ISO 9001:2015 Certified
Live Customer Support
4.5/5 on Trustpilot
100% Quality Guarantee

Anti-SAPK / JNK (Ab-183) Antibody (A36274)

$275

Rabbit polyclonal antibody to SAPK / JNK (Ab-183) for WB and IHC.

Shipping Information

$40
Dispatched from St. Louis, MO.
Lead Time: 6-9 business days.
Name
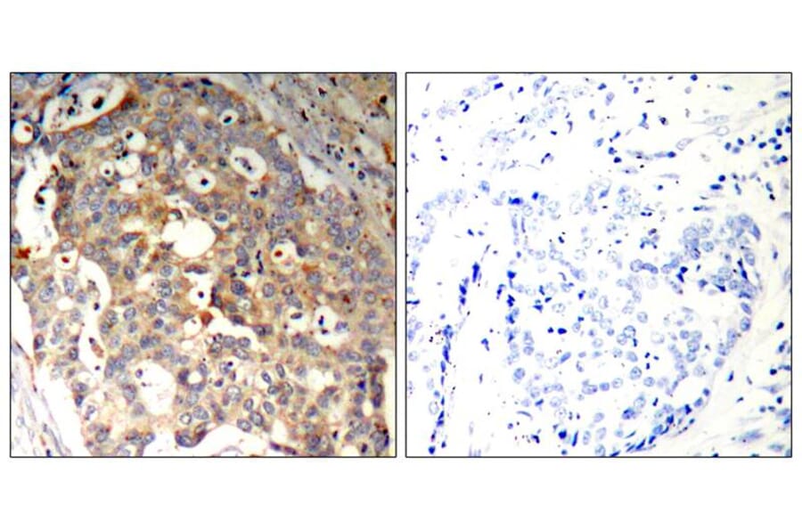
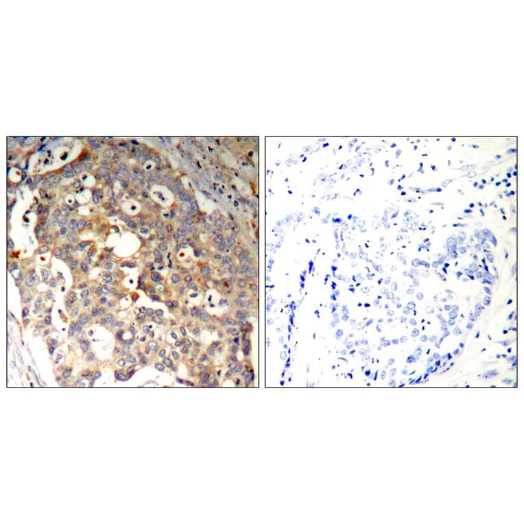
Anti-SAPK / JNK (Ab-183) Antibody
Description
Rabbit polyclonal antibody to SAPK / JNK (Ab-183)
Specificity
The antibody detects endogenous level of total SAPK / JNK protein.
Applications
WB, IHC
Reactivity
Human, Mouse, Rat
Immunogen
Peptide sequence around aa.181~185 (M-M-T-P-Y) derived from Human SAPK / JNK.
Host
Rabbit
Clonality
Polyclonal
Conjugate

Unconjugated

Purification
Antibodies were produced by immunizing rabbits with synthetic peptide and KLH conjugates. Antibodies were purified by affinity-chromatography using epitope-specific peptide.
Concentration
1 mg/ml
Formulation
Supplied at 1.0mg / mL in phosphate buffered saline (without Mg2+ and Ca2+), pH 7.4, 150mM NaCl, 0.02% sodium azide and 50% glycerol.
Storage
Store at -20°C for long term preservation (recommended). Store at 4°C for short term use.
Disclaimer
This product is for research use only. It is not intended for diagnostic or therapeutic use.
Publishing research using Anti-SAPK / JNK (Ab-183) Antibody (A36274)? Please let us know so that we can list the citation on this page.