Primary Antibodies
Secondary Antibodies
Proteins & Peptides
ELISA Kits
About Us
Contact Us
Sign In/Register
0
ISO 9001:2015 Certified
Live Customer Support
4.5/5 on Trustpilot
100% Quality Guarantee
Home
Primary Antibodies
S100A12 Antibodies
Anti-S100A12 Antibody (A34868)
Anti-S100A12 Antibody (A34868)
Overview
Specifications
Images
Enlarge Image
Enlarge Image
Enlarge Image
$415
Product Datasheet
Rabbit polyclonal antibody to S100A12 for WB, IHC and ICC/IF.
100% Guarantee
Price Match Guarantee
Product Size:
50µl
100µl
Quantity:
1
2
3
4
5
6
7
8
9
10
Add To Cart
Request a Quotation
Custom or Bulk Request
Shipping Information
Freight/Packing Charges:
$40
Dispatched from St. Louis, MO.
Lead Time: 6-9 business days.
Specifications
Name
Anti-S100A12 Antibody
Description
Rabbit polyclonal antibody to S100A12
Specificity
The antibody detects endogenous level of total S100A12 protein.
Applications
WB
,
IHC
,
ICC/IF
Reactivity
Human, Mouse, Rat
Immunogen
Recombinant protein of human S100A12.
Host
Rabbit
Clonality
Polyclonal
Conjugate
Unconjugated
Purification
Antibodies were purified by affinity purification using immunogen.
Concentration
1.0 mg/mL
Formulation
Supplied in phosphate-buffered saline (without Mg²? and Ca²?), pH 7.4, containing 150 mM NaCl, 0.02% sodium azide, and 50% glycerol.
Storage
Shipped at 4°C. Upon delivery aliquot and store at -20°C. Avoid freeze/thaw cycles.
Synonyms
CAAF1, CAGC, Calcium-binding protein in amniotic fluid 1, Calgranulin-C, CGRP, EN-RAGE, Extracellular newly identified RAGE-binding protein, Migration inhibitory factor-related protein 6, MRP-6, p6, Protein S100-A12
Suitable Secondaries
Goat Anti-Rabbit IgG H&L Antibody (AP) (A294874)
Goat Anti-Rabbit IgG H&L Antibody (Biotin) (A294795)
Goat Anti-Rabbit IgG H&L Antibody (FITC) (A294887)
Goat Anti-Rabbit IgG H&L Antibody (HRP) (A294888)
See all Anti-Rabbit IgG Secondaries →
Disclaimer
This product is for research use only. It is not intended for diagnostic or therapeutic use.
Scientific Validation Data
Validation Data
(3)
Enlarge Image
Anti-S100A12 Antibody (A34868)
Western blot analysis of extracts of various cell lines, using S100A12 antibody.
Enlarge Image
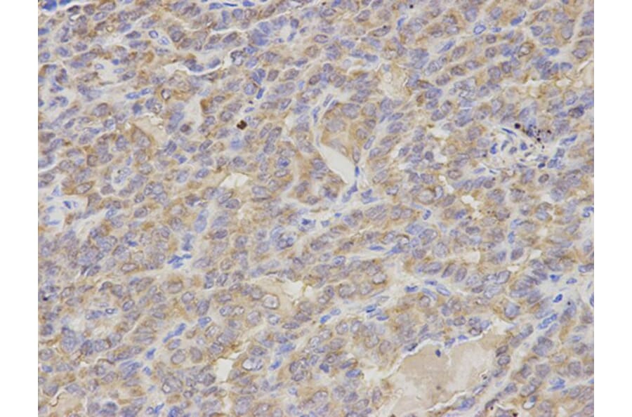
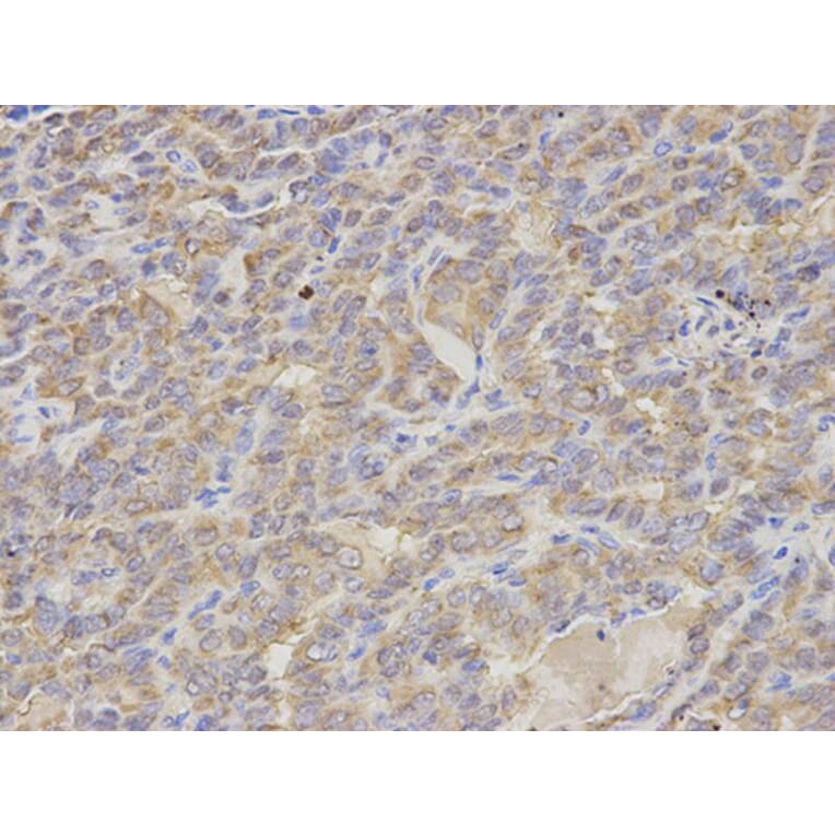
Immunohistochemistry - Anti-S100A12 Antibody (A34868)
Immunohistochemical analysis of paraffin-embedded human thyroid cancer using S100A12 antibody at dilution of 1: 200 (400x lens).
