Rabbit polyclonal antibody to SAPK / JNK (Phospho-Thr183)
Specificity
The antibody detects endogenous level of SAPK / JNK only when phosphorylated at threonine 183.
Applications
WB, IHC
Dilutions
Western blotting: 1:500~1:1000 Immunohistochemistry: 1:50~1:100
Reactivity
Human, Mouse, Rat
Immunogen
Peptide sequence around phosphorylation site of threonine 183 (M-M-T(p)-P-Y) derived from Human SAPK / JNK.
Host
Rabbit
Clonality
Polyclonal
Conjugate
Unconjugated
Purification
Antibodies were produced by immunizing rabbits with synthetic phosphopeptide and KLH conjugates. Antibodies were purified by affinity-chromatography using epitope-specific phosphopeptide. Non-phospho specific antibodies were removed by chromatogramphy using non-phosphopeptide.
Concentration
1 mg/ml
Predicted MW
46 54 kd
Formulation
Supplied at 1.0mg / mL in phosphate buffered saline (without Mg2+ and Ca2+), pH 7.4, 150mM NaCl, 0.02% sodium azide and 50% glycerol.
Storage
Store at -20°C for long term preservation (recommended). Store at 4°C for short term use.
Western blot analysis of extracts from 293 cells using SAPK/JNK (Phospho-Thr183) Antibody #11249 (Lane 2) and the same antibody preincubated with blocking peptide (Lane1).
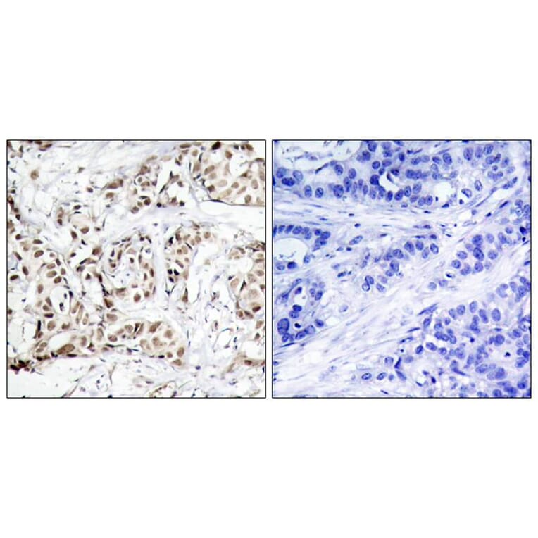
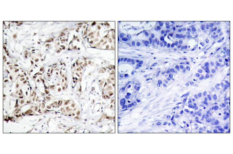
Immunohistochemical analysis of paraffin-embedded human breast carcinoma tissue using SAPK/JNK (Phospho-Thr183) Antibody #11249 (left) or the same antibody preincubated with blocking peptide (right).
Western blot analysis of extracts from 293 cells, treated with UV or calf intestinal phosphatase (CIP), using SAPK/JNK (Phospho-Thr183) Antibody #11249.
Publishing research using Anti-SAPK / JNK (Phospho-Thr183) Antibody (A50382)? Please let us know so that we can list the citation on this page.