ISO 9001:2015 Certified
Live Customer Support
4.5/5 on Trustpilot
100% Quality Guarantee

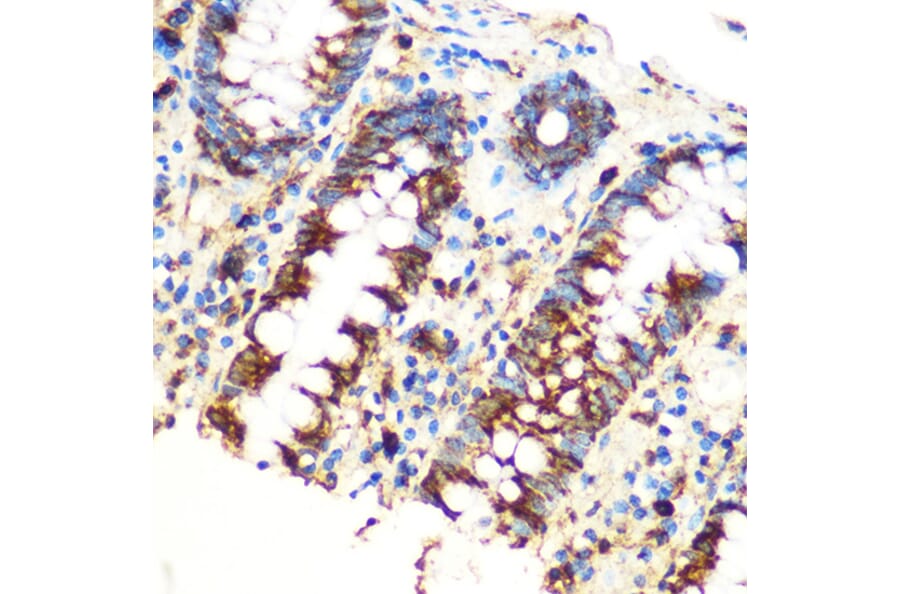
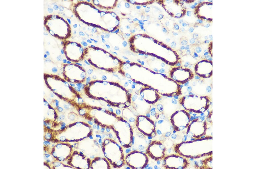
Anti-SAV1 Antibody (A306668)

Rabbit polyclonal antibody to SAV1 for WB and IHC.

Shipping Information

$40
Dispatched from St. Louis, MO.
Lead Time: 7-10 business days.
Name
Anti-SAV1 Antibody
Description
Rabbit polyclonal antibody to SAV1.
Applications
WB, IHC
Dilutions
WB: 1:500-1:2,000, IHC: 1:50-1:200
Reactivity
Human, Mouse, Rat
Immunogen
Recombinant fusion protein containing a sequence corresponding to amino acids 199-383 of human SAV1 (NP_068590.1).
Sequence
LPLPPGWSVDWTMRGRKYYIDHNTNTTHWSHPLEREGLPPGWERVESSEFGTYYVDHTNKKAQYRHPCAPSVPRYDQPPPVTYQPQQTERNQSLLVPANPYHTAEIPDWLQVYARAPVKYDHILKWELFQLADLDTYQGMLKLLFMKELEQIVKMYEAYRQALLTELENRKQRQQWYAQQHGKNF
Host
Rabbit
Clonality
Polyclonal
Isotype
IgG
Conjugate

Unconjugated

Purification
Affinity purification.
Concentration
Lot Specific
Molecular Weight
45 kDa
Product Form
Liquid
Formulation
Supplied in Phosphate Buffered Saline, pH 7.3, with 50% Glycerol and 0.01% Thiomersal.
Storage
Shipped at 4°C. Upon delivery aliquot and store at -20°C. Avoid freeze/thaw cycles.
Synonyms
45 kDa WW domain protein, hWW45, Protein salvador homolog 1, WW45
Disclaimer
This product is for research use only. It is not intended for diagnostic or therapeutic use.
Publishing research using Anti-SAV1 Antibody (A306668)? Please let us know so that we can list the citation on this page.

Alternative products to Anti-SAV1 Antibody (A306668)

Proteins predicted to interact with SAV1

Predicted protein interactions based upon String database. Revelancy score correlates with probability of interaction.
99.9% Relevancy Score
99.9% Relevancy Score
99.9% Relevancy Score
99.8% Relevancy Score
99% Relevancy Score
96.7% Relevancy Score
96.4% Relevancy Score
95.8% Relevancy Score
93.9% Relevancy Score