ISO 9001:2015 Certified
Live Customer Support
4.5/5 on Trustpilot
100% Quality Guarantee

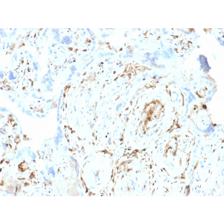
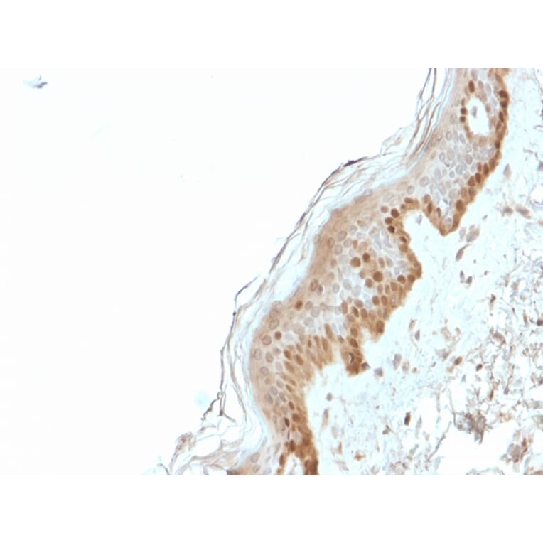
Anti-S100A2 Antibody [CPTC-S100A2-2] (A249919)

Mouse monoclonal [CPTC-S100A2-2] antibody to S100A2 for WB, Flow Cytometry, IF and IHC-P.

Alternative Formats and ConjugatesAlternative Formats

Shipping Information

$40
Dispatched from St. Louis, MO.
Lead Time: 5-8 business days.
Name
Anti-S100A2 Antibody [CPTC-S100A2-2]
Description
Mouse monoclonal [CPTC-S100A2-2] antibody to S100A2.
Specificity
S100A2 belongs to the S100 family of proteins containing 2 EF-hand calcium-binding motifs. S100A2 may function as a modulator against excess calcium accumulation in normal human mammary epithelial cells and also have a role in suppressing tumor cell growth. This protein may have a tumor suppressor function. Chromosomal rearrangements and altered expression of this gene have been implicated in breast cancer. Cytoplasmic overexpression may also be of prognostic significance when observed in oral cancer patients, and the S100A2 has also been identified as significantly down-regulated in gastric cancer.
Applications
WB, Flow Cytometry, IF, IHC-P
Dilutions
WB: 1-2 µg/ml, Flow Cytometry: 1-2 µg/million cells, IF: 1-2 µg/ml, IHC-P: 1-2 µg/ml
Reactivity
Human
Immunogen
Recombinant full-length human S100A2 protein.
Host
Mouse
Clonality
Monoclonal
Clone ID
CPTC-S100A2-2
Isotype
IgG2b
Light Chains
kappa
Conjugate

Unconjugated

Purification
Protein A/G chromatography.
Concentration
200 µg/ml
Molecular Weight
11.12 kDa
Product Form
Liquid
Formulation
Supplied in 10mM Phosphate Buffered Saline with 0.05% BSA and 0.05% Sodium Azide.
Storage
Shipped at 4°C. Upon delivery aliquot and store at -20°C. Avoid freeze / thaw cycles.
General Notes
This monoclonal antibody is also available in a different formulation without BSA and Sodium Azide - Anti-S100A2 Antibody [CPTC-S100A2-2] - BSA and Azide free (A253099).
Synonyms
CAN19, Protein S-100L, Protein S100-A2, S100 calcium-binding protein A2, S100L
Disclaimer
This product is for research use only. It is not intended for diagnostic or therapeutic use.
Publishing research using Anti-S100A2 Antibody [CPTC-S100A2-2] (A249919)? Please let us know so that we can list the citation on this page.

Alternative products to Anti-S100A2 Antibody [CPTC-S100A2-2] (A249919)

Proteins predicted to interact with S100A2

Predicted protein interactions based upon String database. Revelancy score correlates with probability of interaction.
98% Relevancy Score
81.2% Relevancy Score
78.9% Relevancy Score
76.7% Relevancy Score
73.8% Relevancy Score
70.5% Relevancy Score
69.4% Relevancy Score
68.2% Relevancy Score
67.6% Relevancy Score