Enlarge Image
Immunofluorescence - Anti-S100A12 Antibody (A34868)
Immunofluorescence analysis of HeLa cell using S100A12 antibody. Blue: DAPI for nuclear staining.
Publishing research using Anti-S100A12 Antibody (A34868)? Please
let us know
so that we can list the citation on this page.
Alternative products to Anti-S100A12 Antibody (A34868)
(3)
A30738
Anti-S100A12 Antibody
Rabbit polyclonal antibody to S100A12 for WB, IHC and IF.
A92195
Anti-S100A12 Antibody
Rabbit polyclonal antibody to S100A12 for IHC-P and ELISA.
A329825
Anti-S100A12 Antibody [ARC61785]
Rabbit monoclonal [ARC61785] antibody to S100A12 for WB and ELISA.
A329824
Anti-S100A12 Antibody
Rabbit monoclonal antibody to S100A12 for ELISA.
A329823
Anti-S100A12 Antibody
Rabbit monoclonal antibody to S100A12 for ELISA.
A45231
Anti-S100A12 Antibody
Rabbit polyclonal antibody to S100A12 for IHC.
A108358
Anti-S100A12 Antibody
Rabbit polyclonal IVD antibody to S100A12 for Lateral Flow and ELISA.
A108357
Anti-S100A12 Antibody
Rabbit polyclonal IVD antibody to S100A12 for Lateral Flow and ELISA.
(3)
A30738
Anti-S100A12 Antibody
Rabbit polyclonal antibody to S100A12 for WB, IHC and IF.
A92195
Anti-S100A12 Antibody
Rabbit polyclonal antibody to S100A12 for IHC-P and ELISA.
A329825
Anti-S100A12 Antibody [ARC61785]
Rabbit monoclonal [ARC61785] antibody to S100A12 for WB and ELISA.
A329824
Anti-S100A12 Antibody
Rabbit monoclonal antibody to S100A12 for ELISA.
A329823
Anti-S100A12 Antibody
Rabbit monoclonal antibody to S100A12 for ELISA.
A45231
Anti-S100A12 Antibody
Rabbit polyclonal antibody to S100A12 for IHC.
A108358
Anti-S100A12 Antibody
Rabbit polyclonal IVD antibody to S100A12 for Lateral Flow and ELISA.
A108357
Anti-S100A12 Antibody
Rabbit polyclonal IVD antibody to S100A12 for Lateral Flow and ELISA.
See all S100A12 Antibodies
Proteins predicted to interact with S100A12
Predicted protein interactions based upon String database. Revelancy score correlates with probability of interaction.
RAGE Antibodies
99.9% Relevancy Score
S100A8 Antibodies
99.5% Relevancy Score
TLR4 Antibodies
97% Relevancy Score
S100A9 Antibodies
94% Relevancy Score
S100A7 Antibodies
93.6% Relevancy Score
HMGB1 Antibodies
89.4% Relevancy Score
IL-8 Antibodies
81.5% Relevancy Score
Myeloperoxidase Antibodies
76.6% Relevancy Score
IL-1 beta Antibodies
76.2% Relevancy Score
Top