Western Blot - Anti-SAMM50/SAM50 Antibody (A11642)
Western blot analysis of extracts of various cell lines, using Anti-SAMM50/SAM50 Antibody (A11642) at 1:1,000 dilution. The secondary antibody was Goat Anti-Rabbit IgG H&L Antibody (HRP) at 1:10,000 dilution. Lysates/proteins were present at 25µg per lane. The blocking buffer used was 3% non-fat dry milk in TBST. Detection was with a ECL Basic Kit. Exposure time: 30s.
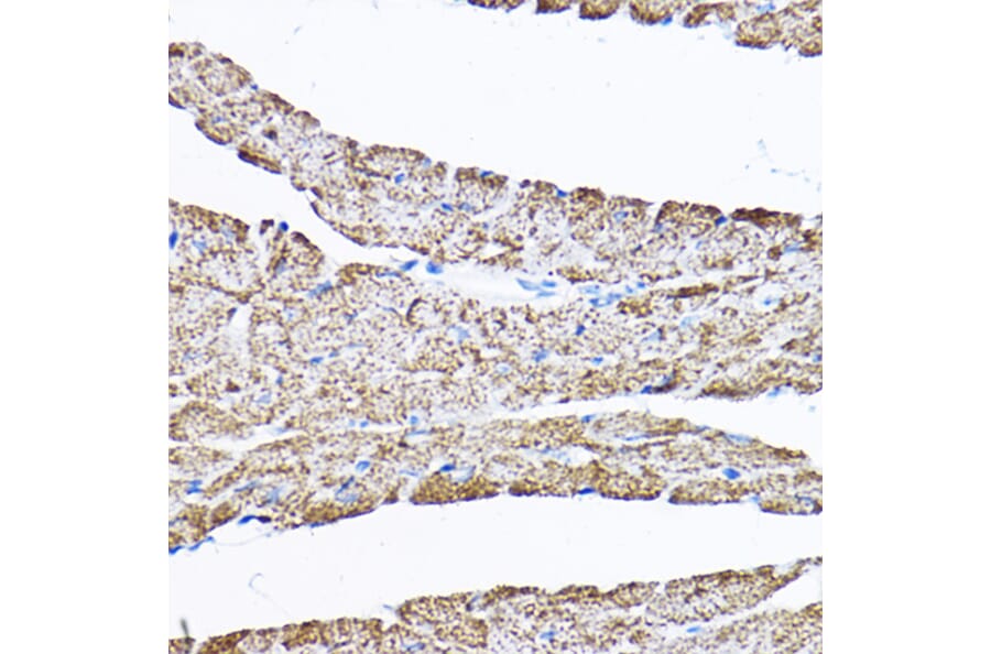
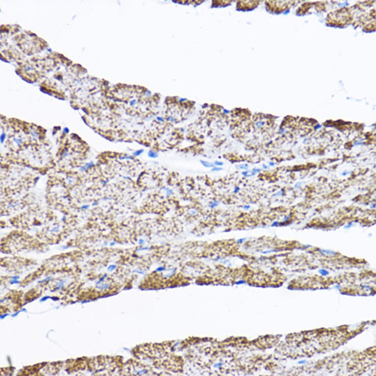
Immunohistochemistry analysis of paraffin-embedded rat heart using Anti-SAMM50/SAM50 Antibody (A11642) at a dilution of 1:200 (40x lens). Perform high pressure antigen retrieval with 10 mM citrate buffer pH 6.0 before commencing with IHC staining protocol.
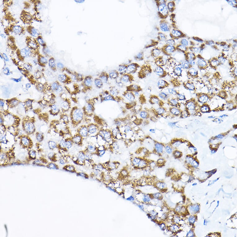
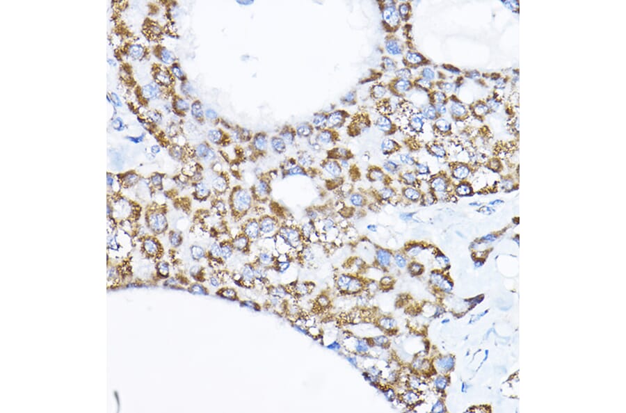
Immunohistochemistry analysis of paraffin-embedded human liver cancer using Anti-SAMM50/SAM50 Antibody (A11642) at a dilution of 1:200 (40x lens). Perform high pressure antigen retrieval with 10 mM citrate buffer pH 6.0 before commencing with IHC staining protocol.
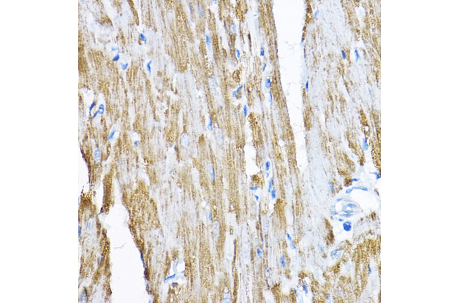
Immunohistochemistry analysis of paraffin-embedded mouse heart using Anti-SAMM50/SAM50 Antibody (A11642) at a dilution of 1:200 (40x lens). Perform high pressure antigen retrieval with 10 mM citrate buffer pH 6.0 before commencing with IHC staining protocol.
Western Blot - Anti-SAMM50/SAM50 Antibody (A11642)
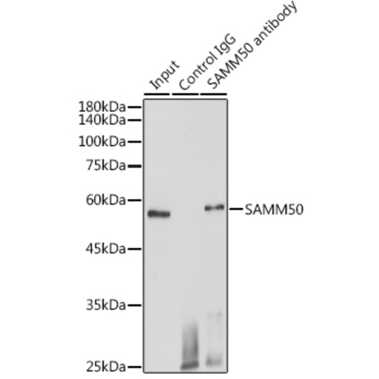
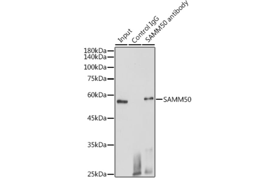
Immunoprecipitation analysis of 600µg extracts of mouse heart cells using 3µg of Anti-SAMM50/SAM50 Antibody (A11642). This Western blot was performed on the immunoprecipitate using Anti-SAMM50/SAM50 Antibody (A11642) at a dilution of 1:1000.