Primary Antibodies
Secondary Antibodies
Proteins & Peptides
ELISA Kits
About Us
Contact Us
Sign In/Register
0
ISO 9001:2015 Certified
Live Customer Support
4.5/5 on Trustpilot
100% Quality Guarantee
Home
Primary Antibodies
S1P3 Antibodies
Anti-S1PR3 Antibody (A38022)
Anti-S1PR3 Antibody (A38022)
Overview
Specifications
Images
Enlarge Image
Enlarge Image
$430
Product Datasheet
Rabbit polyclonal antibody to S1PR3 for WB and IHC.
100% Guarantee
Price Match Guarantee
Product Size:
100µl
Quantity:
1
2
3
4
5
6
7
8
9
10
Add To Cart
Request a Quotation
Custom or Bulk Request
Shipping Information
Freight/Packing Charges:
$40
Dispatched from St. Louis, MO.
Lead Time: 6-9 business days.
Specifications
Name
Anti-S1PR3 Antibody
Description
Rabbit polyclonal antibody to S1PR3
Specificity
The antibody detects endogenous levels of total S1PR3 protein.
Applications
WB
,
IHC
Reactivity
Human
Immunogen
Synthetic peptide corresponding to a region derived from internal residues of human Sphingosine-1-phosphate receptor 3
Host
Rabbit
Clonality
Polyclonal
Conjugate
Unconjugated
Purification
Antigen affinity purification.
Concentration
1.4 mg/mL
Formulation
Supplied in PBS, pH 7.3, containing 0.05% sodium azide and 50% glycerol.
Storage
Shipped at 4°C. Upon delivery aliquot and store at -20°C. Avoid freeze/thaw cycles.
Synonyms
C9orf108, C9orf47, EDG3, Endothelial differentiation G-protein coupled receptor 3, S1P receptor 3, S1P receptor Edg-3, Sphingosine 1-phosphate receptor 3, Sphingosine 1-phosphate receptor Edg-3
Suitable Secondaries
Goat Anti-Rabbit IgG H&L Antibody (AP) (A294874)
Goat Anti-Rabbit IgG H&L Antibody (Biotin) (A294795)
Goat Anti-Rabbit IgG H&L Antibody (FITC) (A294887)
Goat Anti-Rabbit IgG H&L Antibody (HRP) (A294888)
See all Anti-Rabbit IgG Secondaries →
Disclaimer
This product is for research use only. It is not intended for diagnostic or therapeutic use.
Scientific Validation Data
Validation Data
(2)
Enlarge Image
Anti-S1PR3 Antibody (A38022)
Gel: 10% SDS-PAGE Lysates (from left to right): Human fetal brain tissue Amount of lysate: 40ug per lane Primary antibody: 1/700 dilution Secondary antibody dilution: 1/8000 Exposure time: 20 seconds
Enlarge Image
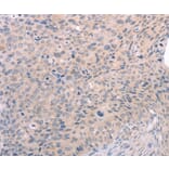
Immunohistochemistry - Anti-S1PR3 Antibody (A38022)
Immunohistochemical analysis of paraffin-embedded Human cervical cancer tissue using #37289 at dilution 1/30.
Publishing research using Anti-S1PR3 Antibody (A38022)? Please
let us know
so that we can list the citation on this page.
Alternative products to Anti-S1PR3 Antibody (A38022)
(4)
A100005
Anti-EDG3 Antibody
Rabbit polyclonal antibody to EDG3 for WB,IF/ICC and ELISA.
(2)
A98190
Anti-EDG3 Antibody
Rabbit polyclonal antibody to EDG3 for WB, IF and ELISA.
A349010
Anti-S1P3 Antibody [24GB1605]
Recombinant rabbit monoclonal [24GB1605] antibody to S1P3 for WB, Flow Cytometry and ICC/IF.
A349041
Anti-S1PR3 Antibody [25GB2660]
Recombinant rabbit monoclonal [25GB2660] antibody to S1PR3 for WB, Flow Cytometry and ICC/IF.
A334549
Anti-S1P3 Antibody
Rabbit polyclonal antibody to S1P3 for WB.
(4)
A100005
Anti-EDG3 Antibody
Rabbit polyclonal antibody to EDG3 for WB,IF/ICC and ELISA.
(2)
A98190
Anti-EDG3 Antibody
Rabbit polyclonal antibody to EDG3 for WB, IF and ELISA.
A349010
Anti-S1P3 Antibody [24GB1605]
Recombinant rabbit monoclonal [24GB1605] antibody to S1P3 for WB, Flow Cytometry and ICC/IF.
A349041
Anti-S1PR3 Antibody [25GB2660]
Recombinant rabbit monoclonal [25GB2660] antibody to S1PR3 for WB, Flow Cytometry and ICC/IF.
A334549
Anti-S1P3 Antibody
Rabbit polyclonal antibody to S1P3 for WB.
See all S1PR3 Antibodies
Proteins predicted to interact with S1P3
Predicted protein interactions based upon String database. Revelancy score correlates with probability of interaction.
GNAQ Antibodies
99.9% Relevancy Score
G Protein alpha 12 Antibodies
99.3% Relevancy Score
GNAI1 Antibodies
99% Relevancy Score
GNA13 Antibodies
98.9% Relevancy Score
SPHK1 Antibodies
96.5% Relevancy Score
SPHK2 Antibodies
94.2% Relevancy Score
GNAI2 Antibodies
92% Relevancy Score
GNAI3 Antibodies
91.2% Relevancy Score
GNB1 Antibodies
90.9% Relevancy Score
Top