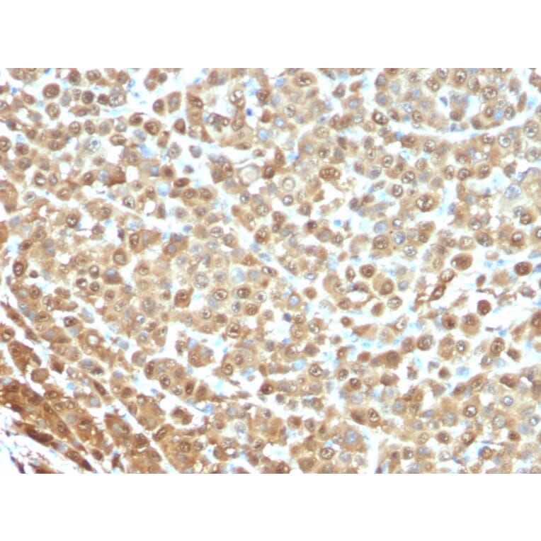
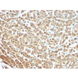
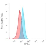
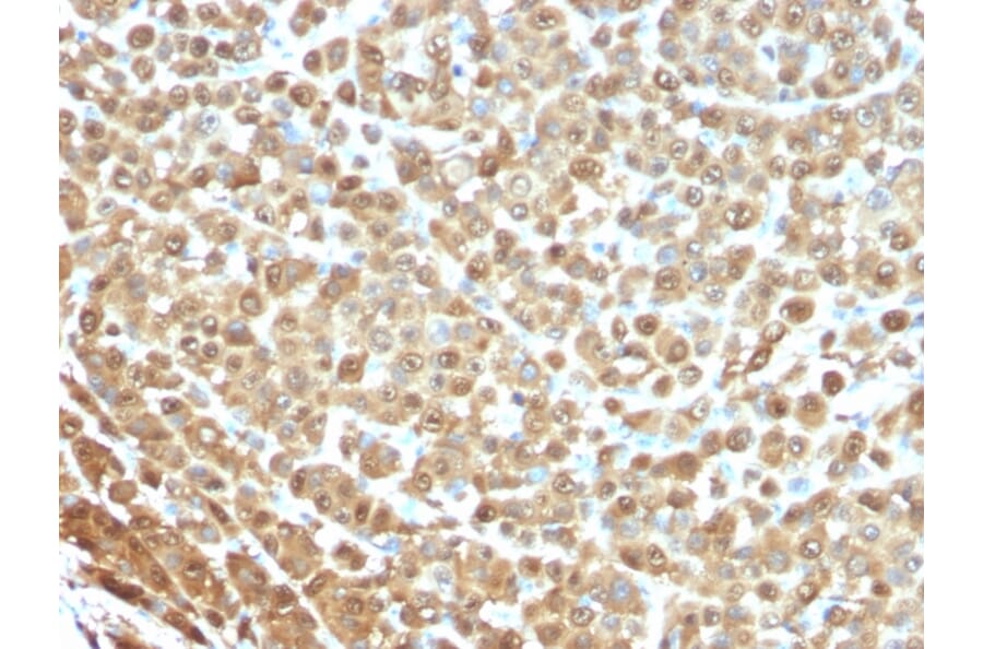
Anti-S100A1 Antibody [S1/61] - BSA and Azide free (A253097)

Mouse monoclonal [S1/61] antibody to S100A1 for IF and IHC-P.

Alternative Formats and ConjugatesAlternative Formats

Shipping Information

$40
Dispatched from St. Louis, MO.
Lead Time: 5-8 business days.
Name
Anti-S100A1 Antibody [S1/61] - BSA and Azide free
Description
Mouse monoclonal [S1/61] antibody to S100A1.
Specificity
S100 belongs to the family of calcium binding proteins. S100A and S100B proteins are two members of the S100 family. S100A is composed of an alpha and a beta chain whereas S100B is composed of two beta chains. This antibody is specific against an epitope located on the alpha-chain (i.e. in S-100A and S-100B) but not on the beta-chain of S-100 (i.e. in S-100B). This antibody can be used to localize S-100A in various tissue sections. S-100 protein has been found in normal melanocytes, Langerhans cells, histiocytes, chondrocytes, lipocytes, skeletal and cardiac muscle, epithelial and myoepithelial cells of the breast, salivary and sweat glands. Neoplasms derived from these cells also express S-100 protein. Almost all malignant melanomas and cases of histiocytosis X are positive for S-100 protein.
Applications
IF, IHC-P
Dilutions
IF: 1-2 µg/ml, IHC-P: 1-2 µg/ml
Reactivity
Human
Immunogen
Purified human S-100 protein conjugated to methylated BSA.
Host
Mouse
Clonality
Monoclonal
Clone ID
S1/61
Isotype
IgG1
Light Chains
kappa
Conjugate

Unconjugated

Purification
Protein A/G chromatography.
Concentration
1 mg/ml
Molecular Weight
10-12 kDa
Product Form
Liquid
Formulation
Supplied in 10mM Phosphate Buffered Saline; without Sodium Azide and carrier free.
Storage
Shipped at 4°C. Upon delivery aliquot and store at -20°C. Avoid freeze / thaw cycles.
General Notes
This monoclonal antibody is also available in a different formulation with BSA and Sodium Azide - Anti-S100A1 Antibody [S1/61] (A249917).
Synonyms
Protein S100-A1, S-100 protein alpha chain, S-100 protein subunit alpha, S100 calcium-binding protein A1, S100A
Disclaimer
This product is for research use only. It is not intended for diagnostic or therapeutic use.
Publishing research using Anti-S100A1 Antibody [S1/61] - BSA and Azide free (A253097)? Please let us know so that we can list the citation on this page.

Alternative products to Anti-S100A1 Antibody [S1/61] - BSA and Azide free (A253097)

Proteins predicted to interact with S100A1

Predicted protein interactions based upon String database. Revelancy score correlates with probability of interaction.
98% Relevancy Score
94.7% Relevancy Score
89.9% Relevancy Score
85.8% Relevancy Score
83.6% Relevancy Score
81.2% Relevancy Score
81.1% Relevancy Score
80.8% Relevancy Score
80.7% Relevancy Score