ISO 9001:2015 Certified
Live Customer Support
4.5/5 on Trustpilot
100% Quality Guarantee

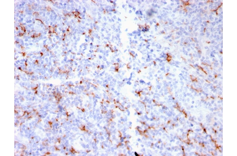
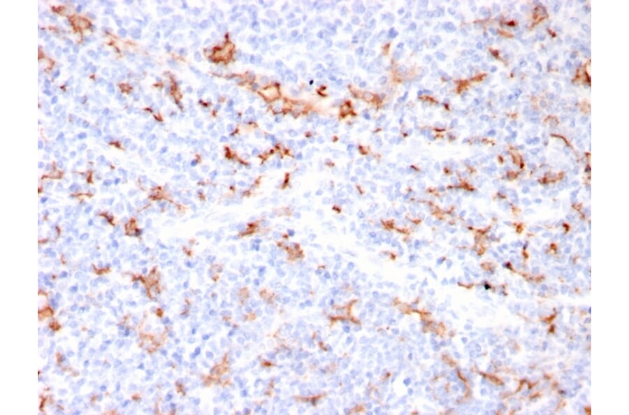
Recombinant Anti-S100A9 + Calprotectin Antibody [MAC3157R] - BSA and Azide free (A253108)

Recombinant rabbit monoclonal [MAC3157R] antibody to S100A9 + Calprotectin for IHC-P.

Alternative Formats and ConjugatesAlternative Formats

Shipping Information

$40
Dispatched from St. Louis, MO.
Lead Time: 5-8 business days.
Name
Anti-S100A9 + Calprotectin Antibody [MAC3157R] - BSA and Azide free
Description
Recombinant rabbit monoclonal [MAC3157R] antibody to S100A9 + Calprotectin.
Specificity
This antibody recognizes the L1 or Calprotectin molecule, an intra-cytoplasmic antigen comprising of a 12kDa alpha chain and a 14kDa beta chain expressed by granulocytes, monocytes and by tissue macrophages. Macrophages usually arise from hematopoietic stem cells in the bone marrow. Under migration into tissues, the monocytes undergo further differentiation to become multifunctional tissue macrophages. They are classified into normal and inflammatory macrophages. Normal macrophages include macrophages in connective tissue (histiocytes), liver (Kupffers cell) and in other tissues. Inflammatory macrophages are present in various exudates. Macrophages are part of the innate immune system, recognizing, engulfing and destroying many potential pathogens including bacteria, pathogenic protozoa, fungi and helminthes. This MAb reacts with neutrophils, monocytes, macrophages, and squamous mucosal epithelia and has been shown as an important marker for identifying macrophages in tissue sections.
Applications
IHC-P
Dilutions
IHC-P: 1-2 µg/ml
Reactivity
Human, Baboon, Monkey, Bovine, Porcine, Goat, Horse, Feline, Canine, Rabbit, Guinea Pig, Rat, Mouse
Immunogen
Affinity purified monocyte membrane preparation.
Host
Rabbit
Clonality
Monoclonal
Clone ID
MAC3157R
Isotype
IgG
Conjugate

Unconjugated

Purification
Protein A/G chromatography.
Concentration
1 mg/ml
Molecular Weight
12-14 kDa (doublet)
Product Form
Liquid
Formulation
Supplied in 10mM Phosphate Buffered Saline; without Sodium Azide and carrier free.
Storage
Shipped at 4°C. Upon delivery aliquot and store at -20°C. Avoid freeze / thaw cycles.
General Notes
This monoclonal antibody is also available in a different formulation with BSA and Sodium Azide - Anti-S100A9 + Calprotectin Antibody [MAC3157R] (A249928).
Disclaimer
This product is for research use only. It is not intended for diagnostic or therapeutic use.
Publishing research using Recombinant Anti-S100A9 + Calprotectin Antibody [MAC3157R] - BSA and Azide free (A253108)? Please let us know so that we can list the citation on this page.