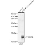
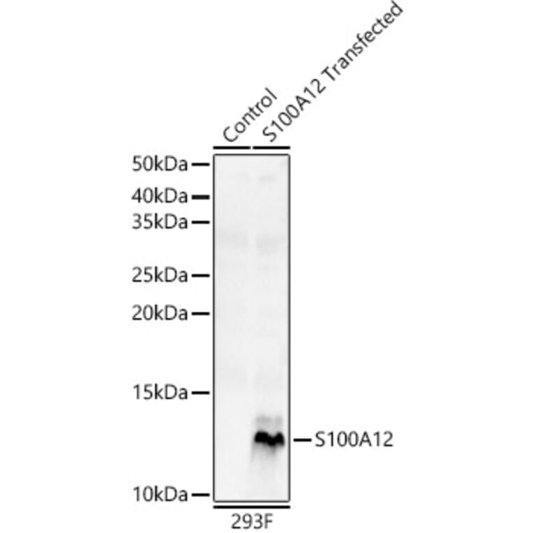
Western blot analysis of 293F, using Anti-S100A12/CGRP Antibody (A9701) at 1:900 dilution. The secondary antibody was Goat Anti-Rabbit IgG H&L Antibody (HRP) at 1:10,000 dilution. Lysates/proteins were present at 25µg per lane. The blocking buffer used was 3% non-fat dry milk in TBST. Detection was with a ECL Basic Kit. Exposure time: 3s.
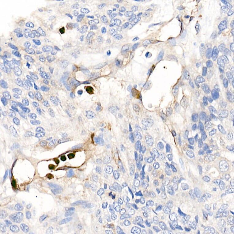
Immunohistochemistry analysis of paraffin-embedded human colon carcinoma tissue using Anti-S100A12/CGRP Antibody (A9701) at a dilution of 1:300 (40x lens). Perform high pressure antigen retrieval with 10 mM citrate buffer pH 6.0 before commencing with IHC staining protocol.
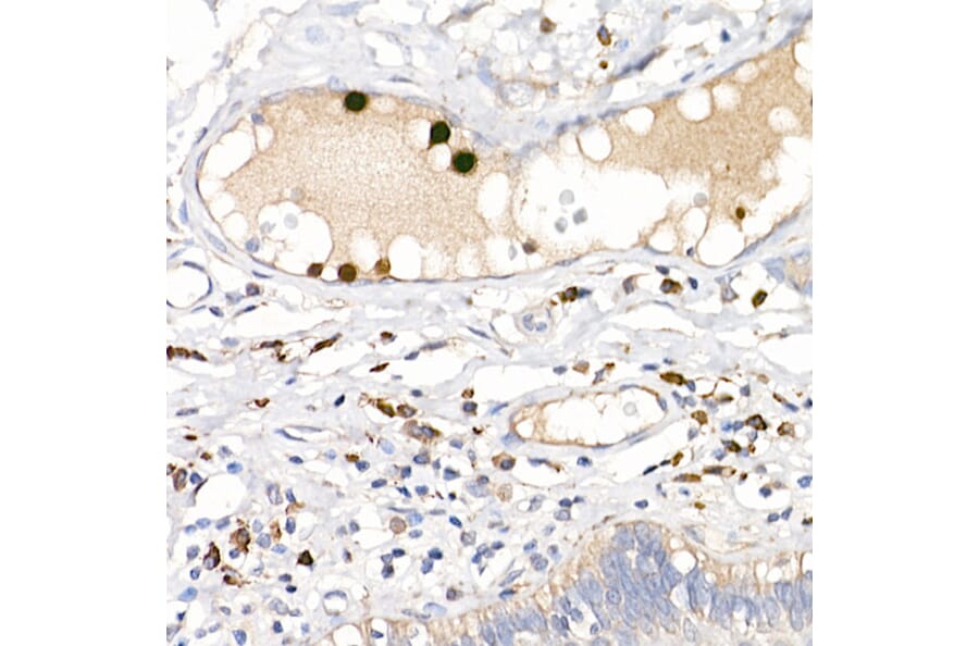
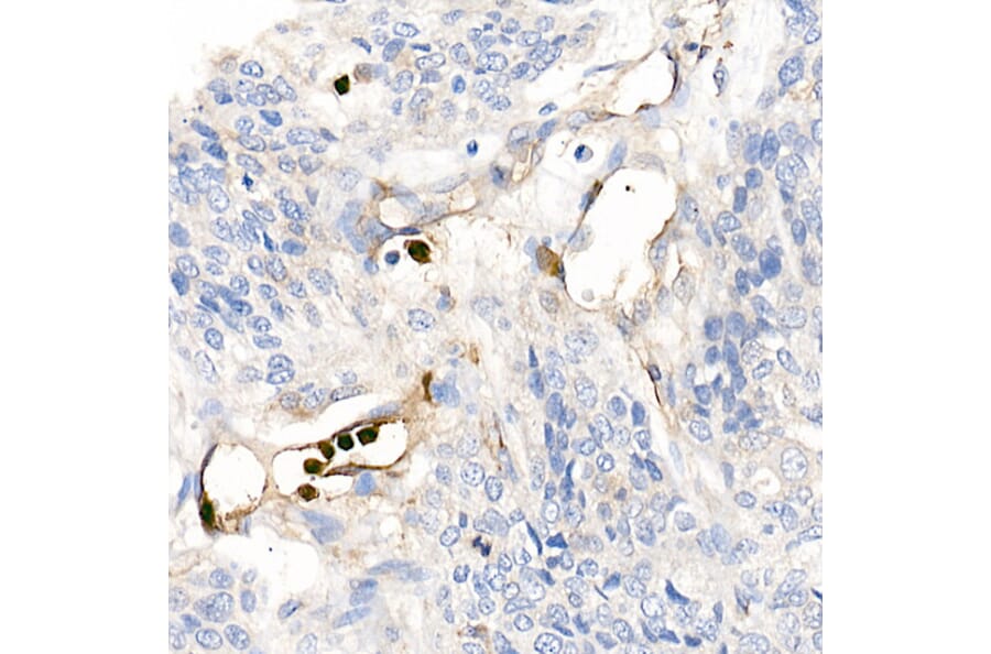
Immunohistochemistry analysis of paraffin-embedded human esophageal cancer using Anti-S100A12/CGRP Antibody (A9701) at a dilution of 1:300 (40x lens). Perform high pressure antigen retrieval with 10 mM citrate buffer pH 6.0 before commencing with IHC staining protocol.
