Primary Antibodies
Secondary Antibodies
Proteins & Peptides
ELISA Kits
About Us
Contact Us
Sign In/Register
0
ISO 9001:2015 Certified
Live Customer Support
4.5/5 on Trustpilot
100% Quality Guarantee
Home
Primary Antibodies
SAPAP3 Antibodies
Anti-SAPAP3 Antibody (A47584)
Anti-SAPAP3 Antibody (A47584)
Overview
Specifications
Images
Enlarge Image
Enlarge Image
$780
Product Datasheet
Rabbit polyclonal antibody to SAPAP3 for ELISA, WB and IHC.
100% Guarantee
Price Match Guarantee
Product Size:
100µl
Quantity:
1
2
3
4
5
6
7
8
9
10
Add To Cart
Request a Quotation
Custom or Bulk Request
Shipping Information
Freight/Packing Charges:
$40
Dispatched from St. Louis, MO.
Lead Time: 6-9 business days.
Specifications
Name
Anti-SAPAP3 Antibody
Description
Rabbit polyclonal antibody to SAPAP3
Applications
ELISA
,
WB
,
IHC
Reactivity
Human, Mouse, Rat
Immunogen
Raised against a 18 amino acid peptide from near the carboxy terminus of human SAPAP3.
Host
Rabbit
Clonality
Polyclonal
Conjugate
Unconjugated
Purification
Affinity chromatography purified via peptide column
Formulation
Supplied in phosphate-buffered saline with 0.02% Sodium Azide.
Storage
Shipped at 4°C. Upon delivery aliquot and store at -20°C. Avoid freeze/thaw cycles.
Synonyms
DAP-3, DAP3, Disks large-associated protein 3, DLGAP3, PSD-95/SAP90-binding protein 3, SAP90/PSD-95-associated protein 3
Suitable Secondaries
Goat Anti-Rabbit IgG H&L Antibody (AP) (A294874)
Goat Anti-Rabbit IgG H&L Antibody (Biotin) (A294795)
Goat Anti-Rabbit IgG H&L Antibody (FITC) (A294887)
Goat Anti-Rabbit IgG H&L Antibody (HRP) (A294888)
See all Anti-Rabbit IgG Secondaries →
Disclaimer
This product is for research use only. It is not intended for diagnostic or therapeutic use.
Scientific Validation Data
Validation Data
(2)
Enlarge Image
Anti-SAPAP3 Antibody (A47584)
Western blot analysis of SAPAP3 in rat brain tissue lysate with SAPAP3 antibody at (A) 1 (B) 2 µg/mL.
Enlarge Image
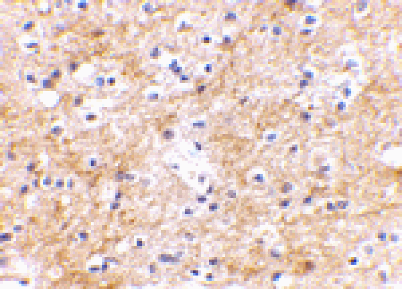
Immunohistochemistry - Anti-SAPAP3 Antibody (A47584)
Immunohistochemical staining of human brain tissue using SAPAP3 antibody at 2.5 µg/mL.
Publishing research using Anti-SAPAP3 Antibody (A47584)? Please
let us know
so that we can list the citation on this page.
Proteins predicted to interact with SAPAP3
Predicted protein interactions based upon String database. Revelancy score correlates with probability of interaction.
PSD95 Antibodies
99.3% Relevancy Score
SHANK3 Antibodies
99.2% Relevancy Score
SLITRK5 Antibodies
93.7% Relevancy Score
SHANK1 Antibodies
92% Relevancy Score
SHANK2 Antibodies
91.7% Relevancy Score
DLGAP2 Antibodies
86.8% Relevancy Score
PSD93 Antibodies
84.7% Relevancy Score
SAP102 Antibodies
83.5% Relevancy Score
HOMER1 Antibodies
81.6% Relevancy Score
Top