ISO 9001:2015 Certified
Live Customer Support
4.5/5 on Trustpilot
100% Quality Guarantee

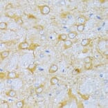
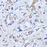
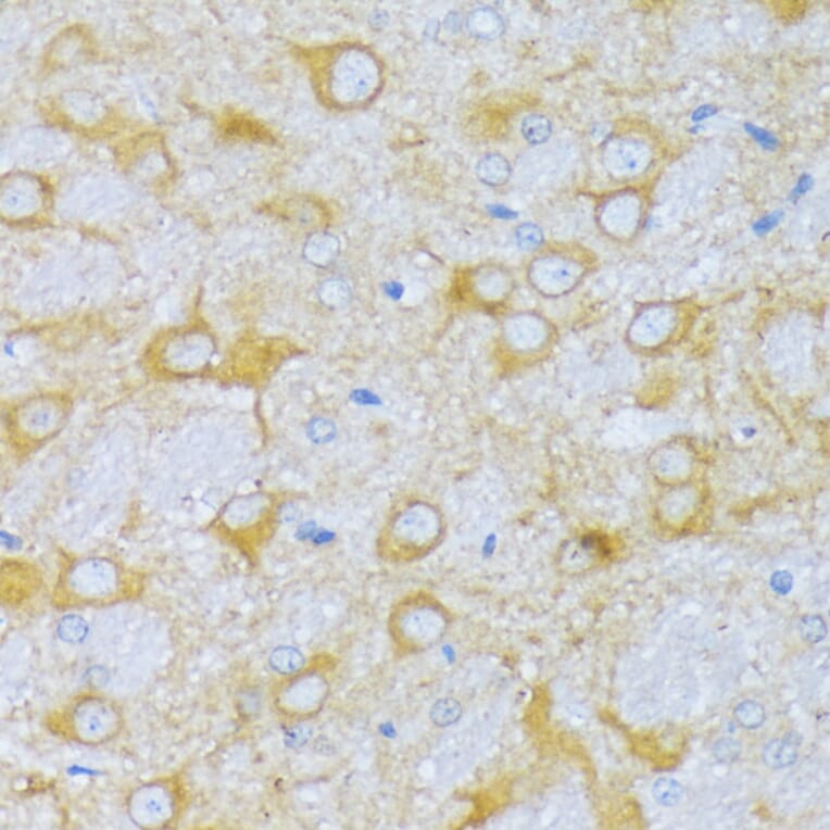
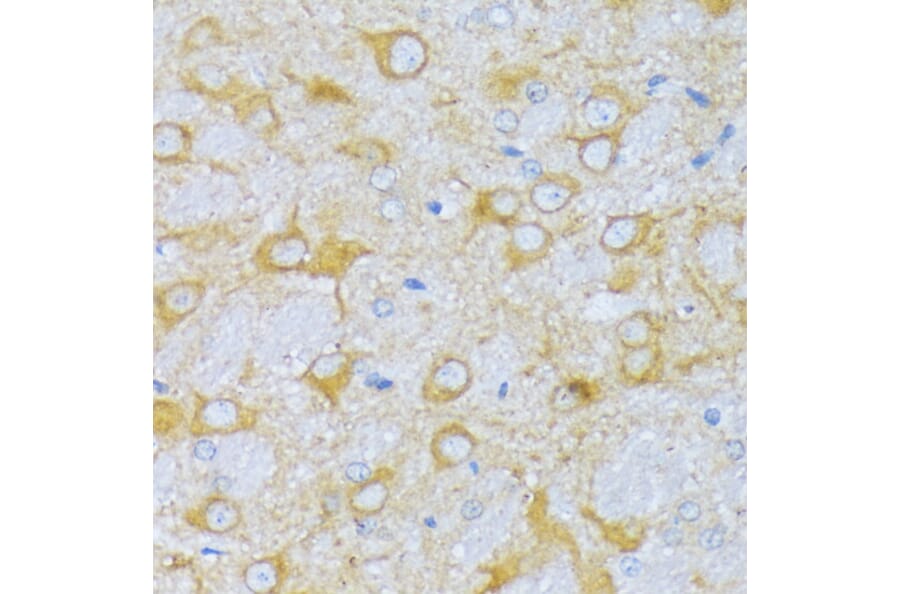
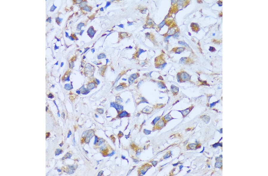
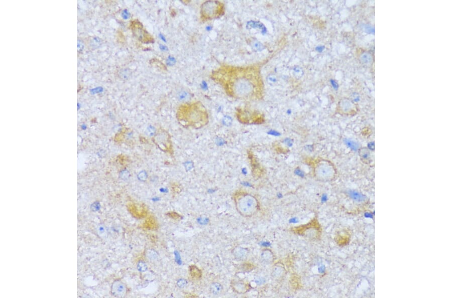
Anti-SBCAD Antibody (A92113)

$375

Rabbit polyclonal antibody to SBCAD for IHC-P and ELISA.

Shipping Information

$40
Dispatched from St. Louis, MO.
Lead Time: 7-10 business days.
Name
Anti-SBCAD Antibody
Description
Rabbit polyclonal antibody to SBCAD.
Applications
IHC-P, ELISA
Dilutions
IHC-P: 1:50-1:200
Reactivity
Human, Mouse, Rat
Immunogen
A recombinant fusion protein corresponding to amino acids 133-432 of human SBCAD.
Sequence
ASVAVFCEIQNTLINTLIRKHGTEEQKATYLPQLTTEKVGSFCLSEAGAGSDSFALKTRADKEGDYYVLNGSKMWISSAEHAGLFLVMANVDPTIGYKGITSFLVDRDTPGLHIGKPENKLGLRASSTCPLTFENVKVPEANILGQIGHGYKYAIGSLNEGRIGIAAQMLGLAQGCFDYTIPYIKERIQFGKRLFDFQGLQHQVAHVATQLEAARLLTYNAARLLEAGKPFIKEASMAKYYASEIAGQTTSKCIEWMGGVGYTKDYPVEKYFRDAKIGTIYEGASNIQLNTIAKHIDAEY
Host
Rabbit
Clonality
Polyclonal
Isotype
IgG
Conjugate

Unconjugated

Purification
Affinity purification.
Concentration
Lot Specific
Molecular Weight
47kDa
Predicted MW
47 kDa
Product Form
Liquid
Formulation
Supplied in Phosphate Buffered Saline, pH 7.3, with 50% Glycerol and 0.01% Thiomersal.
Storage
Shipped at 4°C. Upon delivery aliquot and store at -20°C. Avoid freeze/thaw cycles.
Synonyms
2-MEBCAD, 2-methyl branched chain acyl-CoA dehydrogenase, 2-methylbutyryl-CoA dehydrogenase, 2-methylbutyryl-coenzyme A dehydrogenase, Short/branched chain specific acyl-CoA dehydrogenase, mitochondrial
Disclaimer
This product is for research use only. It is not intended for diagnostic or therapeutic use.
Publishing research using Anti-SBCAD Antibody (A92113)? Please let us know so that we can list the citation on this page.

Alternative products to Anti-SBCAD Antibody (A92113)

Proteins predicted to interact with ACADSB

Predicted protein interactions based upon String database. Revelancy score correlates with probability of interaction.
99.3% Relevancy Score
99.1% Relevancy Score
98.7% Relevancy Score
98.6% Relevancy Score
98.2% Relevancy Score
97.5% Relevancy Score
96.8% Relevancy Score
96.2% Relevancy Score
95.5% Relevancy Score