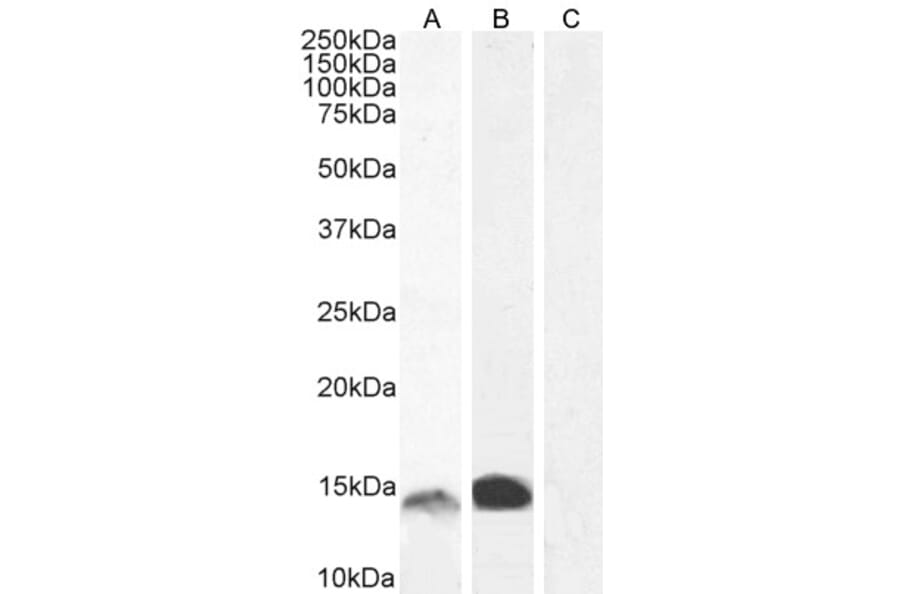
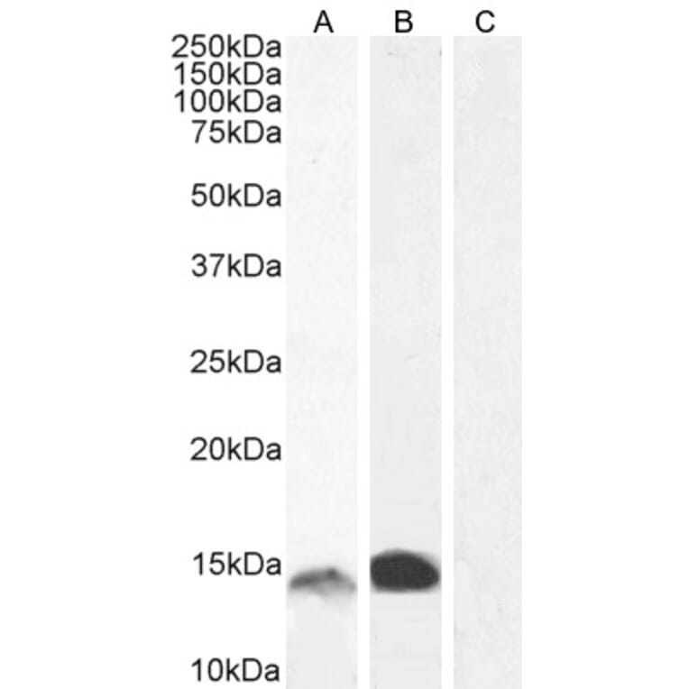
S100A9 expression in Human Bone Marrow (A), Gastrointestinal cancer (B), and negative control HepG2 (C) lysate analyzed by western blot. Cells were lysed in RIPA buffer and 5µg protein was run per lane. Primary antibody was performed with Anti-S100A9 Antibody (A84636) at 1µg/ml (A) and 0.5µg/ml (B) and detected by chemiluminescence.
S100A9 expression in MCF7 cells analyzed by immunofluorescence. Cells were permeabilized with 0.15% Triton. Staining was performed with Anti-S100A9 Antibody (A84636) at 10µg/ml for 1 hour and Alexa Fluor 488 secondary antibody at 2µg/ml. Cytoplasmic and nuclear staining shown and nuclei were stained with DAPI (blue). Negative control: Goat IgG Isotype Control at 10µg/ml followed by Alexa Fluor 488 secondary antibody at 2µg/ml.
S100A9 expression in U2OS cells analyzed by immunofluorescence. Cells were permeabilized with 0.15% Triton. Staining was performed with Anti-S100A9 Antibody (A84636) at 10µg/ml for 1 hour and Alexa Fluor 488 secondary antibody at 2µg/ml. Cytoplasmic and nuclear staining shown and nuclei were stained with DAPI (blue). Negative control: Goat IgG Isotype Control at 10µg/ml followed by Alexa Fluor 488 secondary antibody at 2µg/ml.