Immunohistochemistry analysis of paraffin-embedded human esophagus using Anti-S100A12/CGRP Antibody (A9701) at a dilution of 1:300 (40x lens). Perform high pressure antigen retrieval with 10 mM citrate buffer pH 6.0 before commencing with IHC staining protocol.
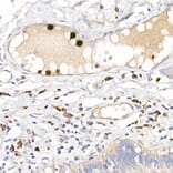
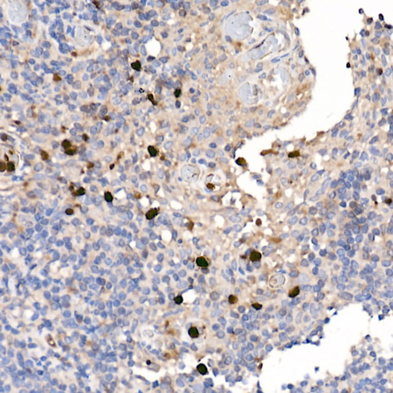
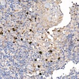
Immunohistochemistry analysis of paraffin-embedded human tonsil using Anti-S100A12/CGRP Antibody (A9701) at a dilution of 1:300 (40x lens). Perform high pressure antigen retrieval with 10 mM citrate buffer pH 6.0 before commencing with IHC staining protocol.
Immunofluorescence analysis of mouse spleen using Anti-S100A12/CGRP Antibody (A9701) at a dilution of 1:100. DAPI was used to stain the cell nuclei (blue).
Immunofluorescence analysis of rat spleen using Anti-S100A12/CGRP Antibody (A9701) at a dilution of 1:100. DAPI was used to stain the cell nuclei (blue).
Immunofluorescence analysis of human spleen using Anti-S100A12/CGRP Antibody (A9701) at a dilution of 1:100. DAPI was used to stain the cell nuclei (blue).