S100A9 expression in MCF7 cells (blue line) analyzed by flow cytometry. Cells were fixed in PFA and permeabilized with 0.5% Triton. Staining was performed with Anti-S100A9 Antibody (A84636) at 10µg/ml for 1 hour and Alexa Fluor 488 secondary antibody at 1µg/ml. Negative Control: Goat IgG Isotype Control (black line) followed by Alexa Fluor 488 secondary antibody.
S100A9 expression in Human Spleen analyzed by immunohistochemistry. Tissue was paraffin-embedded, and antigen retrieval was achieved by heating in citrate buffer, pH 6. Staining was performed with Anti-S100A9 Antibody (A84636) at 7µg/ml and revealed with horseradish peroxidase (HRP).
Negative control for S100A9 expression in Human Spleen analyzed by immunohistochemistry. Tissue was paraffin-embedded, and staining procedure was performed in the absence of primary antibody.
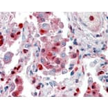
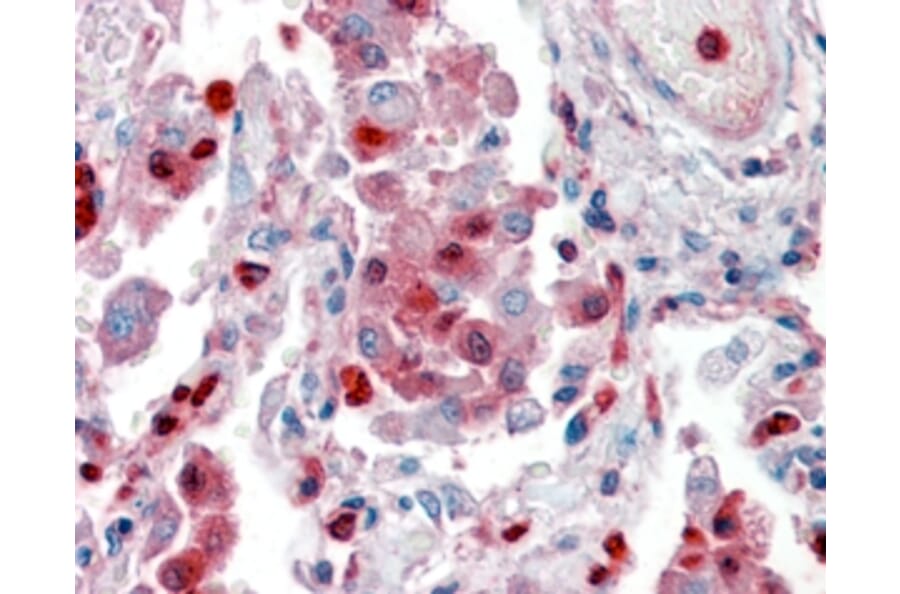
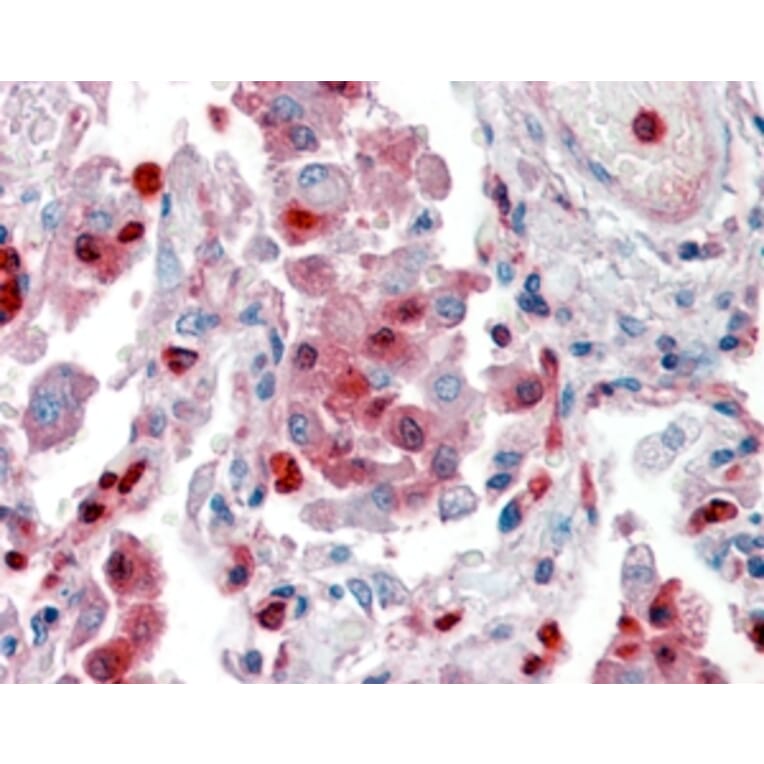
S100A9 expression in Human Lung analyzed by immunohistochemistry. Tissue was paraffin-embedded, and antigen retrieval was achieved by steaming in citrate buffer, pH 6. Staining was performed with Anti-S100A9 Antibody (A84636) at 2.5µg/ml and revealed with alkaline phosphatase (AP).